Cell Signaling Technology Logo - Extra Large

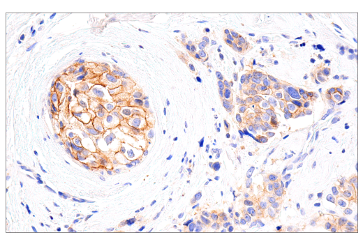
HER2/ErbB2 (CB11) Mouse Monoclonal Antibody #76799

Filter:
  • IHC

Inquiry Info. # 76799

Please see our recommended alternatives.

    Product Specifications

    REACTIVITY H
    SENSITIVITY Endogenous
    MW (kDa)
    Source/Isotype Mouse IgG1
    Application Key:
    • IHC-Immunohistochemistry 
    Species Cross-Reactivity Key:
    • H-Human 

    Product Information

    Product Usage Information

    Application Dilution
    IHC Leica Bond 1:200 - 1:800
    Immunohistochemistry (Paraffin) 1:50 - 1:200

    Storage

    Supplied as liquid tissue culture supernatant containing sodium azide as a preservative. Stable for 12 months when stored at 4°C. Do not aliquot the antibody.

    Note: This product is only available in the format listed above. We are unable to provide this in a carrier free, custom formulation.

    Protocol

    Specificity / Sensitivity

    HER2/ErbB2 (CB11) Mouse Monoclonal Antibody recognizes endogenous levels of HER2/ErbB2 protein.

    Species Reactivity:

    Human

    Source / Purification

    Monoclonal antibody is produced by immunizing animals with a synthetic peptide corresponding to a site on the internal domain of human HER2/ErbB2 protein.

    Background

    The ErbB2 (HER2) proto-oncogene encodes a 185 kDa transmembrane, receptor-like glycoprotein with intrinsic tyrosine kinase activity (1). While ErbB2 lacks an identified ligand, ErbB2 kinase activity can be activated in the absence of a ligand when overexpressed and through heteromeric associations with other ErbB family members (2). Amplification of the ErbB2 gene and overexpression of its product are detected in almost 40% of human breast cancers (3). Binding of the c-Cbl ubiquitin ligase to ErbB2 at Tyr1112 leads to ErbB2 poly-ubiquitination and enhances degradation of this kinase (4). ErbB2 is a key therapeutic target in the treatment of breast cancer and other carcinomas and targeting the regulation of ErbB2 degradation by the c-Cbl-regulated proteolytic pathway is one potential therapeutic strategy. Phosphorylation of the kinase domain residue Tyr877 of ErbB2 (homologous to Tyr416 of pp60c-Src) may be involved in regulating ErbB2 biological activity. The major autophosphorylation sites in ErbB2 are Tyr1248 and Tyr1221/1222; phosphorylation of these sites couples ErbB2 to the Ras-Raf-MAP kinase signal transduction pathway (1,5).

    Alternate Names

    c-erb B2/neu protein; CD340; erb-b2 receptor tyrosine kinase 2; erbB-2; ERBB2; HER-2; HER-2/neu; HER2; herstatin; human epidermal growth factor receptor 2; Metastatic lymph node gene 19 protein; MLN 19; MLN19; NEU; neuro/glioblastoma derived oncogene homolog; neuroblastoma/glioblastoma derived oncogene homolog; NGL; p185erbB2; Proto-oncogene c-ErbB-2; Proto-oncogene Neu; Receptor tyrosine-protein kinase erbB-2; TKR1; Tyrosine kinase-type cell surface receptor HER2; v-erb-b2 avian erythroblastic leukemia viral oncogene homolog 2; v-erb-b2 avian erythroblastic leukemia viral oncogene homolog 2 (neuro/glioblastoma derived oncogene homolog); v-erb-b2 avian erythroblastic leukemia viral oncoprotein 2; v-erb-b2 erythroblastic leukemia viral oncogene homolog 2, neuro/glioblastoma derived oncogene homolog; v-erb-b2 erythroblastic leukemia viral oncogene homolog 2, neuro/glioblastoma derived oncogene homolog (avian)

    For Research Use Only. Not for Use in Diagnostic Procedures.
    Cell Signaling Technology is a trademark of Cell Signaling Technology, Inc.
    SignalStain is a registered trademark of Cell Signaling Technology, Inc.
    All other trademarks are the property of their respective owners. Visit our Trademark Information page.