Render Target: STATIC
Render Timestamp:
5/22/2026, 6:06:12 AM EDT
5/22/2026, 10:06:12 AM UTC
Commit: 7ed46ecc04b401f23a28df741b5078df405d23e4
XML generation date: 2025-11-12 16:18:23.860
Product last modified at: 2026-03-20T08:02:38.489Z
Cell Signaling Technology Logo - Extra Large
1% for the planet logo
PDP - Template Name: Monoclonal Antibody
PDP - Template ID: *******c5e4b77
Trial Size Available Flag
Recombinant Flag
Recombinant: Superior lot-to-lot consistency, continuous supply, and animal-free manufacturing.

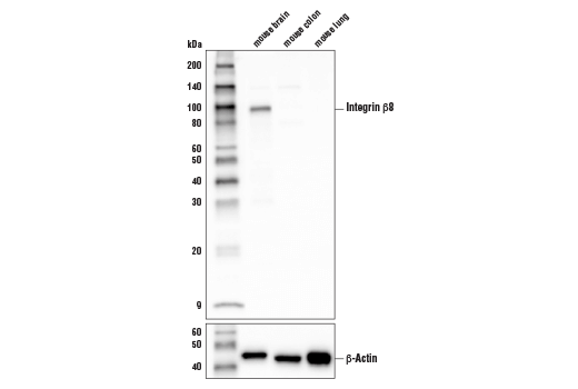
Integrin beta8 (D1V7M) Rabbit Monoclonal Antibody #88300

Filter:
  • WB

    Product Specifications

    REACTIVITY M
    SENSITIVITY Endogenous
    MW (kDa) 98
    Source/Isotype Rabbit IgG
    Application Key:
    • WB-Western Blotting 
    Species Cross-Reactivity Key:
    • M-Mouse 

    Product Information

    Product Usage Information

    Application Dilution
    Western Blotting 1:1000

    Storage

    Supplied in 10 mM sodium HEPES (pH 7.5), 150 mM NaCl, 100 µg/ml BSA, 50% glycerol and less than 0.02% sodium azide. Store at –20°C. Do not aliquot the antibody.

    Protocol

    Specificity / Sensitivity

    Integrin beta8 (D1V7M) Rabbit Monoclonal Antibody recognizes endogenous levels of total integrin β8 protein.

    Species Reactivity:

    Mouse

    Source / Purification

    Monoclonal antibody is produced by immunizing animals with recombinant mouse integrin β8 protein.

    Background

    Integrin αvβ8 facilitates activation and release of TGF-β, which has immunosuppressive effects (1). Deletion of integrin β8 from dendritic cells led to development of inflammatory bowel disease and autoimmunity in mice, as well as failure to induce regulatory T cells that require TGF-β for development (2). TGF-β is also involved in Th17 cell differentiation. Mice lacking expression of integrin β8 on dendritic cells fail to develop Th17 cells and are protected from Th17-mediated autoimmune disease (3). Regulatory T cells express high levels of integrin αvβ8, which enables them to suppress pathogenic T cell activation by activating latent TGF-β (4). Integrin β8 is also essential for vascular morphogenesis as integrin β8-deficient mice are embryonic or perinatal lethal and exhibit insufficient and abnormal vascular morphogenesis (5).

    Alternate Names

    4832412O06Rik; Integrin beta; integrin beta 8; Integrin beta-8; ITB8; Itgb8

    For Research Use Only. Not for Use in Diagnostic Procedures.
    Cell Signaling Technology is a trademark of Cell Signaling Technology, Inc.
    All other trademarks are the property of their respective owners. Visit our Trademark Information page.