Cell Signaling Technology Logo - Extra Large
Trial Size Available Flag
Recombinant Flag
Recombinant: Superior lot-to-lot consistency, continuous supply, and animal-free manufacturing.

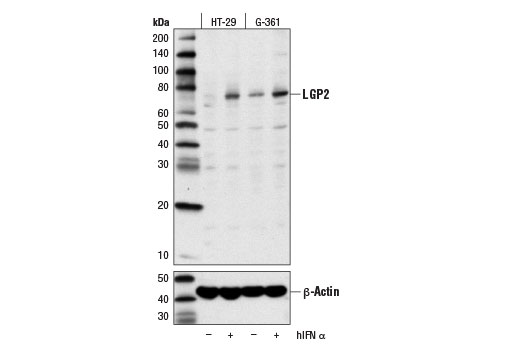
LGP2 (D3I3L) Rabbit Monoclonal Antibody #12869

Filter:
  • WB

    Product Specifications

    REACTIVITY H
    SENSITIVITY Endogenous
    MW (kDa) 77
    Source/Isotype Rabbit IgG
    Application Key:
    • WB-Western Blotting 
    Species Cross-Reactivity Key:
    • H-Human 

    Product Information

    Product Usage Information

    Application Dilution
    Western Blotting 1:1000

    Storage

    Supplied in 10 mM sodium HEPES (pH 7.5), 150 mM NaCl, 100 µg/ml BSA, 50% glycerol and less than 0.02% sodium azide. Store at –20°C. Do not aliquot the antibody.

    Protocol

    Specificity / Sensitivity

    LGP2 (D3I3L) Rabbit Monoclonal Antibody recognizes endogenous levels of total LGP2 protein.

    Species Reactivity:

    Human

    Source / Purification

    Monoclonal antibody is produced by immunizing animals with a synthetic peptide corresponding to residues surrounding Val478 of human LGP2 protein.

    Background

    Antiviral innate immunity depends on the combination of parallel pathways triggered by virus detecting proteins in the Toll-like receptor (TLR) family and RNA helicases, such as Rig-I (retinoic acid-inducible gene I) and MDA-5 (melanoma differentiation-associated antigen 5), which promote the transcription of type I interferons (IFN) and antiviral enzymes (1-3). TLRs and helicase proteins contain sites that recognize the molecular patterns of different virus types, including DNA, single-stranded RNA (ssRNA), double-stranded RNA (dsRNA), and glycoproteins. These antiviral proteins are found in different cell compartments; TLRs (i.e. TLR3, TLR7, TLR8, and TLR9) are expressed on endosomal membranes and helicases are localized to the cytoplasm. Rig-I expression is induced by retinoic acid, LPS, IFN, and viral infection (4,5). Both Rig-I and MDA-5 share a DExD/H-box helicase domain that detects viral dsRNA and two amino-terminal caspase recruitment domains (CARD) that are required for triggering downstream signaling (4-7). Rig-I binds both dsRNA and viral ssRNA that contains a 5'-triphosphate end not seen in host RNA (8,9). Though structurally related, Rig-I and MDA-5 detect a distinct set of viruses (10,11). The CARD domain of the helicases, which is sufficient to generate signaling and IFN production, is recruited to the CARD domain of the MAVS/VISA/Cardif/IPS-1 mitochondrial protein, which triggers activation of NF-κB, TBK1/IKKε, and IRF-3/IRF-7 (12-15).
    The DExD/H-box family helicase laboratory of genetics and physiology 2 (LGP2, DHX58) is a Rig-I-like receptor (RLR) that lacks the CARD domain and associated signaling ability (6,16). Research studies demonstrate that LGP2 helicase binds dsRNA and inhibits the Rig-I-like receptors Rig-I and MDA-5. Expression of LGP2 is induced by interferon, dsRNA, and viral infection (17). Studies using LGP2-deficient animals demonstrate a complicated interaction between LGP2 and the other RLRs that involves both positive and negative effects on interferon regulation (18-20). In addition, LGP2 may regulate apoptosis, contribute to CD8+ T cell survival, and protect cancer cells from ionizing radiation (21,22).
    1. Yoneyama, M. and Fujita, T. (2007) J Biol Chem 282, 15315-8.
    2. Meylan, E. and Tschopp, J. (2006) Mol Cell 22, 561-9.
    3. Thompson, A.J. and Locarnini, S.A. (2007) Immunol Cell Biol 85, 435-45.
    4. Imaizumi, T. et al. (2002) Biochem Biophys Res Commun 292, 274-9.
    5. Zhang, X. et al. (2000) Microb Pathog 28, 267-78.
    6. Yoneyama, M. et al. (2005) J Immunol 175, 2851-8.
    7. Yoneyama, M. et al. (2004) Nat Immunol 5, 730-7.
    8. Hornung, V. et al. (2006) Science 314, 994-7.
    9. Pichlmair, A. et al. (2006) Science 314, 997-1001.
    10. Kato, H. et al. (2006) Nature 441, 101-5.
    11. Childs, K. et al. (2007) Virology 359, 190-200.
    12. Meylan, E. et al. (2005) Nature 437, 1167-72.
    13. Xu, L.G. et al. (2005) Mol Cell 19, 727-40.
    14. Kawai, T. et al. (2005) Nat Immunol 6, 981-8.
    15. Seth, R.B. et al. (2005) Cell 122, 669-82.
    16. Rothenfusser, S. et al. (2005) J Immunol 175, 5260-8.
    17. Komuro, A. and Horvath, C.M. (2006) J Virol 80, 12332-42.
    18. Venkataraman, T. et al. (2007) J Immunol 178, 6444-55.
    19. Childs, K.S. et al. (2013) PLoS One 8, e64202.
    20. Satoh, T. et al. (2010) Proc Natl Acad Sci U S A 107, 1512-7.
    21. Suthar, M.S. et al. (2012) Immunity 37, 235-48.
    22. Widau, R.C. et al. (2014) Proc Natl Acad Sci U S A, [Epub ahead of print].

    Alternate Names

    ATP-dependent RNA helicase DHX58; D11LGP2; D11LGP2E; DEXH (Asp-Glu-X-His) box polypeptide 58; DExH-box helicase 58; DHX58; LGP2; ortholog of mouse D11lgp2; Probable ATP-dependent helicase LGP2; Probable ATP-dependent RNA helicase DHX58; Protein D11Lgp2 homolog; RIG-I-like receptor 3; RIG-I-like receptor LGP2; RLR; RLR-3; RNA helicase LGP2

    For Research Use Only. Not for Use in Diagnostic Procedures.
    Cell Signaling Technology is a trademark of Cell Signaling Technology, Inc.
    All other trademarks are the property of their respective owners. Visit our Trademark Information page.