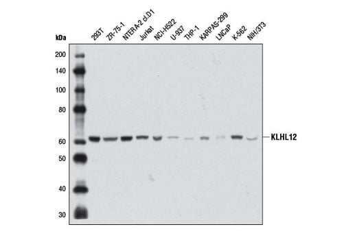
KLHL12 (2G2) Mouse Monoclonal Antibody #9406
- WB
Product Specifications
| REACTIVITY | H M Mk |
| SENSITIVITY | Endogenous |
| MW (kDa) | 62 |
| Source/Isotype | Mouse IgG1 |
Application Key:
- WB-Western Blotting
Species Cross-Reactivity Key:
- H-Human
- M-Mouse
- Mk-Monkey
Product Information
Product Usage Information
| Application | Dilution |
|---|---|
| Western Blotting | 1:1000 |
Storage
Protocol
Specificity / Sensitivity
Species Reactivity:
Source / Purification
Background
There are several lines of evidence suggesting that Kelch-like 12 protein (KLHL12) is a substrate-specific adaptor for the CUL3-based ubiquitin ligase complex. Analysis of the amino acid sequence of KLHL12 reveals an amino-terminal BTB motif, a central linker region, and a carboxy-terminal kelch domain composed of kelch repeats. Furthermore, KLHL12 has been shown to negatively regulate Wnt signaling by binding Disheveled and targeting it for ubiquitin-dependent proteasomal degradation (9). More recently, KLHL12 was shown to drive the assembly of large COPII vesicles by promoting the monoubiquitination of the COPII component Sec31. As a result, CUL3-KLHL12-dependent ubiquitination is essential for collagen export, a step that is required for integrin-dependent mouse embryonic stem cell division (10) .
- Zheng, N. et al. (2002) Nature 416, 703-9.
- Skowyra, D. et al. (1997) Cell 91, 209-19.
- Feldman, R.M. et al. (1997) Cell 91, 221-30.
- Bai, C. et al. (1996) Cell 86, 263-74.
- Singer, J.D. et al. (1999) Genes Dev 13, 2375-87.
- Winston, J.T. et al. (1999) Genes Dev 13, 2751-7.
- Kurz, T. et al. (2002) Science 295, 1294-8.
- Collins, T. et al. (2001) Mol Cell Biol 21, 3609-15.
- Angers, S. et al. (2006) Nat Cell Biol 8, 348-57.
- Jin, L. et al. (2012) Nature 482, 495-500.
Alternate Names
C3IP1; CUL3-interacting protein 1; DKIR; DKIR homolog; FLJ27152; hDKIR; kelch like family member 12; kelch-like 12 (Drosophila); Kelch-like protein 12; kelch-like protein C3IP1; KLH12; KLHL12
Limited Uses
Except as otherwise expressly agreed in a writing signed by a legally authorized representative of CST, the following terms apply to Products provided by CST, its affiliates or its distributors. Any Customer's terms and conditions that are in addition to, or different from, those contained herein, unless separately accepted in writing by a legally authorized representative of CST, are rejected and are of no force or effect.
Products are labeled with For Research Use Only or a similar labeling statement and have not been approved, cleared, or licensed by the FDA or other regulatory foreign or domestic entity, for any purpose. Customer shall not use any Product for any diagnostic or therapeutic purpose, or otherwise in any manner that conflicts with its labeling statement. Products sold or licensed by CST are provided for Customer as the end-user and solely for research and development uses. Any use of Product for diagnostic, prophylactic or therapeutic purposes, or any purchase of Product for resale (alone or as a component) or other commercial purpose, requires a separate license from CST. Customer shall (a) not sell, license, loan, donate or otherwise transfer or make available any Product to any third party, whether alone or in combination with other materials, or use the Products to manufacture any commercial products, (b) not copy, modify, reverse engineer, decompile, disassemble or otherwise attempt to discover the underlying structure or technology of the Products, or use the Products for the purpose of developing any products or services that would compete with CST products or services, (c) not alter or remove from the Products any trademarks, trade names, logos, patent or copyright notices or markings, (d) use the Products solely in accordance with CST Product Terms of Sale and any applicable documentation, and (e) comply with any license, terms of service or similar agreement with respect to any third party products or services used by Customer in connection with the Products.