Cell Signaling Technology Logo - Extra Large
Trial Size Available Flag
Recombinant Flag
Recombinant: Superior lot-to-lot consistency, continuous supply, and animal-free manufacturing.

Mena (F5Z9K) Rabbit Monoclonal Antibody #43222

Filter:
  • WB
  • IHC

    Product Specifications

    REACTIVITY H M R Mk
    SENSITIVITY Endogenous
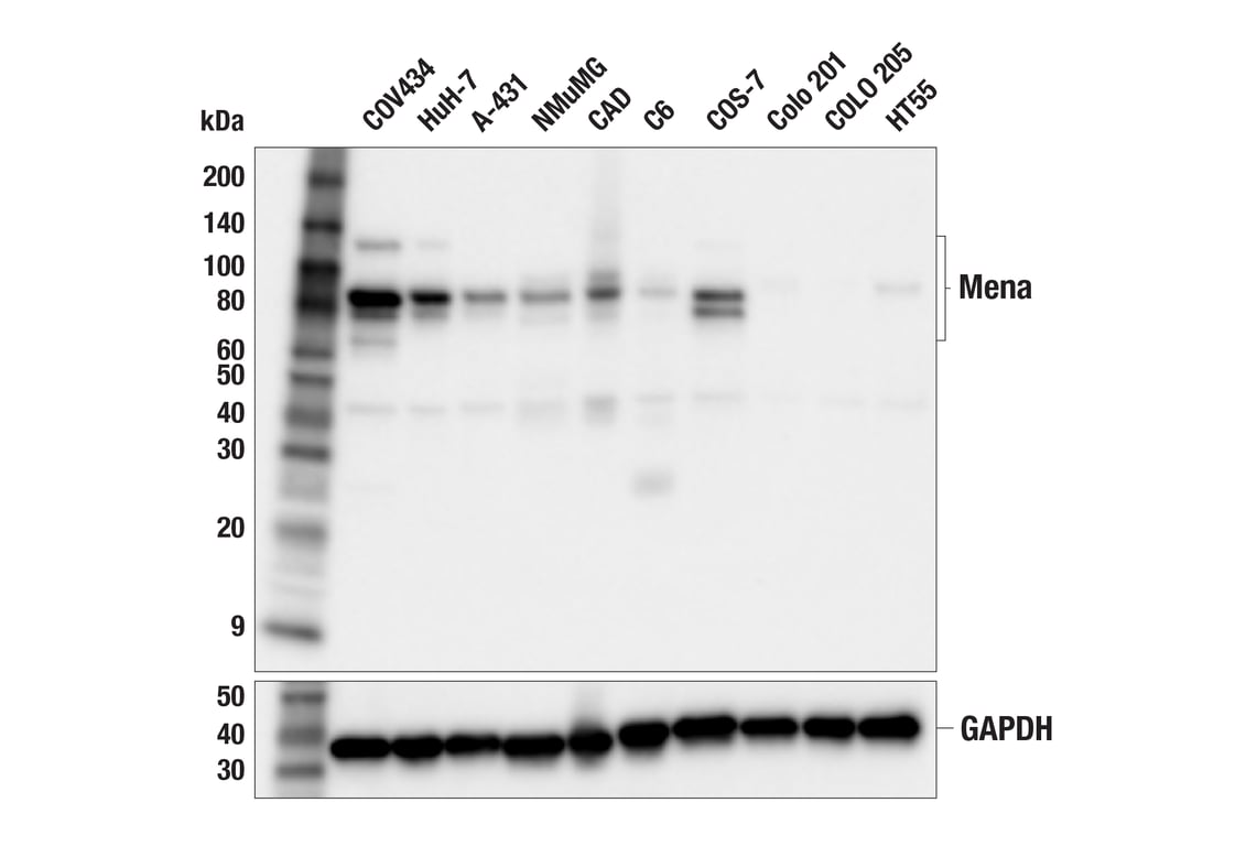
    MW (kDa) 140, 88, 80
    Source/Isotype Rabbit IgG
    Application Key:
    • WB-Western Blotting 
    • IHC-Immunohistochemistry 
    Species Cross-Reactivity Key:
    • H-Human 
    • M-Mouse 
    • R-Rat 
    • Mk-Monkey 

    Product Information

    Product Usage Information

    Application Dilution
    Western Blotting 1:1000
    Immunohistochemistry (Paraffin) 1:200 - 1:800

    Storage

    Supplied in 10 mM sodium HEPES (pH 7.5), 150 mM NaCl, 100 µg/mL BSA, 50% glycerol, and less than 0.02% sodium azide. Store at –20°C. Do not aliquot the antibody.

    Protocol

    Specificity / Sensitivity

    Mena (F5Z9K) Rabbit Monoclonal Antibody recognizes endogenous levels of total Mena protein. This antibody cross-reacts with a 45 kDa protein of unknown identity in some cell lines. Non-specific staining was observed in human stomach by immunohistochemistry. Species cross-reactivity for IHC-P is human only.

    Species Reactivity:

    Human, Mouse, Rat, Monkey

    Source / Purification

    Monoclonal antibody is produced by immunizing animals with a synthetic peptide corresponding to residues surrounding Pro543 of human Mena protein.

    Background

    Mena, EVL, and VASP are all members of the Ena/VASP family, which is involved in controlling cell shape and movement by shielding actin filaments from capping proteins (1). Ena/VASP proteins have three distinct domains: an amino-terminal EVH1 domain controlling protein localization, a central proline-rich domain mediating interactions with SH3 and WW domain-containing proteins, including profilin, and a carboxy-terminal domain that promotes tetramerization and actin-binding (2). Mena (also known as ENAH or Protein enabled homolog) interacts with actin filaments at the growing ends and is thus localized to lamellipodia and the tips of neuronal growth cone filopodia. Axons projecting from interhemispheric cortico-cortical neurons were shown to be misrouted in newborn, homozygous Mena knockout mice (3). Mena may be phosphorylated at Ser236 by PKA, a post-translational modification (PTM) that is reported to promote filopodial formation and elongation of the growth cone (4). Three forms of the Mena protein, with apparent molecular weights of 80, 88, and 140 kDa, have been described. The 80 kDa isoform is broadly expressed, whereas the 140 kDa isoform is reportedly enriched in neural cell types; these isoforms are generated by alternative splicing. The 88 kDa isoform is expressed primarily in embryonic cells and is likely the result of PTM of the 80 kDa isoform. Expression of all three forms is completely eliminated after homozygous deletion of ENAH, the gene encoding the Mena protein (1,3).

    Alternate Names

    ENA; enabled homolog; enabled homolog (Drosophila); ENAH; ENAH actin regulator; mammalian enabled variant 11a; mammalian enabled variant pan; MENA; NDPP1; Protein enabled homolog

    For Research Use Only. Not for Use in Diagnostic Procedures.
    Cell Signaling Technology is a trademark of Cell Signaling Technology, Inc.
    All other trademarks are the property of their respective owners. Visit our Trademark Information page.