Cell Signaling Technology Logo - Extra Large

HPF1 Antibody #47590

Filter:
  • WB

    Product Specifications

    REACTIVITY H M R Mk
    SENSITIVITY Endogenous
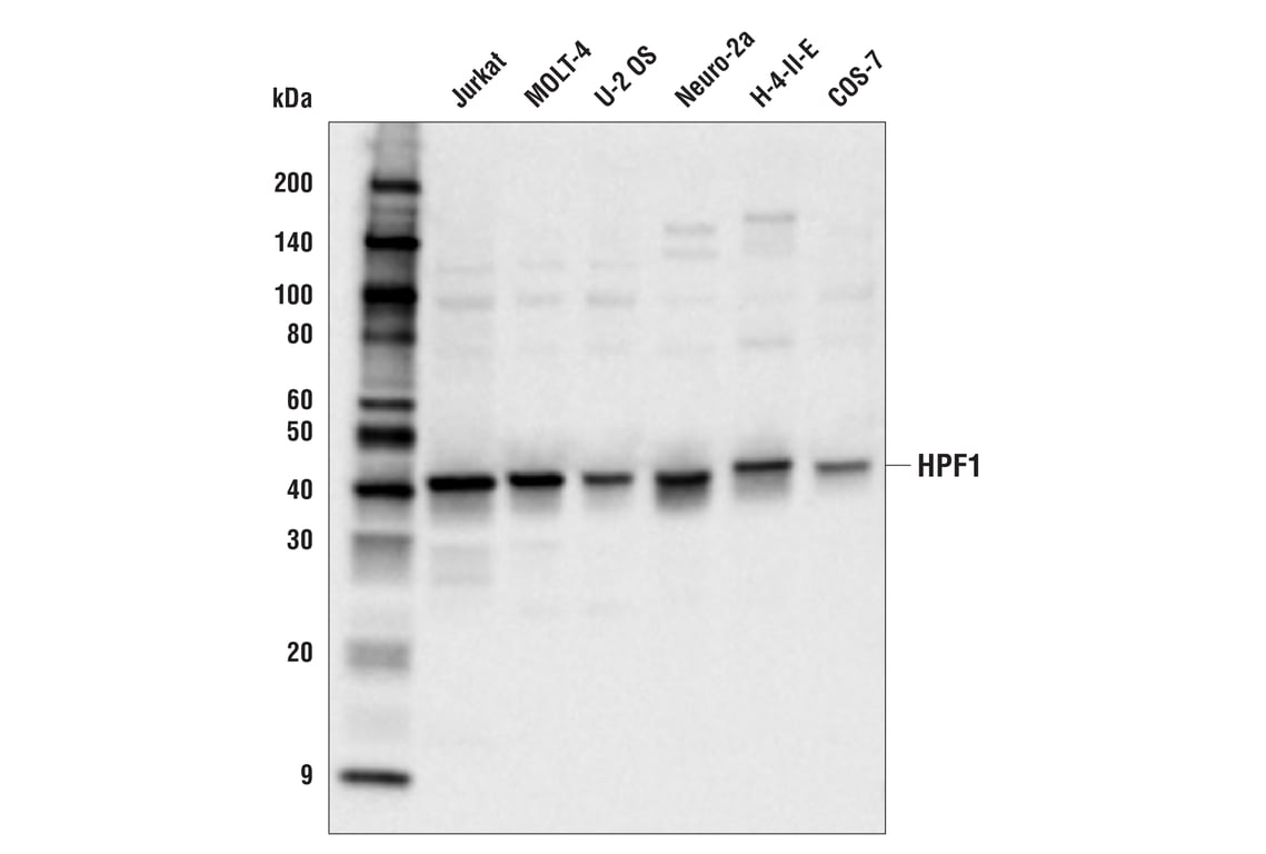
    MW (kDa) 40
    SOURCE Rabbit
    Application Key:
    • WB-Western Blotting 
    Species Cross-Reactivity Key:
    • H-Human 
    • M-Mouse 
    • R-Rat 
    • Mk-Monkey 

    Product Information

    Product Usage Information

    Application Dilution
    Western Blotting 1:1000

    Storage

    Supplied in 10 mM sodium HEPES (pH 7.5), 150 mM NaCl, 100 µg/ml BSA and 50% glycerol. Store at –20°C. Do not aliquot the antibody.

    Protocol

    Specificity / Sensitivity

    HPF1 Antibody recognizes endogenous levels of total HPF1 protein.

    Species Reactivity:

    Human, Mouse, Rat, Monkey

    Source / Purification

    Polyclonal antibodies are produced by immunizing animals with a synthetic peptide corresponding to residues surrounding Leu241 of human HPF1 protein. Antibodies are purified by peptide affinity chromatography.

    Background

    Poly (ADP-ribose) polymerases (PARPs) are a family of enzymes that catalyze ADP-ribosylation (ADPr), a reversible posttranslational modification of proteins that regulates various cellular processes. PARP-1 and PARP-2 are two well-characterized family members that catalyze ADPr on a wide range of substrates in response to DNA damage (1). Histone PARylation factor 1 (HPF1), also referred to as C4orf27, is an accessory protein to PARP1/2 that directly binds to these enzymes and alters their ADPr amino acid specificity from aspartate/glutamate to serine. (2). HPF1 is specifically required to carry out ADPr modifications on serine residues for both histone and non-histone substrates, as serine ADPr does not occur in cells lacking HPF1 (3). This is critically important, as serine has been shown to be the most abundant ADPr residue in cells affected by DNA damage (4). Mechanistically, PARP1/2 have been described as incomplete enzymes, and crystal structure analysis shows that HPF1-PARP1/2 binding confers a joint active site, which may explain the switch from aspartate/glutamate specificity to serine (2). Additionally, HPF1 knockout cells are more sensitive to PARP inhibitors, suggesting that drug manufacturers will need to take HPF1 binding into account when developing effective inhibitors for these enzymes (1).

    Alternate Names

    C4orf27; FLJ20534; FLJ33423; FLJ42042; Histone PARylation factor 1; HPF1; LOC54969; UPF0609 protein C4orf27

    For Research Use Only. Not for Use in Diagnostic Procedures.
    Cell Signaling Technology is a trademark of Cell Signaling Technology, Inc.
    All other trademarks are the property of their respective owners. Visit our Trademark Information page.