LLGL1 (D2B5A) Rabbit Monoclonal Antibody #12159
- WB
- IF
Product Specifications
| REACTIVITY | H Mk |
| SENSITIVITY | Endogenous |
| MW (kDa) | 130 |
| Source/Isotype | Rabbit IgG |
Application Key:
- WB-Western Blotting
- IF-Immunofluorescence
Species Cross-Reactivity Key:
- H-Human
- Mk-Monkey
Product Information
Product Usage Information
| Application | Dilution |
|---|---|
| Western Blotting | 1:1000 |
| Immunofluorescence (Immunocytochemistry) | 1:50 |
Storage
Protocol
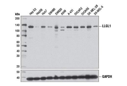
Specificity / Sensitivity
Species Reactivity:
Source / Purification
Background
(LLGL1), is a cytoskeletal protein implicated in regulating cellular organization, migration, and cell polarity (3). As in Drosophila, decreased expression of LLGL1 correlates with an increased incidence of cellular overgrowth and malignant transformation (4-6). In mammalian epithelial cells, LLGL1 redistributes from the cytoplasm to regions of cell-cell contact, allowing the establishment and maintainence of a polarized morphology (7). LLGL1 also plays a role in the formation of epithelial junctions via its direct interactions with PAR6 and aPKC, the latter of which has been shown to phosphorylate LLGL1 at Ser663, thus restricting its localization to the basolateral region of the cell (8). LLGL1 may also play an additional, unrealized role in cellular development and differentiation as indicated by the fact that Drosophila lgl has been implicated in controlling self-renewal and differentiation of progenitor cells (9). Recent studies in mice have suggested that a mammalian LLGL1 homolog that does not have tumor suppressor-like acitvity, LLGL2, is required for proper polarized invasion of trophoblasts and efficient branching morphogenesis during placental development (10).
- Agrawal, N. et al. (1995) Dev Biol 172, 218-29.
- Massimi, P. et al. (2008) Exp Cell Res 314, 3306-17.
- Strand, D. et al. (1995) Oncogene 11, 291-301.
- Schimanski, C.C. et al. (2005) Oncogene 24, 3100-9.
- Kuphal, S. et al. (2006) Oncogene 25, 103-10.
- Lu, X. et al. (2009) Clin Cancer Res 15, 3287-96.
- Müsch, A. et al. (2002) Mol Biol Cell 13, 158-68.
- Yamanaka, T. et al. (2003) Curr Biol 13, 734-43.
- Mechler, B.M. et al. (1985) EMBO J 4, 1551-7.
- Sripathy, S. et al. (2011) Mol Cell Biol 31, 2920-33.
Alternate Names
DLG4; HUGL; Hugl-1; HUGL1; Human homolog to the D-lgl gene protein; L2GL1; lethal giant larvae homolog 1 (Drosophila); lethal giant larvae homolog 1, scribble cell polarity complex component; Lethal(2) giant larvae protein homolog 1; Lgl1; LLGL; LLGL scribble cell polarity complex component 1; LLGL1; LLGL1, scribble cell polarity complex component; Mgl1
Limited Uses
Except as otherwise expressly agreed in a writing signed by a legally authorized representative of CST, the following terms apply to Products provided by CST, its affiliates or its distributors. Any Customer's terms and conditions that are in addition to, or different from, those contained herein, unless separately accepted in writing by a legally authorized representative of CST, are rejected and are of no force or effect.
Products are labeled with For Research Use Only or a similar labeling statement and have not been approved, cleared, or licensed by the FDA or other regulatory foreign or domestic entity, for any purpose. Customer shall not use any Product for any diagnostic or therapeutic purpose, or otherwise in any manner that conflicts with its labeling statement. Products sold or licensed by CST are provided for Customer as the end-user and solely for research and development uses. Any use of Product for diagnostic, prophylactic or therapeutic purposes, or any purchase of Product for resale (alone or as a component) or other commercial purpose, requires a separate license from CST. Customer shall (a) not sell, license, loan, donate or otherwise transfer or make available any Product to any third party, whether alone or in combination with other materials, or use the Products to manufacture any commercial products, (b) not copy, modify, reverse engineer, decompile, disassemble or otherwise attempt to discover the underlying structure or technology of the Products, or use the Products for the purpose of developing any products or services that would compete with CST products or services, (c) not alter or remove from the Products any trademarks, trade names, logos, patent or copyright notices or markings, (d) use the Products solely in accordance with CST Product Terms of Sale and any applicable documentation, and (e) comply with any license, terms of service or similar agreement with respect to any third party products or services used by Customer in connection with the Products.