Render Target: STATIC
Render Timestamp:
5/21/2026, 7:27:00 AM EDT
5/21/2026, 11:27:00 AM UTC
Commit: 7ed46ecc04b401f23a28df741b5078df405d23e4
XML generation date: 2025-11-12 16:11:52.066
Product last modified at: 2026-03-20T08:06:23.765Z
Cell Signaling Technology Logo - Extra Large
1% for the planet logo
PDP - Template Name: Monoclonal Antibody
PDP - Template ID: *******c5e4b77
Trial Size Available Flag
Recombinant Flag
Recombinant: Superior lot-to-lot consistency, continuous supply, and animal-free manufacturing.

GM130 (D6B1) Rabbit Monoclonal Antibody #12480

Filter:
  • WB
  • IP
  • IF

    Product Specifications

    REACTIVITY H Mk
    SENSITIVITY Endogenous
    MW (kDa) 140
    Source/Isotype Rabbit IgG
    Application Key:
    • WB-Western Blotting 
    • IP-Immunoprecipitation 
    • IF-Immunofluorescence 
    Species Cross-Reactivity Key:
    • H-Human 
    • Mk-Monkey 

    Product Information

    Product Usage Information

    Application Dilution
    Western Blotting 1:1000
    Simple Western™ 1:50 - 1:250
    Immunoprecipitation 1:100
    Immunofluorescence (Immunocytochemistry) 1:3200

    Storage

    Supplied in 10 mM sodium HEPES (pH 7.5), 150 mM NaCl, 100 µg/ml BSA, 50% glycerol and less than 0.02% sodium azide. Store at –20°C. Do not aliquot the antibody.

    For a carrier free (BSA and azide free) version of this product see product #24923.

    Protocol

    Specificity / Sensitivity

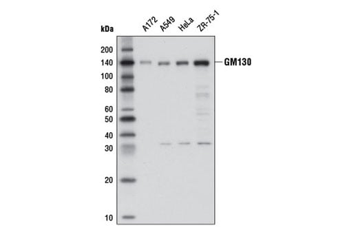
    GM130 (D6B1) Rabbit Monoclonal Antibody recognizes endogenous levels of total GM130 protein. This antibody may cross-react with a protein of unknown origin at 30 kDa.

    Species Reactivity:

    Human, Monkey

    Source / Purification

    Monoclonal antibody is produced by immunizing animals with a synthetic peptide corresponding to residues surrounding Thr185 of human GM130 protein isoform 2.

    Background

    The Golgi apparatus functions in the modification, organization, and transport of proteins and membranes targeted to other parts of the cell, such as the plasma membrane, lysosomes, and endosomes. This regulated transport is important for appropriate protein localization, secretion, and signal transduction. Members of the Golgin family of proteins, including GM130, Giantin, p115, and GRASP65, are defined by their presence in the Golgi matrix and by their long coiled-coil domains. Golgin function, which is regulated in part by small GTPases of the Rab and Arl families, includes establishing and maintaining Golgi structure and transport (reviewed in 1). The Golgi cisternae are stacked and linked laterally to form a ribbon. GRASP65 and GM130 are required for membrane fusion events that mediate ribbon formation during Golgi assembly. These lateral fusion events allow for uniform distribution of Golgi enzymes (2). GM130 and Giantin interact with the transport factor p115 to facilitate endoplasmic reticulum (ER)-Golgi transport (3). GM130 is also involved in the transport of the ether-a-go-go-related (hERG) potassium ion channel. Inappropriate hERG localization may be an underlying cause of long QT syndrome, a hereditary and potentially fatal cardiac arrhythmia (4). Further, GM130 was implicated in signal transduction regulating invasion, migration, and cell polarization via its interaction with and activation of serine/threonine kinases YSK1 and Mst4 (5).

    Alternate Names

    130 kDa cis-Golgi matrix protein; GM130; GM130 autoantigen; GOGA2; GOLGA2; golgi autoantigen, golgin subfamily a, 2; Golgi matrix protein GM130; golgin A2; Golgin subfamily A member 2; Golgin-95; MGC20672; SY11 protein

    For Research Use Only. Not for Use in Diagnostic Procedures.
    Cell Signaling Technology is a trademark of Cell Signaling Technology, Inc.
    All other trademarks are the property of their respective owners. Visit our Trademark Information page.