Render Target: STATIC
Render Timestamp:
5/20/2026, 6:37:38 AM EDT
5/20/2026, 10:37:38 AM UTC
Commit: 7ed46ecc04b401f23a28df741b5078df405d23e4
XML generation date: 2025-11-12 16:09:49.396
Product last modified at: 2026-03-20T08:04:20.885Z
Cell Signaling Technology Logo - Extra Large
1% for the planet logo
PDP - Template Name: Monoclonal Antibody
PDP - Template ID: *******c5e4b77
Trial Size Available Flag
Recombinant Flag
Recombinant: Superior lot-to-lot consistency, continuous supply, and animal-free manufacturing.

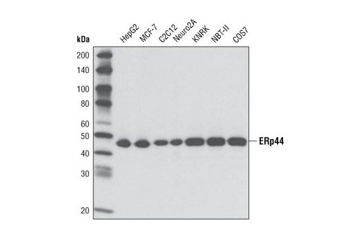
ERp44 (D17A6) Rabbit Monoclonal Antibody #3798

Filter:
  • WB
  • IHC

    Product Specifications

    REACTIVITY H M R Mk
    SENSITIVITY Endogenous
    MW (kDa) 44
    Source/Isotype Rabbit IgG
    Application Key:
    • WB-Western Blotting 
    • IHC-Immunohistochemistry 
    Species Cross-Reactivity Key:
    • H-Human 
    • M-Mouse 
    • R-Rat 
    • Mk-Monkey 

    Product Information

    Product Usage Information

    Application Dilution
    Western Blotting 1:1000
    Immunohistochemistry (Paraffin) 1:800

    Storage

    Supplied in 10 mM sodium HEPES (pH 7.5), 150 mM NaCl, 100 µg/ml BSA, 50% glycerol and less than 0.02% sodium azide. Store at –20°C. Do not aliquot the antibody.

    For a carrier free (BSA and azide free) version of this product see product #89694.

    Protocol

    Specificity / Sensitivity

    ERp44 (D17A6) Rabbit Monoclonal Antibody detects endogenous levels of total ERp44 protein.

    Species Reactivity:

    Human, Mouse, Rat, Monkey

    Source / Purification

    Monoclonal antibody is produced by immunizing animals with a synthetic peptide corresponding to the sequence of human ERp44.

    Background

    Secretory proteins translocate into the endoplasmic reticulum (ER) after their synthesis where they are post-translationally modified and properly folded. To reach their native conformation, many secretory proteins require the formation of intra- or inter-molecular disulfide bonds (1). This process is called oxidative protein folding. Disulfide isomerase (PDI) has two thioredoxin homology domains and catalyzes the formation and isomerization of these disulfide bonds (2). Other ER resident proteins that possess the thioredoxin homology domains, including endoplasmic reticulum resident protein 44 (ERp44), constitute the PDI family (2). ERp44 is induced upon ER stress and is linked to Ero1-Lα and Ero1-Lβ through mixed disulfide bonds (3). ERp44 was shown to mediate the ER localization of Ero1-Lα (4).

    Alternate Names

    endoplasmic reticulum protein 44; Endoplasmic reticulum resident protein 44; endoplasmic reticulum resident protein 44 kDa; epididymis secretory sperm binding protein; ER protein 44; ERP44; KIAA0573; PDIA10; protein disulfide isomerase family A, member 10; thioredoxin domain containing 4 (endoplasmic reticulum); thioredoxin domain-containing protein 4; TXNDC4

    For Research Use Only. Not for Use in Diagnostic Procedures.
    Cell Signaling Technology is a trademark of Cell Signaling Technology, Inc.
    All other trademarks are the property of their respective owners. Visit our Trademark Information page.