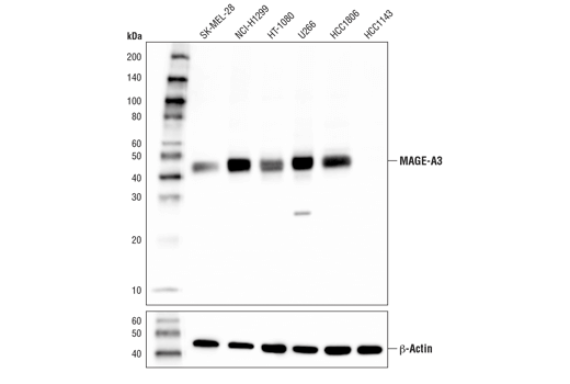
MAGE-A3 Antibody #25800
- WB
- IP
Product Specifications
| REACTIVITY | H |
| SENSITIVITY | Endogenous |
| MW (kDa) | 45 |
| SOURCE | Rabbit |
Application Key:
- WB-Western Blotting
- IP-Immunoprecipitation
Species Cross-Reactivity Key:
- H-Human
Product Information
Product Usage Information
| Application | Dilution |
|---|---|
| Western Blotting | 1:1000 |
| Immunoprecipitation | 1:50 |
Storage
Protocol
Specificity / Sensitivity
Species Reactivity:
Source / Purification
Background
Melanoma antigen-A3 (MAGE-A3) is a cancer testis antigen and belongs to the type I MAGE family of proteins. The expression of MAGE-A3 is normally restricted to the human testis but is aberrantly upregulated in a number of human cancers, such as lung cancer, colorectal cancer, and multiple myeloma (4-6). Research studies have recently demonstrated that MAGE-A3 drives tumorigenesis as part of the MAGE-A3-TRIM28 ubiquitin ligase complex that promotes proteasomal degradation of the tumor suppressor kinase AMPK (7). Due to its upregulated and selective expression in human tumors and high degree of immunogenicity, MAGE-A3 has received significant attention as a novel immunotherapy target through the use of vaccines and adoptive cell therapy (8,9).
- Caballero, O.L. and Chen, Y.T. (2009) Cancer Sci 100, 2014-21.
- De Smet, C. et al. (1999) Mol Cell Biol 19, 7327-35.
- Gjerstorff, M.F. et al. (2015) Oncotarget 6, 15772-87.
- Jang, S.J. et al. (2001) Cancer Res 61, 7959-63.
- Shantha Kumara, H.M. et al. (2012) Cancer Immun 12, 16.
- Atanackovic, D. et al. (2007) Blood 109, 1103-12.
- Pineda, C.T. et al. (2015) Cell 160, 715-28.
- Straetemans, T. et al. (2012) Clin Dev Immunol 2012, 586314.
- Esfandiary, A. and Ghafouri-Fard, S. (2015) Immunotherapy 7, 683-704.
Alternate Names
Antigen MZ2-D; Cancer/testis antigen 1.3; cancer/testis antigen family 1, member 3; CT1.3; CT1.6; HIP8; HYPD; MAGA3; MAGE family member A3; MAGE-3 antigen; MAGE3; MAGEA3; MAGEA6; melanoma antigen family A, 3; melanoma antigen family A3; Melanoma-associated antigen 3; MGC14613
Limited Uses
Except as otherwise expressly agreed in a writing signed by a legally authorized representative of CST, the following terms apply to Products provided by CST, its affiliates or its distributors. Any Customer's terms and conditions that are in addition to, or different from, those contained herein, unless separately accepted in writing by a legally authorized representative of CST, are rejected and are of no force or effect.
Products are labeled with For Research Use Only or a similar labeling statement and have not been approved, cleared, or licensed by the FDA or other regulatory foreign or domestic entity, for any purpose. Customer shall not use any Product for any diagnostic or therapeutic purpose, or otherwise in any manner that conflicts with its labeling statement. Products sold or licensed by CST are provided for Customer as the end-user and solely for research and development uses. Any use of Product for diagnostic, prophylactic or therapeutic purposes, or any purchase of Product for resale (alone or as a component) or other commercial purpose, requires a separate license from CST. Customer shall (a) not sell, license, loan, donate or otherwise transfer or make available any Product to any third party, whether alone or in combination with other materials, or use the Products to manufacture any commercial products, (b) not copy, modify, reverse engineer, decompile, disassemble or otherwise attempt to discover the underlying structure or technology of the Products, or use the Products for the purpose of developing any products or services that would compete with CST products or services, (c) not alter or remove from the Products any trademarks, trade names, logos, patent or copyright notices or markings, (d) use the Products solely in accordance with CST Product Terms of Sale and any applicable documentation, and (e) comply with any license, terms of service or similar agreement with respect to any third party products or services used by Customer in connection with the Products.