GBP2 (F2Y3F) Rabbit Monoclonal Antibody #53311
- WB
Product Specifications
| REACTIVITY | H |
| SENSITIVITY | Endogenous |
| MW (kDa) | 70 |
| Source/Isotype | Rabbit IgG |
Application Key:
- WB-Western Blotting
Species Cross-Reactivity Key:
- H-Human
Product Information
Product Usage Information
| Application | Dilution |
|---|---|
| Western Blotting | 1:1000 |
Storage
Protocol
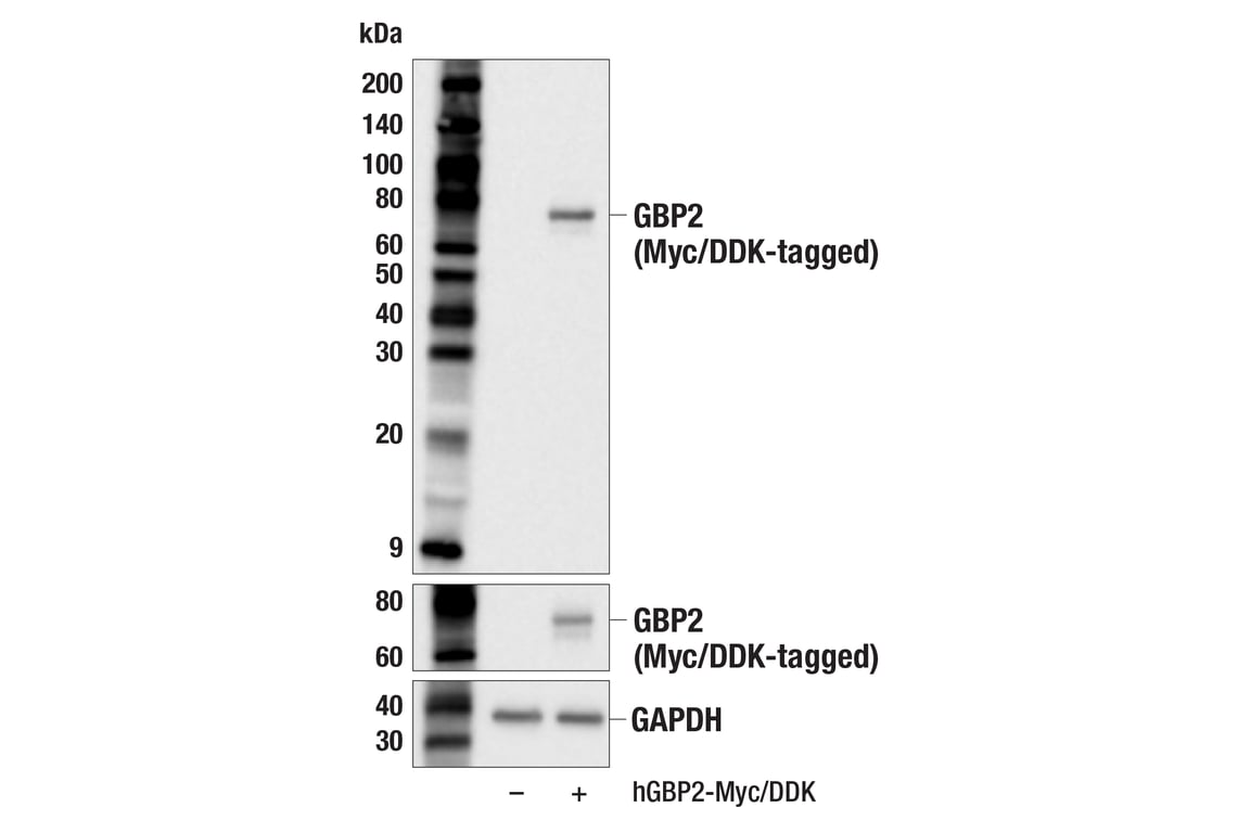
Specificity / Sensitivity
Species Reactivity:
Source / Purification
Background
GBPs are IFN-inducible proteins widely distributed among eukaryotes and are involved in innate immune response and inflammasome activation (3,4). During infection, GBP2 can be localized to pathogen-containing vacuoles and act as a positive regulator of inflammasome assembly. GBP2 promotes lysis of pathogen-containing vacuoles and recruits proteins that mediate bacterial lysis. This process makes ligands available that are detected by inflammasomes, such as lipopolysaccharide (LPS), which activates the non-canonical caspases (through caspase-4 and caspase-11), or double-stranded DNA (dsDNA), which activates inflammasome assembly through AIM2 (5).
In addition to GBP2’s role in immune response, recent work has explored the role of GBP2 in tumor growth and progression (6-8). Increased GBP2 expression is associated with a better prognosis in breast and colon cancers and may result in increased T cell defense against some tumor types (6,7). GBP2 overexpression in mouse fibroblasts inhibited Rac pathway activation and matrix metalloproteinase-9 (MMP-9) expression, highlighting a role for GBP2 in cancer metastasis (6). Conversely, in glioma cells, increased GBP2 enhances proliferation and migration, likely through epidermal growth factor receptor (EGFR) signaling and direct interaction with kinesin superfamily member 22 (KIF22) (7). Given its dual role in immune response and cancer, GBP2 represents a potential therapeutic target.
- Kim, B.H. et al. (2011) Science 332, 717-21.
- Schelle, L. et al. (2023) Med Microbiol Immunol 212, 141-152.
- Braun, E. et al. (2019) Cell Rep 27, 2092-2104.e10.
- Kim, B.H. et al. (2016) Nat Immunol 17, 481-9.
- Dickinson, M.S. et al. (2023) Proc Natl Acad Sci USA 120, e2216028120.
- Zhang, J. et al. (2017) Cell Death Dis 8, e3151.
- Wang, H. et al. (2022) J Immunother Cancer 10, e004302. doi: 10.1136/jitc-2021-004302.
- Ren, Y. et al. (2022) Cell Death Discov 8, 208.
Alternate Names
GBP-2; GBP2; GTP-binding protein 2; Guanine nucleotide-binding protein 2; guanylate binding protein 2; guanylate binding protein 2, interferon-inducible; Guanylate-binding protein 2; HuGBP-2; Interferon-induced guanylate-binding protein 2
Limited Uses
Except as otherwise expressly agreed in a writing signed by a legally authorized representative of CST, the following terms apply to Products provided by CST, its affiliates or its distributors. Any Customer's terms and conditions that are in addition to, or different from, those contained herein, unless separately accepted in writing by a legally authorized representative of CST, are rejected and are of no force or effect.
Products are labeled with For Research Use Only or a similar labeling statement and have not been approved, cleared, or licensed by the FDA or other regulatory foreign or domestic entity, for any purpose. Customer shall not use any Product for any diagnostic or therapeutic purpose, or otherwise in any manner that conflicts with its labeling statement. Products sold or licensed by CST are provided for Customer as the end-user and solely for research and development uses. Any use of Product for diagnostic, prophylactic or therapeutic purposes, or any purchase of Product for resale (alone or as a component) or other commercial purpose, requires a separate license from CST. Customer shall (a) not sell, license, loan, donate or otherwise transfer or make available any Product to any third party, whether alone or in combination with other materials, or use the Products to manufacture any commercial products, (b) not copy, modify, reverse engineer, decompile, disassemble or otherwise attempt to discover the underlying structure or technology of the Products, or use the Products for the purpose of developing any products or services that would compete with CST products or services, (c) not alter or remove from the Products any trademarks, trade names, logos, patent or copyright notices or markings, (d) use the Products solely in accordance with CST Product Terms of Sale and any applicable documentation, and (e) comply with any license, terms of service or similar agreement with respect to any third party products or services used by Customer in connection with the Products.