Render Target: STATIC
Render Timestamp:
5/27/2026, 6:52:41 AM EDT
5/27/2026, 10:52:41 AM UTC
Commit: 7ed46ecc04b401f23a28df741b5078df405d23e4
XML generation date: 2026-02-24 08:16:56.638
Product last modified at: 2026-03-20T08:07:23.416Z
Cell Signaling Technology Logo - Extra Large
1% for the planet logo
PDP - Template Name: Monoclonal Antibody
PDP - Template ID: *******c5e4b77
Trial Size Available Flag
Recombinant Flag
Recombinant: Superior lot-to-lot consistency, continuous supply, and animal-free manufacturing.

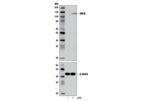
iNOS (D6B6S) Rabbit Monoclonal Antibody #13120

Filter:
  • WB
  • IP
  • IF
  • F

    Product Specifications

    REACTIVITY M
    SENSITIVITY Endogenous
    MW (kDa) 130
    Source/Isotype Rabbit IgG
    Application Key:
    • WB-Western Blotting 
    • IP-Immunoprecipitation 
    • IF-Immunofluorescence 
    • F-Flow Cytometry 
    Species Cross-Reactivity Key:
    • M-Mouse 

    Product Information

    Product Usage Information

    Application Dilution
    Western Blotting 1:1000
    Immunoprecipitation 1:50
    Immunofluorescence (Immunocytochemistry) 1:200 - 1:800
    Flow Cytometry (Fixed/Permeabilized) 1:800 - 1:1600

    Storage

    Supplied in 10 mM sodium HEPES (pH 7.5), 150 mM NaCl, 100 µg/ml BSA, 50% glycerol and less than 0.02% sodium azide. Store at –20°C. Do not aliquot the antibody.

    Protocol

    Specificity / Sensitivity

    iNOS (D6B6S) Rabbit Monoclonal Antibody recognizes endogenous levels of total iNOS protein. This antibody does not cross-react with other NOS proteins. This antibody lacks sensitivity in fixed frozen mouse tissue by immunofluorescence.

    Species Reactivity:

    Mouse

    Source / Purification

    Monoclonal antibody is produced by immunizing animals with a synthetic peptide corresponding to residues surrounding Gly1133 of mouse iNOS protein.

    Background

    Nitric Oxide Synthase (NOS) catalyzes the formation of nitric oxide (NO) and citrulline from L-arginine, oxygen, and cofactors. Three family members have been characterized: neuronal NOS (nNOS), which is found primarily in neuronal tissue; inducible NOS (iNOS), which is induced by interferon gamma and lipopolysaccharides in the kidney and cardiovascular system; and endothelial NOS (eNOS), which is expressed in blood vessels (1). NO is a messenger molecule with diverse functions throughout the body, including the maintenance of vascular integrity, homeostasis, synaptic plasticity, long-term potentiation, learning, and memory (2,3).

    NO catalyzed by iNOS is involved in host defense against protozoa, bacteria, fungi, and viruses. Unlike constitutively expressed eNOS and nNos, iNOS is not usually expressed in quiescent cells. iNOS is transcriptionally induced in response to bacterial endotoxins, such as LPS and proinflammatory cytokines, in macrophages and various other cell types. Transcription factors involved in iNOS transcription include NF-κB, AP-1, and STAT. Different signaling pathways either promote (Jak1/2, PKC, c-Raf, p38 MAP kinase, and p44/42 MAP kinase) or inhibit (PI3 kinase) iNOS expression depending on stimulus and cell type (4).

    Alternate Names

    i-NOS; inducible nitric oxide synthase; Inducible NO synthase; Inducible NOS; iNOS; Inosl; MAC-NOS; Macrophage NOS; nitric oxide synthase 2, inducible; nitric oxide synthase 2, inducible, macrophage; Nitric oxide synthase, inducible; NOS type II; Nos-2; NOS-II; Nos2; Nos2a; OTTMUSP00000000202; Peptidyl-cysteine S-nitrosylase NOS2

    For Research Use Only. Not for Use in Diagnostic Procedures.
    Cell Signaling Technology is a trademark of Cell Signaling Technology, Inc.
    All other trademarks are the property of their respective owners. Visit our Trademark Information page.