Render Target: STATIC
Render Timestamp:
5/20/2026, 5:49:30 AM EDT
5/20/2026, 9:49:30 AM UTC
Commit: 7ed46ecc04b401f23a28df741b5078df405d23e4
XML generation date: 2026-02-06 17:51:27.158
Product last modified at: 2026-03-20T08:04:41.451Z
Cell Signaling Technology Logo - Extra Large
1% for the planet logo
PDP - Template Name: Monoclonal Antibody
PDP - Template ID: *******c5e4b77
Trial Size Available Flag
Recombinant Flag
Recombinant: Superior lot-to-lot consistency, continuous supply, and animal-free manufacturing.

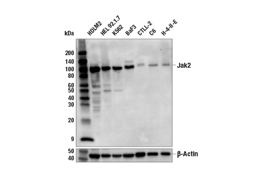
Jak2 (D2E12) Rabbit Monoclonal Antibody #3230

Filter:
  • WB
  • IP
  • IHC

    Product Specifications

    REACTIVITY H M R
    SENSITIVITY Endogenous
    MW (kDa) 125
    Source/Isotype Rabbit IgG
    Application Key:
    • WB-Western Blotting 
    • IP-Immunoprecipitation 
    • IHC-Immunohistochemistry 
    Species Cross-Reactivity Key:
    • H-Human 
    • M-Mouse 
    • R-Rat 

    Product Information

    Product Usage Information

    Application Dilution
    Western Blotting 1:1000
    Simple Western™ 1:10 - 1:50
    Immunoprecipitation 1:100
    Immunohistochemistry (Paraffin) 1:800 - 1:3200

    Storage

    Supplied in 10 mM sodium HEPES (pH 7.5), 150 mM NaCl, 100 µg/ml BSA, 50% glycerol and less than 0.02% sodium azide. Store at –20°C. Do not aliquot the antibody.

    For a carrier free (BSA and azide free) version of this product see product #34315.

    Protocol

    Specificity / Sensitivity

    Jak2 (D2E12) Rabbit Monoclonal Antibody detects endogenous levels of total Jak2 protein. No cross-reactivity was observed with other family members.

    Species Reactivity:

    Human, Mouse, Rat

    The antigen sequence used to produce this antibody shares 100% sequence homology with the species listed here, but reactivity has not been tested or confirmed to work by CST. Use of this product with these species is not covered under our Product Performance Guarantee.

    Species predicted to react based on 100% sequence homology:

    Hamster, Monkey, Chicken, Xenopus, Bovine, Dog, Pig, Horse

    Source / Purification

    Monoclonal antibody is produced by immunizing animals with a synthetic peptide corresponding to residues surrounding Pro841 of Jak2.

    Background

    Members of the Janus family of tyrosine kinases (Jak1, Jak2, Jak3, and Tyk2) are activated by ligands binding to a number of associated cytokine receptors (1). Upon cytokine receptor activation, Jak proteins become autophosphorylated and phosphorylate their associated receptors to provide multiple binding sites for signaling proteins. These associated signaling proteins, such as Stats (2), Shc (3), insulin receptor substrates (4), and focal adhesion kinase (FAK) (5), typically contain SH2 or other phospho-tyrosine-binding domains.

    Alternate Names

    JAK-2; JAK2; Janus kinase 2; Janus kinase 2 (a protein tyrosine kinase); JTK10; Tyrosine-protein kinase JAK2

    For Research Use Only. Not for Use in Diagnostic Procedures.
    Cell Signaling Technology is a trademark of Cell Signaling Technology, Inc.
    Jak antibodies produced under license (granting certain rights including those under U.S. Patent No. 5,658,791) from Chemicon International, Inc.
    All other trademarks are the property of their respective owners. Visit our Trademark Information page.