Cell Signaling Technology Logo - Extra Large
Trial Size Available Flag
Recombinant Flag
Recombinant: Superior lot-to-lot consistency, continuous supply, and animal-free manufacturing.

F3/Contactin (D7D4X) Rabbit Monoclonal Antibody #15413

Filter:
  • WB

    Product Specifications

    REACTIVITY H M R
    SENSITIVITY Endogenous
    MW (kDa) 140
    Source/Isotype Rabbit IgG
    Application Key:
    • WB-Western Blotting 
    Species Cross-Reactivity Key:
    • H-Human 
    • M-Mouse 
    • R-Rat 

    Product Information

    Product Usage Information

    Application Dilution
    Western Blotting 1:1000

    Storage

    Supplied in 10 mM sodium HEPES (pH 7.5), 150 mM NaCl, 100 µg/ml BSA, 50% glycerol and less than 0.02% sodium azide. Store at –20°C. Do not aliquot the antibody.

    Protocol

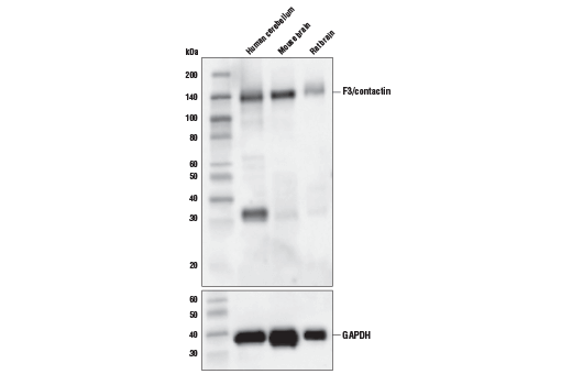
    Specificity / Sensitivity

    F3/Contactin (D7D4X) Rabbit Monoclonal Antibody recognizes endogenous levels of total F3/contactin protein. This antibody detects a 32 kDa protein of unknown identity in some tissue extracts.

    Species Reactivity:

    Human, Mouse, Rat

    Source / Purification

    Monoclonal antibody is produced by immunizing animals with a synthetic peptide corresponding to residues surrounding Met774 of human F3/contactin protein.

    Background

    F3/contactin (CNTN, contactin 1) is a glycosylphosphatidylinositol (GPI)-anchored neural cell adhesion protein belonging to the immunglobulin protein superfamily (1). During early mammalian development, F3/contactin is expressed in granule neuronal progenitor (GNP) cells, where it was shown to promote GNP differentiation, in part by antagonizing sonic hedgehog (SHH)-mediated proliferation (2). Biochemical studies have shown that F3/contactin interacts with the phosphatase PTPRZ on the surface of oligodendrocyte precursor cells, an association that was shown to be essential for oligodendrocyte maturation (3). F3/contactin expression is also abundant in post-mitotic neurons, where its functions as a neural cell adhesion protein have been suggested to play an important role in synaptic plasticity and memory (4). Although primarily associated with neuronal development and function, F3/contactin expression has also been implicated in extra-neuronal tumorigenesis. For example, expression of F3/contactin was detected in both primary prostate tumors, and lymph node and bone metastases, while patient tumor samples with detectable F3/contactin expression were associated with tumor progression and reduced recurrance-free survival (5).

    Alternate Names

    CNTN1; contactin 1; Contactin-1; F3; Glycoprotein gp135; GP135; MYPCN; Neural cell surface protein F3

    For Research Use Only. Not for Use in Diagnostic Procedures.
    Cell Signaling Technology is a trademark of Cell Signaling Technology, Inc.
    All other trademarks are the property of their respective owners. Visit our Trademark Information page.