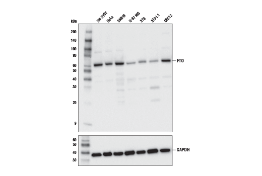
FTO (D2V1I) Rabbit Monoclonal Antibody #45980
- WB
Product Specifications
| REACTIVITY | H M R |
| SENSITIVITY | Endogenous |
| MW (kDa) | 60 |
| Source/Isotype | Rabbit IgG |
Application Key:
- WB-Western Blotting
Species Cross-Reactivity Key:
- H-Human
- M-Mouse
- R-Rat
Product Information
Product Usage Information
| Application | Dilution |
|---|---|
| Western Blotting | 1:1000 |
Storage
Protocol
Specificity / Sensitivity
Species Reactivity:
Source / Purification
Background
FTO is a DNA and RNA demethylase that catalyzes the oxidative demethylation of thymidine and uracil. Among its targets is an mRNA subset involved in regulation of learning, reward behavior, motor functions, and feeding (5). Loss of the FTO gene in mice leads to postnatal growth retardation and a significant reduction in adipose tissue. Mice deficient in the FTO gene have lean body mass due to increased energy expenditure and systemic activation of sympathetic neurons, while overexpression of FTO in mice leads to increased food intake and results in obesity. These results demonstrate that FTO is functionally involved in energy homeostasis (6-8).
- Frayling, T.M. et al. (2007) Science 316, 889-94.
- Scuteri, A. et al. (2007) PLoS Genet 3, e115.
- Dina, C. et al. (2007) Nat Genet 39, 724-6.
- Gulati, P. and Yeo, G.S. (2013) Diabetologia 56, 2113-21.
- Hess, M.E. et al. (2013) Nat Neurosci 16, 1042-8.
- Fischer, J. et al. (2009) Nature 458, 894-8.
- Tews, D. et al. (2013) Endocrinology 154, 3141-51.
- Church, C. et al. (2010) Nat Genet 42, 1086-92.
Alternate Names
AlkB homolog 9; ALKBH9; Alpha-ketoglutarate-dependent dioxygenase FTO; BMIQ14; fat mass and obesity associated; Fat mass and obesity-associated protein; FTO; FTO alpha-ketoglutarate dependent dioxygenase; GDFD; KIAA1752; m6A(m)-demethylase FTO; MGC5149; mRNA (2'-O-methyladenosine-N(6)-)-demethylase FTO; mRNA N(6)-methyladenosine demethylase FTO; Protein fto; tRNA N1-methyl adenine demethylase FTO; U6 small nuclear RNA (2'-O-methyladenosine-N(6)-)-demethylase FTO; U6 small nuclear RNA N(6)-methyladenosine-demethylase FTO
Limited Uses
Except as otherwise expressly agreed in a writing signed by a legally authorized representative of CST, the following terms apply to Products provided by CST, its affiliates or its distributors. Any Customer's terms and conditions that are in addition to, or different from, those contained herein, unless separately accepted in writing by a legally authorized representative of CST, are rejected and are of no force or effect.
Products are labeled with For Research Use Only or a similar labeling statement and have not been approved, cleared, or licensed by the FDA or other regulatory foreign or domestic entity, for any purpose. Customer shall not use any Product for any diagnostic or therapeutic purpose, or otherwise in any manner that conflicts with its labeling statement. Products sold or licensed by CST are provided for Customer as the end-user and solely for research and development uses. Any use of Product for diagnostic, prophylactic or therapeutic purposes, or any purchase of Product for resale (alone or as a component) or other commercial purpose, requires a separate license from CST. Customer shall (a) not sell, license, loan, donate or otherwise transfer or make available any Product to any third party, whether alone or in combination with other materials, or use the Products to manufacture any commercial products, (b) not copy, modify, reverse engineer, decompile, disassemble or otherwise attempt to discover the underlying structure or technology of the Products, or use the Products for the purpose of developing any products or services that would compete with CST products or services, (c) not alter or remove from the Products any trademarks, trade names, logos, patent or copyright notices or markings, (d) use the Products solely in accordance with CST Product Terms of Sale and any applicable documentation, and (e) comply with any license, terms of service or similar agreement with respect to any third party products or services used by Customer in connection with the Products.