Histamine H1 Receptor (F5Q1L) Rabbit Monoclonal Antibody #55550
- WB
- IP
Product Specifications
| REACTIVITY | H |
| SENSITIVITY | Endogenous |
| MW (kDa) | 42 |
| Source/Isotype | Rabbit IgG |
Application Key:
- WB-Western Blotting
- IP-Immunoprecipitation
Species Cross-Reactivity Key:
- H-Human
Product Information
Product Usage Information
| Application | Dilution |
|---|---|
| Western Blotting | 1:1000 |
| Immunoprecipitation | 1:100 |
Storage
Protocol
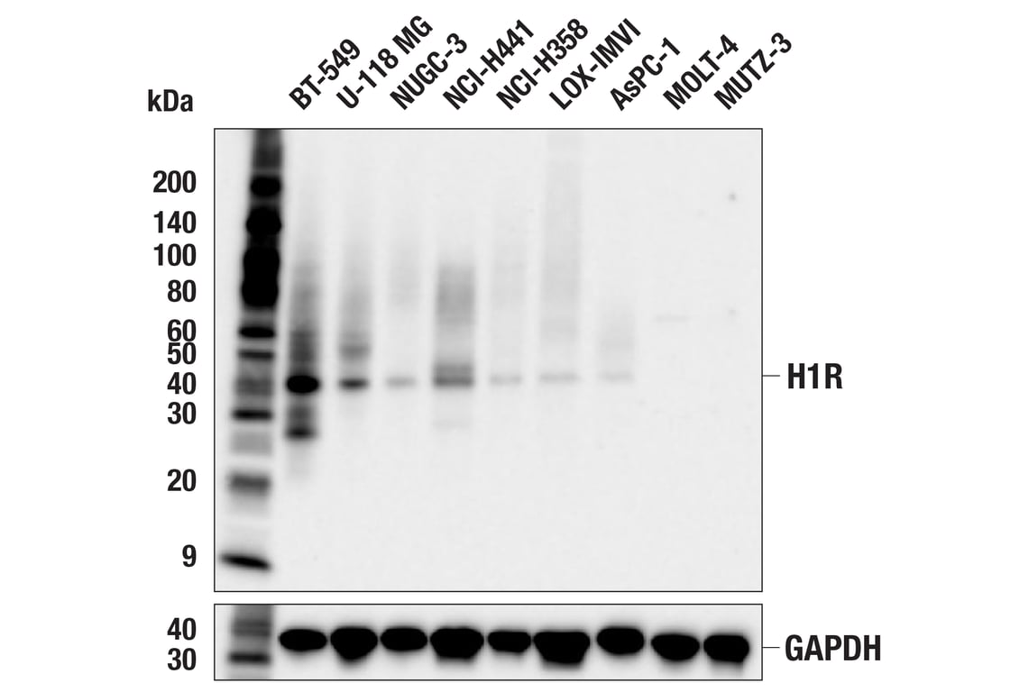
Specificity / Sensitivity
Species Reactivity:
Source / Purification
Background
Histamine mediates its effects through a family of G-protein coupled receptors, each characterized by a specific pattern of cellular expression and functions. Most allergic and inflammatory actions of histamine are mediated by the type 1 histamine receptor (H1R) (1-4). The H1R protein contains seven transmembrane domains and an extracellular amino-terminal glycosylated domain (2). Binding of histamine to H1R results in signaling cascades for notable pathways such as phospholipase C, calcium ion transport, protein kinase C (PKC) activation, and NF-κB signaling (3,4). H1R activation leads to increased chemotaxis of inflammatory eosinophils and neutrophils, increased activity of antigen-presenting cells (APCs), activation of T cells, decreased humoral immunity, and increased IgE production (1,3,4). H1R is expressed in a diverse group of cell types such as neurons, endothelial cells, muscle, hepatocytes, and chondrocytes, in addition to key immune cell types such as monocytes, neutrophils, eosinophils, dendritic cells (DCs), T cells, and B cells (3,4).
H1R knockout mice show reduced T cell response and decreased inflammatory response (4). By analyzing publicly available RNA-seq databases (5), the co-expression and interaction of CXCR4 and HRH1 are implicated in lower survival in breast cancer, and dysregulated H1R expression was observed as an early event in the onset of malignant transformation of some cancer cell types (5-8). Recently, it has been observed that H1R promotes cell proliferation in several cancer types, including brain, pancreatic, and breast cancers, underscoring that H1R is a potential target in cancer therapy (5-8).
- Branco, A.C.C.C. et al. (2018) Mediators Inflamm 2018, 9524075.
- Xia, R. et al. (2021) Nat Commun 12, 2086.
- Sarasola, M.P. et al. (2021) Pharmacol Res Perspect 9, e00778.
- Bryce, P.J. et al. (2006) J Clin Invest 116, 1624-32.
- Park, C. et al. (2023) Sci Rep 13, 1894.
- Fernández-Nogueira, P. et al. (2018) Cancer Lett 424, 70-83.
- Zhong, P. et al. (2024) J Exp Clin Cancer Res 43, 138.
- Zhao, J. et al. (2020) Oncogene 39, 1724-1738.
Alternate Names
H1-R; H1R; HH1R; hisH1; histamine H(1) receptor; Histamine H1 receptor; histamine receptor H1; histamine receptor, subclass H1; HRH1
Limited Uses
Except as otherwise expressly agreed in a writing signed by a legally authorized representative of CST, the following terms apply to Products provided by CST, its affiliates or its distributors. Any Customer's terms and conditions that are in addition to, or different from, those contained herein, unless separately accepted in writing by a legally authorized representative of CST, are rejected and are of no force or effect.
Products are labeled with For Research Use Only or a similar labeling statement and have not been approved, cleared, or licensed by the FDA or other regulatory foreign or domestic entity, for any purpose. Customer shall not use any Product for any diagnostic or therapeutic purpose, or otherwise in any manner that conflicts with its labeling statement. Products sold or licensed by CST are provided for Customer as the end-user and solely for research and development uses. Any use of Product for diagnostic, prophylactic or therapeutic purposes, or any purchase of Product for resale (alone or as a component) or other commercial purpose, requires a separate license from CST. Customer shall (a) not sell, license, loan, donate or otherwise transfer or make available any Product to any third party, whether alone or in combination with other materials, or use the Products to manufacture any commercial products, (b) not copy, modify, reverse engineer, decompile, disassemble or otherwise attempt to discover the underlying structure or technology of the Products, or use the Products for the purpose of developing any products or services that would compete with CST products or services, (c) not alter or remove from the Products any trademarks, trade names, logos, patent or copyright notices or markings, (d) use the Products solely in accordance with CST Product Terms of Sale and any applicable documentation, and (e) comply with any license, terms of service or similar agreement with respect to any third party products or services used by Customer in connection with the Products.