Render Target: STATIC
Render Timestamp:
5/25/2026, 6:26:56 AM EDT
5/25/2026, 10:26:56 AM UTC
Commit: 7ed46ecc04b401f23a28df741b5078df405d23e4
XML generation date: 2025-11-12 16:17:14.225
Product last modified at: 2026-03-20T08:02:26.753Z
Cell Signaling Technology Logo - Extra Large
1% for the planet logo
PDP - Template Name: Monoclonal Antibody
PDP - Template ID: *******c5e4b77
Recombinant Flag
Recombinant: Superior lot-to-lot consistency, continuous supply, and animal-free manufacturing.

IRF-9 (D9I5H) Rabbit Monoclonal Antibody (BSA and Azide Free) #74423

Filter:
  • WB
  • IF

    Product Specifications

    REACTIVITY M
    SENSITIVITY Endogenous
    MW (kDa) 50
    Source/Isotype Rabbit IgG
    Application Key:
    • WB-Western Blotting 
    • IF-Immunofluorescence 
    Species Cross-Reactivity Key:
    • M-Mouse 

    Product Information

    Product Usage Information

    This product is the carrier free version of product #28845. All data were generated using the same antibody clone in the standard formulation which contains BSA and glycerol.

    This formulation is ideal for use with technologies requiring specialized or custom antibody labeling, including fluorophores, metals, lanthanides, and oligonucleotides. It is not recommended for ChIP, ChIP-seq, CUT&RUN or CUT&Tag assays. If you require a carrier free formulation for chromatin profiling, please contact us. Optimal dilutions/concentrations should be determined by the end user.

    BSA and Azide Free antibodies are quality control tested by size exclusion chromatography (SEC) to determine antibody integrity.

    Formulation

    Supplied in 1X PBS (10 mM Na2HPO4, 3 mM KCl, 2 mM KH2PO4, and 140 mM NaCl (pH 7.8)). BSA and Azide Free.

    For standard formulation of this product see product #28845

    Storage

    Store at -20°C. This product will freeze at -20°C so it is recommended to aliquot into single-use vials to avoid multiple freeze/thaw cycles. A slight precipitate may be present and can be dissolved by gently vortexing. This will not interfere with antibody performance.

    Specificity / Sensitivity

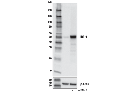
    IRF-9 (D9I5H) Rabbit Monoclonal Antibody (BSA and Azide Free) recognizes endogenous levels of total IRF-9 protein.

    Species Reactivity:

    Mouse

    Source / Purification

    Monoclonal antibody is produced by immunizing animals with a synthetic peptide corresponding to residues surrounding Pro261 of mouse IRF-9 protein.

    Background

    Interferon regulatory factors (IRFs) comprise a family of transcription factors that function within the Jak/Stat pathway to regulate interferon (IFN) and IFN-inducible gene expression in response to viral infection (1). IRFs play an important role in pathogen defense, autoimmunity, lymphocyte development, cell growth, and susceptibility to transformation. The IRF family includes nine members: IRF-1, IRF-2, IRF-9/ISGF3γ, IRF-3, IRF-4 (Pip/LSIRF/ICSAT), IRF-5, IRF-6, IRF-7, and IRF-8/ICSBP. All IRF proteins share homology in their amino-terminal DNA-binding domains. IRF family members regulate transcription through interactions with proteins that share similar DNA-binding motifs, such as IFN-stimulated response elements (ISRE), IFN consensus sequences (ICS), and IFN regulatory elements (IRF-E) (2).

    In response to type I interferons (e.g., IFN- α, IFN-β), interferon regulatory factor 9 (IRF-9, ISGF3γ) assembles into a protein complex with Stat1 and Stat2 and translocates to the nucleus where it induces transcription of interferon response genes by binding to ISREs (3,4). Expression of IRF-9 is also induced by type I interferons (5).

    Alternate Names

    IFN-alpha-responsive transcription factor subunit; interferon dependent positive acting transcription factor 3 gamma; Interferon regulatory factor 9; Interferon-stimulated gene factor 3 gamma; Irf; IRF-9; Irf9; Isgf; ISGF-3 gamma; ISGF3 p48 subunit; Isgf3g; p48; Transcriptional regulator ISGF3 subunit gamma

    For Research Use Only. Not for Use in Diagnostic Procedures.
    Cell Signaling Technology is a trademark of Cell Signaling Technology, Inc.
    All other trademarks are the property of their respective owners. Visit our Trademark Information page.