Cell Signaling Technology Logo - Extra Large
Recombinant Flag
Recombinant: Superior lot-to-lot consistency, continuous supply, and animal-free manufacturing.

Granzyme B (D2H2F) Rabbit Monoclonal Antibody (BSA and Azide Free) #43701

Filter:
  • WB
  • IF
  • F

    Product Specifications

    REACTIVITY H M
    SENSITIVITY Endogenous
    MW (kDa) 25-35
    Source/Isotype Rabbit IgG
    Application Key:
    • WB-Western Blotting 
    • IF-Immunofluorescence 
    • F-Flow Cytometry 
    Species Cross-Reactivity Key:
    • H-Human 
    • M-Mouse 

    Product Information

    Product Usage Information

    This product is the carrier free version of product #17215. All data were generated using the same antibody clone in the standard formulation which contains BSA and glycerol.

    This formulation is ideal for use with technologies requiring specialized or custom antibody labeling, including fluorophores, metals, lanthanides, and oligonucleotides. It is not recommended for ChIP, ChIP-seq, CUT&RUN or CUT&Tag assays. If you require a carrier free formulation for chromatin profiling, please contact us. Optimal dilutions/concentrations should be determined by the end user.

    BSA and Azide Free antibodies are quality control tested by size exclusion chromatography (SEC) to determine antibody integrity.

    Formulation

    Supplied in 1X PBS (10 mM Na2HPO4, 3 mM KCl, 2 mM KH2PO4, and 140 mM NaCl (pH 7.8)). BSA and Azide Free.

    For standard formulation of this product see product #17215

    Storage

    Store at -20°C. This product will freeze at -20°C so it is recommended to aliquot into single-use vials to avoid multiple freeze/thaw cycles. A slight precipitate may be present and can be dissolved by gently vortexing. This will not interfere with antibody performance.

    Specificity / Sensitivity

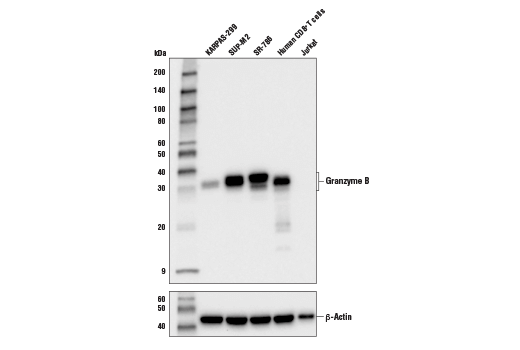
    Granzyme B (D2H2F) Rabbit Monoclonal Antibody (BSA and Azide Free) recognizes endogenous levels of total Granzyme B protein.

    Species Reactivity:

    Human, Mouse

    Source / Purification

    Monoclonal antibody is produced by immunizing animals with recombinant protein specific to human Granzyme B protein.

    Background

    Granzymes are a family of serine proteases expressed by cytotoxic T lymphocytes and natural killer (NK) cells and are key components of immune responses to pathogens and transformed cells (1). Granzymes are synthesized as zymogens and are processed into mature enzymes by cleavage of a leader sequence. They are released by exocytosis in lysosome-like granules containing perforin, a membrane pore-forming protein. Granzyme B has the strongest apoptotic activity of all the granzymes as a result of its caspase-like ability to cleave substrates at aspartic acid residues thereby activating procaspases directly and cleaving downstream caspase substrates (2,3).

    Alternate Names

    C11; Cathepsin G-like 1; CCPI; CGL-1; CGL1; CSP-B; CSPB; CTLA-1; CTLA1; CTSGL1; cytotoxic serine protease B; Cytotoxic T-lymphocyte proteinase 2; fragmentin 2; Fragmentin-2; GRAB; Granzyme B; granzyme B (granzyme 2, cytotoxic T-lymphocyte-associated serine esterase 1); Granzyme-2; GRB; GZMB; HLP; Human lymphocyte protein; Lymphocyte protease; SECT; T-cell serine protease 1-3E

    For Research Use Only. Not for Use in Diagnostic Procedures.
    Cell Signaling Technology is a trademark of Cell Signaling Technology, Inc.
    Alexa Fluor is a registered trademark of Life Technologies Corporation.
    KARPAS cell line source: Dr. Abraham Karpas at the University of Cambridge.
    All other trademarks are the property of their respective owners. Visit our Trademark Information page.