FoxM1 Antibody #3948
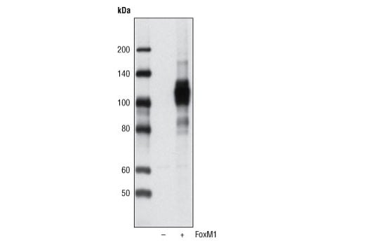
- WB
Inquiry Info. # 3948
Please see our recommended alternatives.
Product Specifications
| REACTIVITY | H M |
| SENSITIVITY | Endogenous |
| MW (kDa) | 110 |
| SOURCE | Rabbit |
Application Key:
- WB-Western Blotting
Species Cross-Reactivity Key:
- H-Human
- M-Mouse
Product Information
Product Description
| MW (kDa) | 110 |
| Activity | Differential splicing of exons Va (A1) and VIIa (A2) gives rise to 3 classes of transcripts, which encode 3 different protein isoforms: FoxM1A, containing both alternative exons; FoxM1B, containing none of the alternative exons and FoxM1C, containing only exon Va. This antibody (#3948) will recognize all 3 splice varients. Also see http://atlasgeneticsoncology.org/Genes/FOXM1ID40631ch12p13.htmlFoxM1 protein is stabilized after DNA damage and requires Chk2 kinase and can be stimulated by UV, IR, and etoposide exposure. No change in FoxM1 mRNA levels is observed after DNA damage treatments. Yongjun Tan et. al. 2007. Molecular and Cellular Biology, February, p. 1007-1016, Vol. 27, No. 3 (PMID: 17101782) |
Product Usage Information
| Application | Dilution |
|---|---|
| Western Blotting | 1:1000 |
Storage
Protocol
Specificity / Sensitivity
Species Reactivity:
Source / Purification
Background
- Wang, I.C. et al. (2005) Mol Cell Biol 25, 10875-94.
- Leung, T.W. et al. (2001) FEBS Lett 507, 59-66.
- Wang, X. et al. (2002) Proc Natl Acad Sci U S A 99, 16881-6.
- Ma, R.Y. et al. (2005) J Cell Sci 118, 795-806.
- Laoukili, J. et al. (2008) Mol Cell Biol 28, 3076-87.
- Fu, Z. et al. (2008) Nat Cell Biol 10, 1076-82.
- Tan, Y. et al. (2007) Mol Cell Biol 27, 1007-16.
- Anders, L. et al. (2011) Cancer Cell 20, 620-34.
- Ye, H. et al. (1997) Mol Cell Biol 17, 1626-41.
- Barsotti, A.M. and Prives, C. (2009) Oncogene 28, 4295-305.
- Pandit, B. et al. (2009) Cell Cycle 8, 3425-7.
- Pilarsky, C. et al. (2004) Neoplasia 6, 744-50.
- Gartel, A.L. (2008) Expert Opin Ther Targets 12, 663-5.
Alternate Names
FKHL16; forkhead box M1; forkhead box M1-D; Forkhead box protein M1; forkhead-like 16; Forkhead-related protein FKHL16; Forkhead, drosophila, homolog-like 16; FOXM1; FOXM1A; FOXM1B; FOXM1C; Hepatocyte nuclear factor 3 forkhead homolog 11; HFH-11; HFH11; HNF-3; HNF-3/fork-head homolog 11; INS-1; M-phase phosphoprotein 2; MPHOSPH2; MPM-2 reactive phosphoprotein 2; MPP-2; MPP2; PIG29; TGT3; Transcription factor Trident; TRIDENT; WIN; Winged-helix factor from INS-1 cells
Limited Uses
Except as otherwise expressly agreed in a writing signed by a legally authorized representative of CST, the following terms apply to Products provided by CST, its affiliates or its distributors. Any Customer's terms and conditions that are in addition to, or different from, those contained herein, unless separately accepted in writing by a legally authorized representative of CST, are rejected and are of no force or effect.
Products are labeled with For Research Use Only or a similar labeling statement and have not been approved, cleared, or licensed by the FDA or other regulatory foreign or domestic entity, for any purpose. Customer shall not use any Product for any diagnostic or therapeutic purpose, or otherwise in any manner that conflicts with its labeling statement. Products sold or licensed by CST are provided for Customer as the end-user and solely for research and development uses. Any use of Product for diagnostic, prophylactic or therapeutic purposes, or any purchase of Product for resale (alone or as a component) or other commercial purpose, requires a separate license from CST. Customer shall (a) not sell, license, loan, donate or otherwise transfer or make available any Product to any third party, whether alone or in combination with other materials, or use the Products to manufacture any commercial products, (b) not copy, modify, reverse engineer, decompile, disassemble or otherwise attempt to discover the underlying structure or technology of the Products, or use the Products for the purpose of developing any products or services that would compete with CST products or services, (c) not alter or remove from the Products any trademarks, trade names, logos, patent or copyright notices or markings, (d) use the Products solely in accordance with CST Product Terms of Sale and any applicable documentation, and (e) comply with any license, terms of service or similar agreement with respect to any third party products or services used by Customer in connection with the Products.