Cell Signaling Technology Logo - Extra Large
Trial Size Available Flag
Recombinant Flag
Recombinant: Superior lot-to-lot consistency, continuous supply, and animal-free manufacturing.

Granzyme B (D6E9W) Rabbit Monoclonal Antibody #46890

Filter:
  • WB
  • IHC

    Product Specifications

    REACTIVITY H M Mk
    SENSITIVITY Endogenous
    MW (kDa) 30
    Source/Isotype Rabbit IgG
    Application Key:
    • WB-Western Blotting 
    • IHC-Immunohistochemistry 
    Species Cross-Reactivity Key:
    • H-Human 
    • M-Mouse 
    • Mk-Monkey 

    Product Information

    Product Usage Information

    Application Dilution
    Western Blotting 1:1000
    IHC Leica Bond 1:50 - 1:200
    Immunohistochemistry (Paraffin) 1:50 - 1:200

    Storage

    Supplied in 10 mM sodium HEPES (pH 7.5), 150 mM NaCl, 100 µg/ml BSA, 50% glycerol and less than 0.02% sodium azide. Store at –20°C. Do not aliquot the antibody.

    For a carrier free (BSA and azide free) version of this product see product #79903.

    Protocol

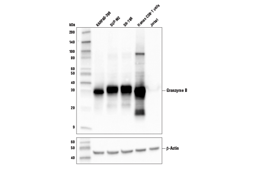
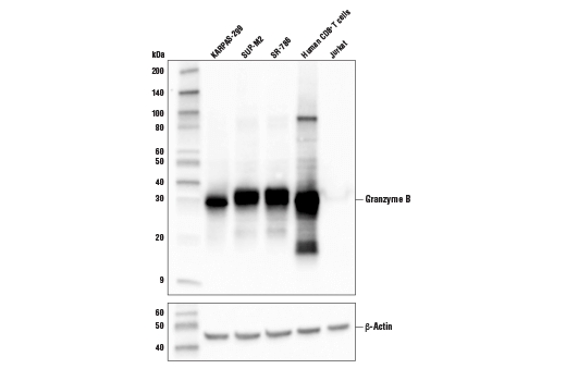
    Specificity / Sensitivity

    Granzyme B (D6E9W) Rabbit Monoclonal Antibody recognizes endogenous levels of total Granzyme B protein. Non-specific staining in the sweat glands has been observed.This antibody recognizes human Granzyme B protein and is also reactive with mouse Granzyme B; however, this antibody is not suggested for immunohistochemical analysis of mouse tissues. Instead, Granzyme B (E5V2L) Rabbit Monoclonal Antibody #44153 is recommended for IHC analysis of mouse tissue samples. Monkey cross-reactivity is determined by immunohistochemistry.

    Species Reactivity:

    Human, Mouse, Monkey

    Source / Purification

    Monoclonal antibody is produced by immunizing animals with recombinant protein specific to human Granzyme B protein.

    Background

    Granzymes are a family of serine proteases expressed by cytotoxic T lymphocytes and natural killer (NK) cells and are key components of immune responses to pathogens and transformed cells (1). Granzymes are synthesized as zymogens and are processed into mature enzymes by cleavage of a leader sequence. They are released by exocytosis in lysosome-like granules containing perforin, a membrane pore-forming protein. Granzyme B has the strongest apoptotic activity of all the granzymes as a result of its caspase-like ability to cleave substrates at aspartic acid residues thereby activating procaspases directly and cleaving downstream caspase substrates (2,3).

    Alternate Names

    C11; Cathepsin G-like 1; CCPI; CGL-1; CGL1; CSP-B; CSPB; CTLA-1; CTLA1; CTSGL1; cytotoxic serine protease B; Cytotoxic T-lymphocyte proteinase 2; fragmentin 2; Fragmentin-2; GRAB; Granzyme B; granzyme B (granzyme 2, cytotoxic T-lymphocyte-associated serine esterase 1); Granzyme-2; GRB; GZMB; HLP; Human lymphocyte protein; Lymphocyte protease; SECT; T-cell serine protease 1-3E

    For Research Use Only. Not for Use in Diagnostic Procedures.
    Cell Signaling Technology is a trademark of Cell Signaling Technology, Inc.
    SignalStain is a registered trademark of Cell Signaling Technology, Inc.
    KARPAS cell line source: Dr. Abraham Karpas at the University of Cambridge.
    All other trademarks are the property of their respective owners. Visit our Trademark Information page.