IL-13RA2/CD213a2 (E7U7B) Rabbit Monoclonal Antibody #85677
- WB
- IP
- IHC
- F
Product Specifications
| REACTIVITY | H |
| SENSITIVITY | Endogenous |
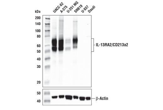
| MW (kDa) | 55, 65 |
| Source/Isotype | Rabbit IgG |
Application Key:
- WB-Western Blotting
- IP-Immunoprecipitation
- IHC-Immunohistochemistry
- F-Flow Cytometry
Species Cross-Reactivity Key:
- H-Human
Product Information
Product Usage Information
| Application | Dilution |
|---|---|
| Western Blotting | 1:1000 |
| Immunoprecipitation | 1:50 |
| IHC Leica Bond | 1:50 - 1:200 |
| Immunohistochemistry (Paraffin) | 1:100 - 1:400 |
| Flow Cytometry (Live) | 1:50 |
Storage
For a carrier free (BSA and azide free) version of this product see product #68588.
Protocol
Specificity / Sensitivity
Species Reactivity:
Source / Purification
Background
IL-13 receptor alpha-2 (IL-13RA2/CD213a2) is a type-I monomeric transmembrane glycoprotein and component of the IL-4/IL-13 receptor system. Research studies have shown that IL-13RA2 controls IL-13 signaling by serving as a high affinity decoy receptor for IL-13, but not IL-4, in a variety of cellular contexts (4,5). Some studies, however, have suggested that signaling through IL-13RA2 expressed on immunosuppressive myeloid cells facilitates tumor immune evasion through the production of TGF-β (6,7).
IL-13RA2 displays a highly restricted expression pattern in normal human tissues, which positions this receptor as a potentially novel therapeutic target for multiple types of solid tumors (8-10). Indeed, research studies have shown that IL-13RA2 is highly over expressed in glioblastomas (11), which has prompted investigation of different IL-13RA2-directed immunotherapies to treat this cancer (12-14).
- Caballero, O.L. and Chen, Y.T. (2009) Cancer Sci 100, 2014-21.
- De Smet, C. et al. (1999) Mol Cell Biol 19, 7327-35.
- Gjerstorff, M.F. et al. (2015) Oncotarget 6, 15772-87.
- Yoshikawa, M. et al. (2003) Biochem Biophys Res Commun 312, 1248-55.
- Bernard, J. et al. (2001) Lab Invest 81, 1223-31.
- Fichtner-Feigl, S. et al. (2006) Nat Med 12, 99-106.
- Fichtner-Feigl, S. et al. (2008) Cancer Res 68, 3467-75.
- Debinski, W. and Gibo, D.M. (2000) Mol Med 6, 440-9.
- Taguchi, A. et al. (2014) Cancer Res 74, 4694-705.
- Beard, R.E. et al. (2013) Clin Cancer Res 19, 4941-50.
- Jarboe, J.S. et al. (2007) Cancer Res 67, 7983-6.
- Brown, C.E. et al. (2015) Clin Cancer Res 21, 4062-72.
- Brown, C.E. et al. (2012) Clin Cancer Res 18, 2199-209.
- Mintz, A. et al. (2008) Cancer Biother Radiopharm 23, 581-9.
Alternate Names
cancer/testis antigen 19; CD213A2; CT19; I13R2; IL-13 receptor subunit alpha-2; IL-13R; IL-13R subunit alpha-2; IL-13R-alpha-2; IL-13RA2; IL13BP; IL13R; IL13RA2; interleukin 13 binding protein; interleukin 13 receptor alpha 2 chain; interleukin 13 receptor subunit alpha 2; interleukin 13 receptor, alpha 2; Interleukin-13 receptor subunit alpha-2; Interleukin-13-binding protein
Limited Uses
Except as otherwise expressly agreed in a writing signed by a legally authorized representative of CST, the following terms apply to Products provided by CST, its affiliates or its distributors. Any Customer's terms and conditions that are in addition to, or different from, those contained herein, unless separately accepted in writing by a legally authorized representative of CST, are rejected and are of no force or effect.
Products are labeled with For Research Use Only or a similar labeling statement and have not been approved, cleared, or licensed by the FDA or other regulatory foreign or domestic entity, for any purpose. Customer shall not use any Product for any diagnostic or therapeutic purpose, or otherwise in any manner that conflicts with its labeling statement. Products sold or licensed by CST are provided for Customer as the end-user and solely for research and development uses. Any use of Product for diagnostic, prophylactic or therapeutic purposes, or any purchase of Product for resale (alone or as a component) or other commercial purpose, requires a separate license from CST. Customer shall (a) not sell, license, loan, donate or otherwise transfer or make available any Product to any third party, whether alone or in combination with other materials, or use the Products to manufacture any commercial products, (b) not copy, modify, reverse engineer, decompile, disassemble or otherwise attempt to discover the underlying structure or technology of the Products, or use the Products for the purpose of developing any products or services that would compete with CST products or services, (c) not alter or remove from the Products any trademarks, trade names, logos, patent or copyright notices or markings, (d) use the Products solely in accordance with CST Product Terms of Sale and any applicable documentation, and (e) comply with any license, terms of service or similar agreement with respect to any third party products or services used by Customer in connection with the Products.