Render Target: STATIC
Render Timestamp:
5/20/2026, 7:20:13 AM EDT
5/20/2026, 11:20:13 AM UTC
Commit: 7ed46ecc04b401f23a28df741b5078df405d23e4
XML generation date: 2026-01-05 22:01:08.621
Product last modified at: 2026-03-20T08:02:52.168Z
Cell Signaling Technology Logo - Extra Large
1% for the planet logo
PDP - Template Name: Monoclonal Antibody
PDP - Template ID: *******c5e4b77
Trial Size Available Flag
Recombinant Flag
Recombinant: Superior lot-to-lot consistency, continuous supply, and animal-free manufacturing.

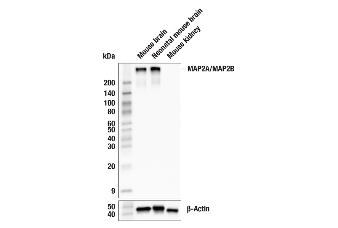
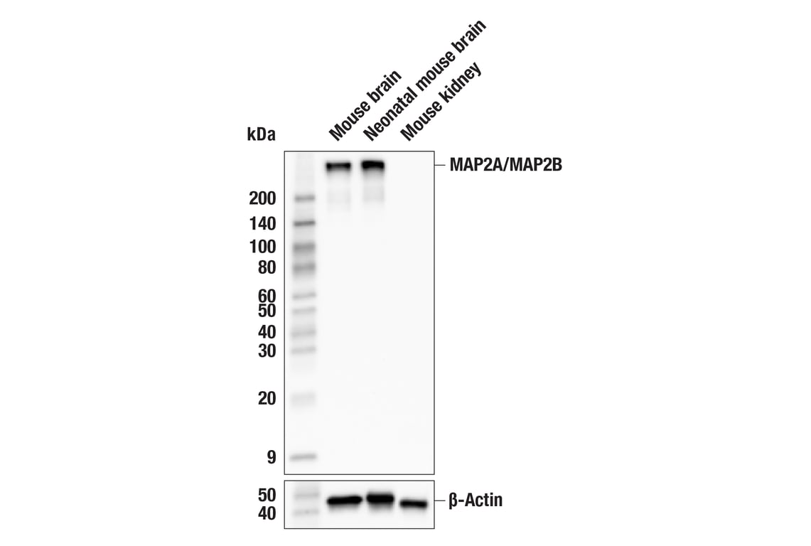
MAP2A/MAP2B (F5H5D) Rabbit Monoclonal Antibody #52141

Filter:
  • WB
  • IHC
  • IF

    Product Specifications

    REACTIVITY M
    SENSITIVITY Endogenous
    MW (kDa) 280
    Source/Isotype Rabbit IgG
    Application Key:
    • WB-Western Blotting 
    • IHC-Immunohistochemistry 
    • IF-Immunofluorescence 
    Species Cross-Reactivity Key:
    • M-Mouse 

    Product Information

    Product Usage Information

    Application Dilution
    Western Blotting 1:1000
    Simple Western™ 1:10 - 1:50
    Immunohistochemistry (Paraffin) 1:200 - 1:800
    Immunofluorescence (Frozen) 1:200 - 1:800

    Storage

    Supplied in 10 mM sodium HEPES (pH 7.5), 150 mM NaCl, 100 µg/mL BSA, 50% glycerol, and less than 0.02% sodium azide. Store at –20°C. Do not aliquot the antibody.

    Protocol

    Specificity / Sensitivity

    MAP2A/MAP2B (F5H5D) Rabbit Monoclonal Antibody recognizes endogenous levels of total MAP2A/MAP2B protein. This antibody does not cross-react with MAP2C or MAP2D isoforms.

    Species Reactivity:

    Mouse

    Source / Purification

    Monoclonal antibody is produced by immunizing animals with a synthetic peptide corresponding to residues surrounding Val332 of mouse MAP2A/MAP2B protein.

    Background

    Microtubule-associated protein 2 (MAP2) is a neuronal phosphoprotein that regulates the structure and stability of microtubules, neuronal morphogenesis, cytoskeleton dynamics, and organelle trafficking in axons and dendrites (1). Multiple MAP2 isoforms are expressed in neurons, including high molecular weight MAP2A and MAP2B (280 and 270 kDa), and low molecular weight MAP2C and MAP2D (70 and 75 kDa). Phosphorylation of MAP2 modulates its association with the cytoskeleton and is developmentally regulated. GSK-3 and p44/42 MAP kinase phosphorylate MAP2 at Ser136, Thr1620, and Thr1623 (2,3). Phosphorylation at Thr1620/1623 by GSK-3 inhibits MAP2 association with microtubules and microtubule stability (3).

    Alternate Names

    G1-397-34; MAP; MAP-2; Map2; Microtubule-associated protein 2; Mta; Mtap-2; Mtap2; OTTMUSP00000017688; OTTMUSP00000017689; OTTMUSP00000017691; repro4

    For Research Use Only. Not for Use in Diagnostic Procedures.
    Cell Signaling Technology is a trademark of Cell Signaling Technology, Inc.
    All other trademarks are the property of their respective owners. Visit our Trademark Information page.