MetAP2 Antibody #11833
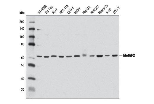
- WB
Inquiry Info. # 11833
Please see our recommended alternatives.
Product Specifications
| REACTIVITY | H M R Mk |
| SENSITIVITY | Endogenous |
| MW (kDa) | 63 |
| SOURCE | Rabbit |
Application Key:
- WB-Western Blotting
Species Cross-Reactivity Key:
- H-Human
- M-Mouse
- R-Rat
- Mk-Monkey
Product Information
Product Usage Information
| Application | Dilution |
|---|---|
| Western Blotting | 1:1000 |
Storage
Protocol
Specificity / Sensitivity
Species Reactivity:
The antigen sequence used to produce this antibody shares 100% sequence homology with the species listed here, but reactivity has not been tested or confirmed to work by CST. Use of this product with these species is not covered under our Product Performance Guarantee.
Species predicted to react based on 100% sequence homology:
Source / Purification
Background
MetAP2 knockout mice show embryonic lethality, suggesting its role in embryonic development and survival at the initiation of gastrulation (7). It is likely that lowering the levels of MetAP2 in mammalian cells causes cell growth inhibition and leads to apoptosis due to the high levels of eIF2α phosphorylation that inhibits global protein synthesis (8). During pathological or various stress conditions, MetAP2 dissociates from eIF2 subunits possibly due to its deglycosylation-induced autoproteolytic cleavage. As a result, eIF2α becomes hyperphosphorylated and global protein synthesis is inhibited. eIF2 complex-dissociated MetAP2 also displays a higher affinity toward Erk1/2, which results in the blockade of Erk1/2 activity. Thus, MetAP2 mediates cooperation between cell signaling and protein synthesis machinery to regulate cell growth and proliferation during physiological and pathological conditions (9). Research studies have shown higher expression of MetAP2 in human cancers, supporting the contention that MetAP2 plays a role in oncogenesis. For example, investigators have reported high MetAP2 expression in follicular lymphomas, large B-cell lymphomas, and Burkitt's lymphomas (10). Elevated expression of MetAP2 has also been reported in human colorectal adenocarcinomas (11).
- Datta, B. (2000) Biochimie 82, 95-107.
- Datta, B. et al. (2004) Arch Biochem Biophys 427, 68-78.
- Datta, B. et al. (2004) Biochemistry 43, 14821-31.
- Datta, B. et al. (2005) Exp Cell Res 303, 174-82.
- Bradshaw, R.A. and Yi, E. (2002) Essays Biochem 38, 65-78.
- Datta, B. et al. (1999) Exp Cell Res 250, 223-30.
- Yeh, J.R. et al. (2006) Proc Natl Acad Sci U S A 103, 10379-84.
- Datta, B. and Datta, R. (1999) Exp Cell Res 246, 376-83.
- Ghosh, A. et al. (2006) Exp Cell Res 312, 3184-203.
- Kanno, T. et al. (2002) Lab Invest 82, 893-901.
- Selvakumar, P. et al. (2004) Clin Cancer Res 10, 2771-5.
Alternate Names
AMPM2; eIF-2-associated p67 homolog; Initiation factor 2-associated 67 kDa glycoprotein; MAP 2; MAP2; MetAP 2; METAP2; Methionine aminopeptidase 2; methionyl aminopeptidase 2; MNPEP; p67; P67EIF2; Peptidase M; Peptidase M 2; testicular tissue protein Li 17
Limited Uses
Except as otherwise expressly agreed in a writing signed by a legally authorized representative of CST, the following terms apply to Products provided by CST, its affiliates or its distributors. Any Customer's terms and conditions that are in addition to, or different from, those contained herein, unless separately accepted in writing by a legally authorized representative of CST, are rejected and are of no force or effect.
Products are labeled with For Research Use Only or a similar labeling statement and have not been approved, cleared, or licensed by the FDA or other regulatory foreign or domestic entity, for any purpose. Customer shall not use any Product for any diagnostic or therapeutic purpose, or otherwise in any manner that conflicts with its labeling statement. Products sold or licensed by CST are provided for Customer as the end-user and solely for research and development uses. Any use of Product for diagnostic, prophylactic or therapeutic purposes, or any purchase of Product for resale (alone or as a component) or other commercial purpose, requires a separate license from CST. Customer shall (a) not sell, license, loan, donate or otherwise transfer or make available any Product to any third party, whether alone or in combination with other materials, or use the Products to manufacture any commercial products, (b) not copy, modify, reverse engineer, decompile, disassemble or otherwise attempt to discover the underlying structure or technology of the Products, or use the Products for the purpose of developing any products or services that would compete with CST products or services, (c) not alter or remove from the Products any trademarks, trade names, logos, patent or copyright notices or markings, (d) use the Products solely in accordance with CST Product Terms of Sale and any applicable documentation, and (e) comply with any license, terms of service or similar agreement with respect to any third party products or services used by Customer in connection with the Products.