Render Target: STATIC
Render Timestamp:
5/20/2026, 6:25:54 AM EDT
5/20/2026, 10:25:54 AM UTC
Commit: 7ed46ecc04b401f23a28df741b5078df405d23e4
XML generation date: 2025-11-13 17:57:26.223
Product last modified at: 2026-03-20T08:06:50.525Z
Cell Signaling Technology Logo - Extra Large
1% for the planet logo
PDP - Template Name: Polyclonal Antibody
PDP - Template ID: *******59c6464

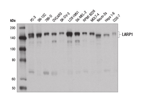
LARP1 Antibody #14763

Filter:
  • WB

    Product Specifications

    REACTIVITY H M R Mk
    SENSITIVITY Endogenous
    MW (kDa) 150
    SOURCE Rabbit
    Application Key:
    • WB-Western Blotting 
    Species Cross-Reactivity Key:
    • H-Human 
    • M-Mouse 
    • R-Rat 
    • Mk-Monkey 

    Product Information

    Product Usage Information

    Application Dilution
    Western Blotting 1:1000

    Storage

    Supplied in 10 mM sodium HEPES (pH 7.5), 150 mM NaCl, 100 µg/ml BSA and 50% glycerol. Store at –20°C. Do not aliquot the antibody.

    Protocol

    Specificity / Sensitivity

    LARP1 Antibody recognizes endogenous levels of total LARP1 protein.

    Species Reactivity:

    Human, Mouse, Rat, Monkey

    Source / Purification

    Polyclonal antibodies are produced by immunizing animals with a synthetic peptide corresponding to residues surrounding Pro314 of human LARP1 protein. Antibodies are purified by protein A and peptide affinity chromatography.

    Background

    La-related protein 1 (LARP1) is a ubiquitously expressed RNA binding protein that promotes both global and specific mRNA translation in cells (1). LARP1 belongs to the La-related protein family and contains two RNA binding domains, a La motif (LAM), and a neighboring RNA recognition motif-like (RRM-L) domain (1). Research studies indicate that LARP1 acts downstream of mTORC1 to facilitate cell proliferation and growth by promoting global mRNA translation and translation of mRNAs containing a 5'Terminal Oligo-Pyrimidine (5'TOP) motif, which code for translational machinery components (2,3). At the molecular level, LARP1 associates with 5'TOP mRNAs and multiple translation machinery components to positively regulate translation (2,4). Additional studies show that LARP1 expression is upregulated in hepatocellular carcinoma (HCC) patients and that high LARP1 expression in HCC negatively correlates with survival rate (5).

    Alternate Names

    KIAA0731; La ribonucleoprotein 1, translational regulator; La ribonucleoprotein domain family member 1; La ribonucleoprotein domain family, member 1; La-related protein 1; Lar1; LARP; LARP1; Lhp1; MGC19556

    For Research Use Only. Not for Use in Diagnostic Procedures.
    Cell Signaling Technology is a trademark of Cell Signaling Technology, Inc.
    All other trademarks are the property of their respective owners. Visit our Trademark Information page.