Cell Signaling Technology Logo - Extra Large
Trial Size Available Flag
Recombinant Flag
Recombinant: Superior lot-to-lot consistency, continuous supply, and animal-free manufacturing.

LbCpf1/Cas12a (Strain ND2006) (E8B1W) Rabbit Monoclonal Antibody #41874

Filter:
  • WB
  • IP
  • IF

    Product Specifications

    REACTIVITY All
    SENSITIVITY Transfected Only
    MW (kDa) 143
    Source/Isotype Rabbit IgG
    Application Key:
    • WB-Western Blotting 
    • IP-Immunoprecipitation 
    • IF-Immunofluorescence 
    Species Cross-Reactivity Key:
    • All-All Species Expected 

    Product Information

    Product Usage Information

    Application Dilution
    Western Blotting 1:1000
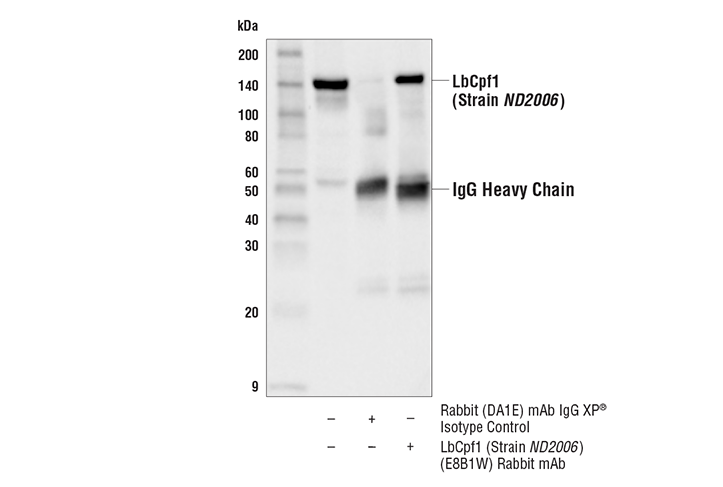
    Immunoprecipitation 1:50
    Immunofluorescence (Immunocytochemistry) 1:200 - 1:400

    Storage

    Supplied in 10 mM sodium HEPES (pH 7.5), 150 mM NaCl, 100 µg/ml BSA, 50% glycerol and less than 0.02% sodium azide. Store at –20°C. Do not aliquot the antibody.

    For a carrier free (BSA and azide free) version of this product see product #65570.

    Protocol

    Specificity / Sensitivity

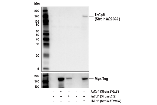
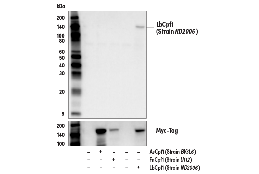
    LbCpf1/Cas12a (Strain ND2006) (E8B1W) Rabbit Monoclonal Antibody recognizes transfected levels of total LbCpf1/Cas12a (Strain ND2006) protein. This antibody does not cross-react with Cas9 (S. pyogenes), Cas9 (S. aureus), AsCpf1/Cas12a (Strain BV3L6), or FnCpf1/Cas12a (Strain U112) protein.

    Species Reactivity:

    All Species Expected

    Source / Purification

    Monoclonal antibody is produced by immunizing animals with recombinant protein specific to the amino terminus of LbCpf1/Cas12a (Strain ND2006) protein.

    Background

    CRISPR-Cas (clustered regularly interspaced short palindromic repeats and CRISPR-associated proteins) are RNA-guided nuclease effectors that are utilized for precise genome editing in mammalian systems (1). Cpf1/Cas12a (CRISPR from Prevotella and Francisella) proteins are members of the Class 2 CRISPR system (2). Class 2 CRISPR systems, such as the well characterized Cas9, rely on single-component effector proteins to mediate DNA interference (3). Cpf1/Cas12a endonucleases, compared to Cas9 systems, have several unique features that increase the utility of CRISPR-based genome editing techniques: 1) Cpf1/Cas12a-mediated cleavage relies on a single and short CRISPR RNA (crRNA) without the requirement of a trans-activating crRNA (tracrRNA), 2) Cpf1/Cas12a utilizes T-Rich protospacer-adjacent motif (PAM) sequences rather than a G-Rich PAM, and 3) Cpf1/Cas12a generates a staggered, rather than a blunt-ended, DNA double-stranded break (2). These features broaden the utility of using CRISPR-Cas systems for specific gene regulation and therapeutic applications. Several Cpf1/Cas12a bacterial orthologs have been characterized for CRISPR-mediated mammalian genome editing (2,4).~LbCpf1 (Strain ND2006)/Cas12a is a Cpf1/Cas12a enzyme derived from Lachnospiraceae bacterium ND2006 (5,6).

    Alternate Names

    Cpf1; LbCpf1

    For Research Use Only. Not for Use in Diagnostic Procedures.
    Cell Signaling Technology is a trademark of Cell Signaling Technology, Inc.
    All other trademarks are the property of their respective owners. Visit our Trademark Information page.