Cell Signaling Technology Logo - Extra Large
Trial Size Available Flag
Recombinant Flag
Recombinant: Superior lot-to-lot consistency, continuous supply, and animal-free manufacturing.

Mer (D8W8T) Rabbit Monoclonal Antibody #38102

Filter:
  • WB

    Product Specifications

    REACTIVITY M R
    SENSITIVITY Endogenous
    MW (kDa) 175
    Source/Isotype Rabbit IgG
    Application Key:
    • WB-Western Blotting 
    Species Cross-Reactivity Key:
    • M-Mouse 
    • R-Rat 

    Product Information

    Product Usage Information

    Application Dilution
    Western Blotting 1:1000

    Storage

    Supplied in 10 mM sodium HEPES (pH 7.5), 150 mM NaCl, 100 µg/ml BSA, 50% glycerol and less than 0.02% sodium azide. Store at –20°C. Do not aliquot the antibody.

    Protocol

    Specificity / Sensitivity

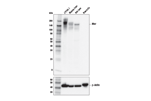
    Mer (D8W8T) Rabbit Monoclonal Antibody recognizes endogenous levels of total mouse and rat Mer protein.

    Species Reactivity:

    Mouse, Rat

    Source / Purification

    Monoclonal antibody is produced by immunizing animals with recombinant protein specific to the amino terminus of mouse Mer protein.

    Background

    Mer tyrosine kinase belongs to a receptor tyrosine kinase family with Axl and Tyro3. This family is characterized by a common NCAM (neural adhesion molecule)-related extracellular domain and a common ligand, GAS6 (growth arrest specific protein 6). Mer protein has an apparent molecular weight of 170-210 kDa due to different glycosylation patterns generated in different cell types. Mer can be activated by dimerization and autophosphorylation through ligand binding or homophilic cell-cell interaction mediated by its NCAM-like motif (1). The downstream signaling components of activated Mer include PI3 kinase, PLCγ, and MAP kinase (2). Family members are prone to transcriptional regulation and carry out diverse functions, including the regulation of cell adhesion, migration, phagocytosis, and survival (3). Mer regulates macrophage activation, promotes apoptotic cell engulfment, and supports platelet aggregation and clot stability in vivo (4). Investigators have found that overexpression of Mer may play a cooperative role in leukemogenesis and may be an effective target for biologically based leukemia/lymphoma therapy (5).

    Alternate Names

    c-mer proto-oncogene tyrosine kinase; Eyk; Mer; MER proto-oncogene tyrosine kinase; Mertk; nmf1; nmf12; Nyk; OTTMUSP00000016359; Proto-oncogene c-Mer; proto-oncogene tyrosine-protein kinase Mer; Receptor tyrosine kinase MerTK; Tyro 12; Tyrosine-protein kinase Mer

    For Research Use Only. Not for Use in Diagnostic Procedures.
    Cell Signaling Technology is a trademark of Cell Signaling Technology, Inc.
    All other trademarks are the property of their respective owners. Visit our Trademark Information page.