Cell Signaling Technology Logo - Extra Large
Trial Size Available Flag
Recombinant Flag
Recombinant: Superior lot-to-lot consistency, continuous supply, and animal-free manufacturing.

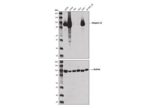
Integrin beta2 (D4N5Z) Rabbit Monoclonal Antibody #73663

Filter:
  • WB

    Product Specifications

    REACTIVITY H
    SENSITIVITY Endogenous
    MW (kDa) 95
    Source/Isotype Rabbit IgG
    Application Key:
    • WB-Western Blotting 
    Species Cross-Reactivity Key:
    • H-Human 

    Product Information

    Product Usage Information

    Application Dilution
    Western Blotting 1:1000

    Storage

    Supplied in 10 mM sodium HEPES (pH 7.5), 150 mM NaCl, 100 µg/ml BSA, 50% glycerol and less than 0.02% sodium azide. Store at –20°C. Do not aliquot the antibody.

    Protocol

    Specificity / Sensitivity

    Integrin beta2 (D4N5Z) Rabbit Monoclonal Antibody recognizes endogenous levels of total Integrin β2 protein.

    Species Reactivity:

    Human

    Source / Purification

    Monoclonal antibody is produced by immunizing animals with a synthetic peptide corresponding to residues surrounding Leu49 of human Integrin β2 protein.

    Background

    Integrins are transmembrane glycoproteins that form heterodimers consisting of one α and one β subunit. Integrin dimers act as receptors for extracellular matrix proteins and cell-surface ligands. Integrin signaling to (inside-out) and from (outside-in) extracellular molecules regulates multiple cellular processes, such as development, wound healing, immune response, invasion, metastasis, and angiogenesis (1,2). Integrin β2 (CD18) is the β subunit of the leukocyte-specific integrin family. Leukocyte integrins include Integrin β2 (CD18)/αL (CD11a) (LFA-1, lymphocyte function associated antigen 1), Integrin β2 (CD18)/αM (CD11b) (Mac-1), Integrin β2 (CD18)/αX (CD11c), and Integrin β2 (CD18)/αD (CD11d). These integrins bind to immunoglobulin superfamily members, such as ICAM-1 and VCAM-1 on endothelial cells, to mediate firm adhesion and transendothelial migration of leukocytes (3). Integrin β2 (CD18) deficiency results in LAD (leukocyte adhesion deficiency), a disease characterized by impairment of leukocyte recruitment, resulting in an inability to fight infection (4).

    Alternate Names

    CD18; cell surface adhesion glycoprotein (LFA-1/CR3/P150,959 beta subunit precursor); cell surface adhesion glycoprotein LFA-1/CR3/P150,959 beta subunit precursor); Cell surface adhesion glycoproteins LFA-1/CR3/p150,95 subunit beta; complement component 3 receptor 3 and 4 subunit; complement receptor C3 beta-subunit; Complement receptor C3 subunit beta; integrin beta chain, beta 2; Integrin beta-2; integrin subunit beta 2; integrin, beta 2 (complement component 3 receptor 3 and 4 subunit); ITB2; ITGB2; LAD; LCAMB; leukocyte cell adhesion molecule CD18; leukocyte-associated antigens CD18/11A, CD18/11B, CD18/11C; LFA-1; MAC-1; MF17; MFI7; truncated integrin beta-2

    For Research Use Only. Not for Use in Diagnostic Procedures.
    Cell Signaling Technology is a trademark of Cell Signaling Technology, Inc.
    All other trademarks are the property of their respective owners. Visit our Trademark Information page.