Cell Signaling Technology Logo - Extra Large
Recombinant Flag
Recombinant: Superior lot-to-lot consistency, continuous supply, and animal-free manufacturing.

GAS6 (D3A3G) Rabbit Monoclonal Antibody (BSA and Azide Free) #82314

Filter:
  • WB
  • IHC
  • IF

    Product Specifications

    REACTIVITY H
    SENSITIVITY Endogenous
    MW (kDa) 78
    Source/Isotype Rabbit IgG
    Application Key:
    • WB-Western Blotting 
    • IHC-Immunohistochemistry 
    • IF-Immunofluorescence 
    Species Cross-Reactivity Key:
    • H-Human 

    Product Information

    Product Usage Information

    This product is the carrier free version of product #67202. All data were generated using the same antibody clone in the standard formulation which contains BSA and glycerol.

    This formulation is ideal for use with technologies requiring specialized or custom antibody labeling, including fluorophores, metals, lanthanides, and oligonucleotides. It is not recommended for ChIP, ChIP-seq, CUT&RUN or CUT&Tag assays. If you require a carrier free formulation for chromatin profiling, please contact us. Optimal dilutions/concentrations should be determined by the end user.

    BSA and Azide Free antibodies are quality control tested by size exclusion chromatography (SEC) to determine antibody integrity.

    Formulation

    Supplied in 1X PBS (10 mM Na2HPO4, 3 mM KCl, 2 mM KH2PO4, and 140 mM NaCl (pH 7.8)). BSA and Azide Free.

    For standard formulation of this product see product #67202

    Storage

    Store at -20°C. This product will freeze at -20°C so it is recommended to aliquot into single-use vials to avoid multiple freeze/thaw cycles. A slight precipitate may be present and can be dissolved by gently vortexing. This will not interfere with antibody performance.

    Specificity / Sensitivity

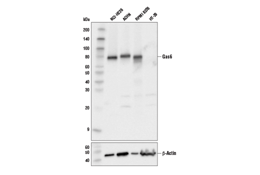
    GAS6 (D3A3G) Rabbit Monoclonal Antibody (BSA and Azide Free) recognizes endogenous levels of total GAS6 protein.

    Species Reactivity:

    Human

    Source / Purification

    Monoclonal antibody is produced by immunizing animals with recombinant protein specific to the amino terminus of human GAS6 protein.

    Background

    GAS6 (Growth Arrest Specific gene 6) is a vitamin K-dependent ligand of the TAM (Tyro3, Axl and MerTK) RTK family. It has an N-terminal Gla domain containing multiple Asp gamma-carboxylation sites, followed by four EGF repeats and two C-terminal LG domains. Vitamin K mediates multiple gamma-carboxylations of glutamic acid residues in the GAS6 Gla domain. These modifications are required for GAS6 to to activate its receptor (1,2). The two C-terminal LG (SHBG) domains form a V-shaped structure and provide a direct binding site for receptor interaction. Among the TAM family members, GAS6 has high affinity for Axl and low affinity for Tyro3 and MerTK. Ligand/receptor interaction activates multiple downstream signaling pathways such as PI3K/AKT, STAT/SOCS, PLC/FAK, and Grb2/RAS, and promotes cell survival, proliferation, migration and differentiation (3,4). GAS6 has been implicated in cancer development and immune-related disorders (inflammation and multiple sclerosis), and as such has been identified as a potential therapeutic target (3-6).

    Alternate Names

    AXL receptor tyrosine kinase ligand; AXL stimulatory factor; AXLLG; AXSF; DKFZp666G247; FLJ34709; GAS-6; GAS6; growth arrest specific 6; growth arrest-specific 6; Growth arrest-specific protein 6

    For Research Use Only. Not for Use in Diagnostic Procedures.
    Cell Signaling Technology is a trademark of Cell Signaling Technology, Inc.
    SignalStain is a registered trademark of Cell Signaling Technology, Inc.
    All other trademarks are the property of their respective owners. Visit our Trademark Information page.