Cell Signaling Technology Logo - Extra Large
Recombinant Flag
Recombinant: Superior lot-to-lot consistency, continuous supply, and animal-free manufacturing.

LbCpf1/Cas12a (Strain ND2006) (E8B1W) Rabbit Monoclonal Antibody (BSA and Azide Free) #65570

Filter:
  • WB
  • IF
  • ELISA+

    Product Specifications

    REACTIVITY All
    SENSITIVITY Transfected Only
    MW (kDa) 143
    Source/Isotype Rabbit IgG
    Application Key:
    • WB-Western Blotting 
    • IF-Immunofluorescence 
    • ELISA+-ELISA and/or ELISA-like Assays 
    Species Cross-Reactivity Key:
    • All-All Species Expected 

    Product Information

    Product Usage Information

    This product is the carrier free version of product #41874. All data were generated using the same antibody clone in the standard formulation which contains BSA and glycerol.

    This formulation is ideal for use with technologies requiring specialized or custom antibody labeling, including fluorophores, metals, lanthanides, and oligonucleotides. It is not recommended for ChIP, ChIP-seq, CUT&RUN or CUT&Tag assays. If you require a carrier free formulation for chromatin profiling, please contact us. Optimal dilutions/concentrations should be determined by the end user.

    BSA and Azide Free antibodies are quality control tested by size exclusion chromatography (SEC) to determine antibody integrity.

    Formulation

    Supplied in 1X PBS (10 mM Na2HPO4, 3 mM KCl, 2 mM KH2PO4, and 140 mM NaCl (pH 7.8)). BSA and Azide Free.

    For standard formulation of this product see product #41874

    Storage

    Store at -20°C. This product will freeze at -20°C so it is recommended to aliquot into single-use vials to avoid multiple freeze/thaw cycles. A slight precipitate may be present and can be dissolved by gently vortexing. This will not interfere with antibody performance.

    Specificity / Sensitivity

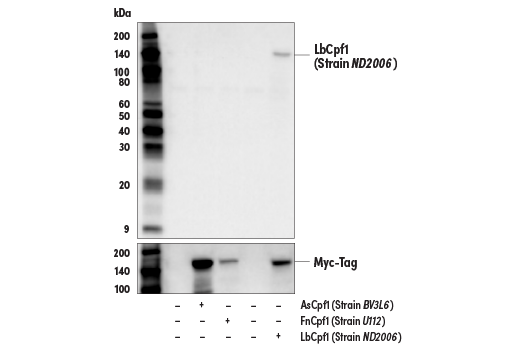
    LbCpf1/Cas12a (Strain ND2006) (E8B1W) Rabbit Monoclonal Antibody (BSA and Azide Free) recognizes transfected levels of total LbCpf1/Cas12a (Strain ND2006) protein. This antibody does not cross-react with Cas9 (S. pyogenes), Cas9 (S. aureus), AsCpf1/Cas12a (Strain BV3L6), or FnCpf1/Cas12a (Strain U112) protein.

    Species Reactivity:

    All Species Expected

    Source / Purification

    Monoclonal antibody is produced by immunizing animals with recombinant protein specific to the amino terminus of LbCpf1/Cas12a (Strain ND2006) protein.

    Background

    CRISPR-Cas (clustered regularly interspaced short palindromic repeats and CRISPR-associated proteins) are RNA-guided nuclease effectors that are utilized for precise genome editing in mammalian systems (1). Cpf1/Cas12a (CRISPR from Prevotella and Francisella) proteins are members of the Class 2 CRISPR system (2). Class 2 CRISPR systems, such as the well characterized Cas9, rely on single-component effector proteins to mediate DNA interference (3). Cpf1/Cas12a endonucleases, compared to Cas9 systems, have several unique features that increase the utility of CRISPR-based genome editing techniques: 1) Cpf1/Cas12a-mediated cleavage relies on a single and short CRISPR RNA (crRNA) without the requirement of a trans-activating crRNA (tracrRNA), 2) Cpf1/Cas12a utilizes T-Rich protospacer-adjacent motif (PAM) sequences rather than a G-Rich PAM, and 3) Cpf1/Cas12a generates a staggered, rather than a blunt-ended, DNA double-stranded break (2). These features broaden the utility of using CRISPR-Cas systems for specific gene regulation and therapeutic applications. Several Cpf1/Cas12a bacterial orthologs have been characterized for CRISPR-mediated mammalian genome editing (2,4).
    LbCpf1 (Strain ND2006)/Cas12a is a Cpf1/Cas12a enzyme derived from Lachnospiraceae bacterium ND2006 (5,6).

    Alternate Names

    Cpf1; LbCpf1

    For Research Use Only. Not for Use in Diagnostic Procedures.
    Cell Signaling Technology is a trademark of Cell Signaling Technology, Inc.
    All other trademarks are the property of their respective owners. Visit our Trademark Information page.