Render Target: STATIC
Render Timestamp:
5/20/2026, 7:24:49 AM EDT
5/20/2026, 11:24:49 AM UTC
Commit: 7ed46ecc04b401f23a28df741b5078df405d23e4
XML generation date: 2026-01-26 21:00:44.429
Product last modified at: 2026-03-20T08:06:04.580Z
Cell Signaling Technology Logo - Extra Large
1% for the planet logo
PDP - Template Name: Monoclonal Antibody
PDP - Template ID: *******c5e4b77
Trial Size Available Flag
Recombinant Flag
Recombinant: Superior lot-to-lot consistency, continuous supply, and animal-free manufacturing.

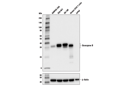
Granzyme B (D2H2F) Rabbit Monoclonal Antibody #17215

Filter:
  • WB
  • IP
  • IF
  • F

    Product Specifications

    REACTIVITY H M
    SENSITIVITY Endogenous
    MW (kDa) 25-35
    Source/Isotype Rabbit IgG
    Application Key:
    • WB-Western Blotting 
    • IP-Immunoprecipitation 
    • IF-Immunofluorescence 
    • F-Flow Cytometry 
    Species Cross-Reactivity Key:
    • H-Human 
    • M-Mouse 

    Product Information

    Product Usage Information

    Application Dilution
    Western Blotting 1:1000
    Immunoprecipitation 1:50
    Immunofluorescence (Frozen) 1:100 - 1:400
    Immunofluorescence (Immunocytochemistry) 1:400 - 1:1600
    Flow Cytometry (Fixed/Permeabilized) 1:800 - 1:1600

    Storage

    Supplied in 10 mM sodium HEPES (pH 7.5), 150 mM NaCl, 100 µg/ml BSA, 50% glycerol and less than 0.02% sodium azide. Store at –20°C. Do not aliquot the antibody.

    For a carrier free (BSA and azide free) version of this product see product #43701.

    Protocol

    Specificity / Sensitivity

    Granzyme B (D2H2F) Rabbit Monoclonal Antibody recognizes endogenous levels of total Granzyme B protein.

    Species Reactivity:

    Human, Mouse

    Source / Purification

    Monoclonal antibody is produced by immunizing animals with recombinant protein specific to human Granzyme B protein.

    Background

    Granzymes are a family of serine proteases expressed by cytotoxic T lymphocytes and natural killer (NK) cells and are key components of immune responses to pathogens and transformed cells (1). Granzymes are synthesized as zymogens and are processed into mature enzymes by cleavage of a leader sequence. They are released by exocytosis in lysosome-like granules containing perforin, a membrane pore-forming protein. Granzyme B has the strongest apoptotic activity of all the granzymes as a result of its caspase-like ability to cleave substrates at aspartic acid residues thereby activating procaspases directly and cleaving downstream caspase substrates (2,3).

    Alternate Names

    C11; Cathepsin G-like 1; CCPI; CGL-1; CGL1; CSP-B; CSPB; CTLA-1; CTLA1; CTSGL1; cytotoxic serine protease B; Cytotoxic T-lymphocyte proteinase 2; fragmentin 2; Fragmentin-2; GRAB; Granzyme B; granzyme B (granzyme 2, cytotoxic T-lymphocyte-associated serine esterase 1); Granzyme-2; GRB; GZMB; HLP; Human lymphocyte protein; Lymphocyte protease; SECT; T-cell serine protease 1-3E

    For Research Use Only. Not for Use in Diagnostic Procedures.
    Cell Signaling Technology is a trademark of Cell Signaling Technology, Inc.
    Alexa Fluor is a registered trademark of Life Technologies Corporation.
    KARPAS cell line source: Dr. Abraham Karpas at the University of Cambridge.
    All other trademarks are the property of their respective owners. Visit our Trademark Information page.