Cell Signaling Technology Logo - Extra Large
Recombinant Flag
Recombinant: Superior lot-to-lot consistency, continuous supply, and animal-free manufacturing.

GCN2 (E9H6C) Rabbit Monoclonal Antibody (BSA and Azide Free) #79554

Filter:
  • WB
  • ELISA+

    Product Specifications

    REACTIVITY H
    SENSITIVITY Endogenous
    MW (kDa) 220
    Source/Isotype Rabbit IgG
    Application Key:
    • WB-Western Blotting 
    • ELISA+-ELISA and/or ELISA-like Assays 
    Species Cross-Reactivity Key:
    • H-Human 

    Product Information

    Product Usage Information

    This product is the carrier free version of product #40457. All data were generated using the same antibody clone in the standard formulation which contains BSA and glycerol.

    This formulation is ideal for use with technologies requiring specialized or custom antibody labeling, including fluorophores, metals, lanthanides, and oligonucleotides. It is not recommended for ChIP, ChIP-seq, CUT&RUN or CUT&Tag assays. If you require a carrier free formulation for chromatin profiling, please contact us. Optimal dilutions/concentrations should be determined by the end user.

    BSA and Azide Free antibodies are quality control tested by size exclusion chromatography (SEC) to determine antibody integrity.

    Formulation

    Supplied in 1X PBS (10 mM Na2HPO4, 3 mM KCl, 2 mM KH2PO4, and 140 mM NaCl (pH 7.8)). BSA and Azide Free.

    For standard formulation of this product see product #40457

    Storage

    Store at -20°C. This product will freeze at -20°C so it is recommended to aliquot into single-use vials to avoid multiple freeze/thaw cycles. A slight precipitate may be present and can be dissolved by gently vortexing. This will not interfere with antibody performance.

    Specificity / Sensitivity

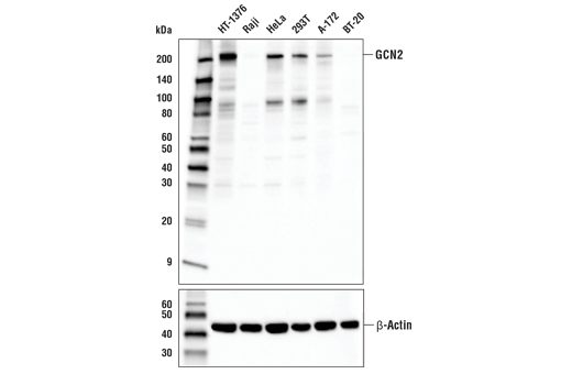
    GCN2 (E9H6C) Rabbit Monoclonal Antibody (BSA and Azide Free) recognizes endogenous levels of total GCN2 protein.

    Species Reactivity:

    Human

    Source / Purification

    Monoclonal antibody is produced by immunizing animals with a synthetic peptide corresponding to residues surrounding Pro217 of human GCN2 protein.

    Background

    Phosphorylation of the eukaryotic initiation factor 2 (eIF2) alpha subunit is a well-documented mechanism of downregulating protein synthesis under a variety of stress conditions. Kinases activated by viral infection (PKR), endoplasmic reticulum stress (PERK/PEK), amino acid deprivation (GCN2), and hemin deficiency (HRI) can phosphorylate the eIF2 alpha subunit (1,2). GCN2 is also required for UV light-induced translation inhibition, and in vivo phosphorylation of murine GCN2 at Thr898 is induced by both UV irradiation and by leucine deprivation (3). UV-induced activation of NF-κB also requires GCN2, which may act simply by preventing translation of IκB-alpha to replace pools that have been ubiquitinated and degraded (4). Interestingly, proteasome inhibitors (MG132 and ALLN) activate the GCN2/eIF2alpha pathway, suggesting a pivotal role for this kinase in stress response and ubiquitin-mediated signaling (5). In vitro autophosphorylation of yeast GCN2 within its activation loop at Thr882 and Thr887 (Thr898 and Thr903 in mouse) has also been reported (6).

    Alternate Names

    E2AK4; eIF-2-alpha kinase GCN2; EIF2AK4; eukaryotic translation initiation factor 2 alpha kinase 4; Eukaryotic translation initiation factor 2-alpha kinase 4; GCN2; GCN2 eIF2alpha kinase; GCN2-like protein; general control nonderepressible 2; KIAA1338; PVOD2

    For Research Use Only. Not for Use in Diagnostic Procedures.
    Cell Signaling Technology is a trademark of Cell Signaling Technology, Inc.
    All other trademarks are the property of their respective owners. Visit our Trademark Information page.