Cell Signaling Technology Logo - Extra Large
Trial Size Available Flag

G9a/EHMT2 (C6H3) Rabbit Monoclonal Antibody #3306

Filter:
  • WB
  • IF
  • ChIP

    Product Specifications

    REACTIVITY H M R Mk
    SENSITIVITY Endogenous
    MW (kDa) 160,180
    Source/Isotype Rabbit IgG
    Application Key:
    • WB-Western Blotting 
    • IF-Immunofluorescence 
    • ChIP-Chromatin Immunoprecipitation 
    Species Cross-Reactivity Key:
    • H-Human 
    • M-Mouse 
    • R-Rat 
    • Mk-Monkey 

    Product Information

    Product Usage Information

    For optimal ChIP results, use 10 μl of antibody and 10 μg of chromatin (approximately 4 x 106 cells) per IP. This antibody has been validated using SimpleChIP® Enzymatic Chromatin IP Kits.
    Application Dilution
    Western Blotting 1:1000
    Immunofluorescence (Immunocytochemistry) 1:50
    Chromatin IP 1:100

    Storage

    Supplied in 10 mM sodium HEPES (pH 7.5), 150 mM NaCl, 100 µg/ml BSA, 50% glycerol and less than 0.02% sodium azide. Store at –20°C. Do not aliquot the antibody.

    Protocol

    Specificity / Sensitivity

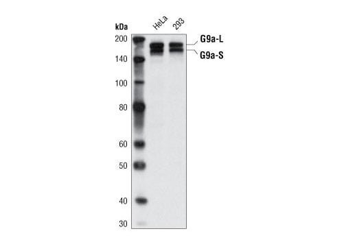
    G9a/EHMT2 (C6H3) Rabbit Monoclonal Antibody detects endogenous levels of total G9a/EHMT2 protein (both the 165 kDa G9a-L and 140 kDa G9a-S isoforms). This antibody does not cross-react with other histone methyltransferases, including GLP.

    Species Reactivity:

    Human, Mouse, Rat, Monkey

    The antigen sequence used to produce this antibody shares 100% sequence homology with the species listed here, but reactivity has not been tested or confirmed to work by CST. Use of this product with these species is not covered under our Product Performance Guarantee.

    Species predicted to react based on 100% sequence homology:

    Bovine, Pig, Horse

    Source / Purification

    Monoclonal antibody is produced by immunizing animals with a synthetic peptide corresponding to the carboxy terminus of the human G9a/EHMT2 protein.

    Background

    G9a, also known as Euchromatic histone-lysine N-methyltransferase 2 (EHMT2), is a member of a family of histone lysine methyltransferases, each of which contains a conserved catalytic SET domain originally identified in Drosophila Su[var]3-9, Enhancer of zeste, and Trithorax proteins (1). Recombinant G9a can mono-, di- and tri-methylate histone H3 on Lys9 and Lys27 in vitro (1,2). However, in vivo G9a forms a complex with GLP, a G9a-related histone methyltransferase, and together these proteins function as the major euchromatic histone H3 Lys9 mono- and di-methyltransferases, creating transcriptionally repressive marks that facilitate gene silencing (3,4). G9a methylates itself on Lys165, a modification that regulates the association of HP1 repressor proteins with the G9a/GLP complex (5). The G9a/GLP complex also contains Wiz, a zinc finger protein that is required for G9a/GLP hetero-dimerization and complex stability (6). Wiz contains two CtBP co-repressor binding sites, which mediate the association of the G9a/GLP with the CtBP co-repressor complex (6). In addition, G9a and GLP are components of other large transcriptional co-repressor complexes, such as those involving E2F6 and CDP/cut (7-9). G9a interacts with DNMT1, and both proteins are required for methylation of DNA and histone H3 (Lys9) at replication foci, providing a functional link between histone H3 Lys9 and CpG methylation during DNA replication (10). G9a activity is critical for meiotic prophase progression, as mutant mice deficient in germ line G9a show a large loss of mature gametes (11). In addition, G9a facilitates increased global levels of di-methyl histone H3 (Lys9) during hypoxic stress and increased G9a expression is associated with hepatocelluar carcinoma (12,13).

    Alternate Names

    ankyrin repeat-containing protein; BAT8; C6orf30; EHMT2; euchromatic histone lysine methyltransferase 2; Euchromatic histone-lysine N-methyltransferase 2; G9A; G9A histone methyltransferase; GAT8; H3-K9-HMTase 3; Histone H3-K9 methyltransferase 3; Histone-lysine N-methyltransferase EHMT2; histone-lysine N-methyltransferase, H3 lysine-9 specific 3; HLA-B associated transcript 8; HLA-B-associated transcript 8; KMT1C; Lysine N-methyltransferase 1C; NG36; Protein G9a

    For Research Use Only. Not for Use in Diagnostic Procedures.
    Cell Signaling Technology is a trademark of Cell Signaling Technology, Inc.
    U.S. Patent No. 7,429,487, foreign equivalents, and child patents deriving therefrom.
    All other trademarks are the property of their respective owners. Visit our Trademark Information page.