Cell Signaling Technology Logo - Extra Large
Recombinant Flag
Recombinant: Superior lot-to-lot consistency, continuous supply, and animal-free manufacturing.

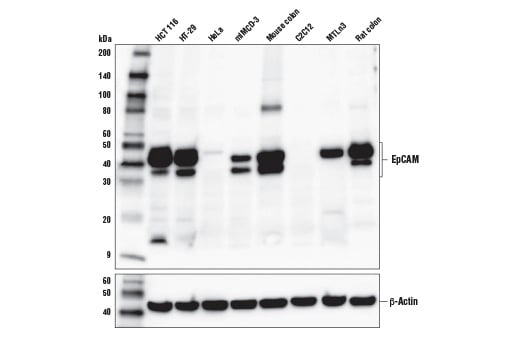
EpCAM (E6V8Y) Rabbit Monoclonal Antibody (BSA and Azide Free) #88469

Filter:
  • WB
  • IHC

    Product Specifications

    REACTIVITY H M R Hm
    SENSITIVITY Endogenous
    MW (kDa) 35-45
    Source/Isotype Rabbit IgG
    Application Key:
    • WB-Western Blotting 
    • IHC-Immunohistochemistry 
    Species Cross-Reactivity Key:
    • H-Human 
    • M-Mouse 
    • R-Rat 
    • Hm-Hamster 

    Product Information

    Product Usage Information

    This product is the carrier free version of product #93790. All data were generated using the same antibody clone in the standard formulation which contains BSA and glycerol.

    This formulation is ideal for use with technologies requiring specialized or custom antibody labeling, including fluorophores, metals, lanthanides, and oligonucleotides. It is not recommended for ChIP, ChIP-seq, CUT&RUN, or CUT&Tag assays. If you require a carrier free formulation for chromatin profiling, please contact us. Optimal dilutions/concentrations should be determined by the end user.

    BSA and Azide Free antibodies are quality control tested by size exclusion chromatography (SEC) to determine antibody integrity.

    Formulation

    Supplied in 1X PBS (10 mM Na2HPO4, 3 mM KCl, 2 mM KH2PO4, and 140 mM NaCl (pH 7.8)). BSA and Azide Free.

    For standard formulation of this product see product #www.cellsignal.com/products/primary-antibodies/epcam-e6v8y-xp-rabbit-mab-mouse-preferred/93790?site-search-type=Products&N=4294956287&Ntt=epcam&fromPage=plp">93790.

    Storage

    Store at -20°C. This product will freeze at -20°C so it is recommended to aliquot into single-use vials to avoid multiple freeze/thaw cycles. A slight precipitate may be present and can be dissolved by gently vortexing. This will not interfere with antibody performance.

    Specificity / Sensitivity

    EpCAM (E6V8Y) Rabbit Monoclonal Antibody (BSA and Azide Free) recognizes endogenous levels of total EpCAM protein. This antibody is preferred for immunohistochemical analysis of mouse tissues.

    Species Reactivity:

    Human, Mouse, Rat, Hamster

    Source / Purification

    Monoclonal antibody is produced by immunizing animals with a synthetic peptide corresponding to residues surrounding Arg311 of mouse EpCAM protein.

    Background

    Epithelial cell adhesion and activating molecule (EpCAM/CD326) is a transmembrane glycoprotein that mediates Ca2+-independent, homophilic adhesions on the basolateral surface of most epithelial cells. EpCAM is not expressed in adult squamous epithelium, but it is highly expressed in adeno and squamous cell carcinomas (1). Research studies identified EpCAM as one of the first tumor-associated antigens, and it has long been a marker of epithelial and tumor tissue. Investigators have shown that EpCAM is highly expressed in cancer cells (reviewed in 2,3).

    Alternate Names

    CD326; EGP; EGP-; EGP-2; Egp31; Egp314; Ep-C; Ep-CAM; EpC; EpCA; Epcam; EpCAM1; Epithelial cell adhesion molecule; epithelial glycoprotein 314; GA733-; GA733-2; gp4; gp40; Ly7; Ly74; lymphocyte antigen 74; mEGP314; panepithelial glycoprotein 314; protein 289A; Tacsd1; Tacst; Tacstd1; Trop-1 protein; TROP1; tumor-associated calcium signal transducer 1

    For Research Use Only. Not for Use in Diagnostic Procedures.
    Cell Signaling Technology is a trademark of Cell Signaling Technology, Inc.
    SignalStain is a registered trademark of Cell Signaling Technology, Inc.
    All other trademarks are the property of their respective owners. Visit our Trademark Information page.