Render Target: STATIC
Render Timestamp:
5/26/2026, 7:09:09 AM EDT
5/26/2026, 11:09:09 AM UTC
Commit: 7ed46ecc04b401f23a28df741b5078df405d23e4
XML generation date: 2025-11-12 16:11:36.590
Product last modified at: 2026-03-20T08:01:07.706Z
Cell Signaling Technology Logo - Extra Large
1% for the planet logo
PDP - Template Name: Monoclonal Antibody
PDP - Template ID: *******c5e4b77
Trial Size Available Flag
Recombinant Flag
Recombinant: Superior lot-to-lot consistency, continuous supply, and animal-free manufacturing.

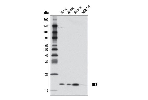
ID3 (D16D10) Rabbit Monoclonal Antibody #9837

Filter:
  • WB
  • IP
  • IF
  • F

    Product Specifications

    REACTIVITY H
    SENSITIVITY Endogenous
    MW (kDa) 13
    Source/Isotype Rabbit IgG
    Application Key:
    • WB-Western Blotting 
    • IP-Immunoprecipitation 
    • IF-Immunofluorescence 
    • F-Flow Cytometry 
    Species Cross-Reactivity Key:
    • H-Human 

    Product Information

    Product Usage Information

    Application Dilution
    Western Blotting 1:1000
    Immunoprecipitation 1:200
    Immunofluorescence (Immunocytochemistry) 1:400 - 1:1600
    Flow Cytometry (Fixed/Permeabilized) 1:400 - 1:1600

    Storage

    Supplied in 10 mM sodium HEPES (pH 7.5), 150 mM NaCl, 100 µg/ml BSA, 50% glycerol and less than 0.02% sodium azide. Store at –20°C. Do not aliquot the antibody.

    Protocol

    Specificity / Sensitivity

    ID3 (D16D10) Rabbit Monoclonal Antibody recognizes endogenous levels of total ID3 protein.

    Species Reactivity:

    Human

    The antigen sequence used to produce this antibody shares 100% sequence homology with the species listed here, but reactivity has not been tested or confirmed to work by CST. Use of this product with these species is not covered under our Product Performance Guarantee.

    Species predicted to react based on 100% sequence homology:

    Dog, Rabbit

    Source / Purification

    Monoclonal antibody is produced by immunizing animals with a synthetic peptide corresponding to residues near the carboxy terminus of human ID3 protein.

    Background

    Inhibitor of DNA-binding/Differentiation (ID) proteins are a family of proteins that function to repress the activity of basic helix-loop-helix (bHLH) transcription factors. There are four known ID proteins in humans (ID1-4), all of which contain a helix-loop-helix domain but lack a basic DNA binding domain. Heterodimerization with bHLH transcription factors therefore functions to sequester bHLH proteins and prevent their binding to DNA (1). ID proteins play important functional roles in development, primarily by inhibiting premature differentiation of stem/progenitor cells (1,2). ID3 plays an important role in immune system development where it has been shown to repress E2A-mediated differentiation of T cells (3). Studies in mouse models have shown that homozygous deletion of ID3 disrupts regulatory T cell differentiation (4) and leads to development of γδ T cell lymphoma (5). Outside of the hematopoietic compartment, ID3 was shown to repress MyoD, implicating ID3 in TGFβ-mediated muscle repair (6). Similarly, research studies have shown that ID3 suppresses p21 in colon cancer cells, a function that is purported to promote the self-renewal capacity of putative cancer-initiating cells (7).

    Alternate Names

    1R21; BHLHB25; Class B basic helix-loop-helix protein 25; DNA-binding protein inhibitor ID-3; HEIR-1; HEIR1; Helix-loop-helix protein HEIR-1; ID-like protein inhibitor HLH 1R21; ID3; Inhibitor of differentiation 3; Inhibitor of DNA binding 3; inhibitor of DNA binding 3, dominant negative helix-loop-helix protein; inhibitor of DNA binding 3, HLH protein

    For Research Use Only. Not for Use in Diagnostic Procedures.
    Cell Signaling Technology is a trademark of Cell Signaling Technology, Inc.
    All other trademarks are the property of their respective owners. Visit our Trademark Information page.