Render Target: STATIC
Render Timestamp:
5/26/2026, 6:28:51 AM EDT
5/26/2026, 10:28:51 AM UTC
Commit: 7ed46ecc04b401f23a28df741b5078df405d23e4
XML generation date: 2025-11-12 16:18:47.789
Product last modified at: 2026-03-20T08:01:03.821Z
Cell Signaling Technology Logo - Extra Large
1% for the planet logo
PDP - Template Name: Monoclonal Antibody
PDP - Template ID: *******c5e4b77
Trial Size Available Flag
Recombinant Flag
Recombinant: Superior lot-to-lot consistency, continuous supply, and animal-free manufacturing.

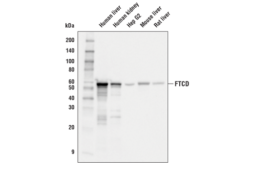
FTCD (D1R3F) Rabbit Monoclonal Antibody #93327

Filter:
  • WB
  • IP

    Product Specifications

    REACTIVITY H M R
    SENSITIVITY Endogenous
    MW (kDa) 58
    Source/Isotype Rabbit IgG
    Application Key:
    • WB-Western Blotting 
    • IP-Immunoprecipitation 
    Species Cross-Reactivity Key:
    • H-Human 
    • M-Mouse 
    • R-Rat 

    Product Information

    Product Usage Information

    Application Dilution
    Western Blotting 1:1000
    Immunoprecipitation 1:50

    Storage

    Supplied in 10 mM sodium HEPES (pH 7.5), 150 mM NaCl, 100 µg/ml BSA, 50% glycerol and less than 0.02% sodium azide. Store at –20°C. Do not aliquot the antibody.

    Protocol

    Specificity / Sensitivity

    FTCD (D1R3F) Rabbit Monoclonal Antibody recognizes endogenous levels of total FTCD protein.

    Species Reactivity:

    Human, Mouse, Rat

    Source / Purification

    Monoclonal antibody is produced by immunizing animals with a synthetic peptide corresponding to residues surrounding Leu440 of human FTCD protein.

    Background

    Formimidoyltransferase-cyclodeaminase (FTCD) catalyzes two key consecutive reactions in the histidine degradation pathway and links histidine catabolism to one-carbon metabolism. It converts tetrahydrofolate (THF) to 5, 10-methenyl-THF (1,2). Loss of FTCD decreases the sensitivity of cancer cells to chemotherapeutic drug methotrexate, an inhibitor of dihydrofolate reductase (DHFR). DHFR reduces dihydrofolate to tetrahydrofolate, an essential cofactor for nucleotide biosynthesis. Lack of FTCD leads to higher levels of tetrahydrofolate in methotrexate-treated cells, therefore reducing the effect of methotrexate. Conversely, greater depletion of tetrahydrofolate by FTCD through enhanced histidine degradation pathway may boost the efficacy of methotrexate (3,4).

    Alternate Names

    formimidoyltetrahydrofolate cyclodeaminase; formimidoyltransferase cyclodeaminase; Formimidoyltransferase-cyclodeaminase; formiminotetrahydrofolate cyclodeaminase; formiminotransferase cyclodeaminase; formiminotransferase-cyclodeaminase; FTCD; glutamate formimidoyltransferase; glutamate formiminotransferase; glutamate formyltransferase; LCHC1

    For Research Use Only. Not for Use in Diagnostic Procedures.
    Cell Signaling Technology is a trademark of Cell Signaling Technology, Inc.
    All other trademarks are the property of their respective owners. Visit our Trademark Information page.