Cell Signaling Technology Logo - Extra Large
Trial Size Available Flag
Recombinant Flag
Recombinant: Superior lot-to-lot consistency, continuous supply, and animal-free manufacturing.

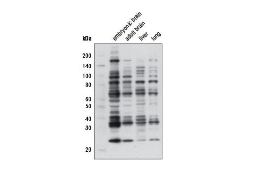
Mono-Methyl Arginine (R*GG) (D5A12) Rabbit Monoclonal Antibody #8711

Filter:
  • WB
  • IP

    Product Specifications

    REACTIVITY All
    SENSITIVITY Endogenous
    MW (kDa)
    Source/Isotype Rabbit
    Application Key:
    • WB-Western Blotting 
    • IP-Immunoprecipitation 
    Species Cross-Reactivity Key:
    • All-All Species Expected 

    Product Information

    Product Usage Information

    Application Dilution
    Western Blotting 1:1000
    Immunoprecipitation 1:50
    Peptide ELISA (DELFIA) 1:1000

    Storage

    Supplied in 10 mM sodium HEPES (pH 7.5), 150 mM NaCl, 100 µg/ml BSA, 50% glycerol and less than 0.02% sodium azide. Store at –20°C. Do not aliquot the antibody.

    Protocol

    Specificity / Sensitivity

    Mono-Methyl Arginine (R*GG) (D5A12) Rabbit Monoclonal Antibody recognizes endogenous levels of proteins only when mono-methylated at arginine. This antibody prefers Arg-Gly-Gly motifs. This antibody does not cross-react with di-methyl arginine or unmethylated arginine.

    Species Reactivity:

    All Species Expected

    Source / Purification

    Monoclonal antibody is produced by immunizing animals with a synthetic mono-methyl arginine peptide library containing R*GG motifs.

    Background

    Arginine methylation is a prevalent PTM found on both nuclear and cytoplasmic proteins. Arginine methylated proteins are involved in many different cellular processes, including transcriptional regulation, signal transduction, RNA metabolism, and DNA damage repair (1-3). Arginine methylation is carried out by the arginine N-methyltransferase (PRMT) family of enzymes that catalyze the transfer of a methyl group from S-adenosylmethionine (AdoMet) to a guanidine nitrogen of arginine (4). There are three different types of arginine methylation: asymmetric dimethylarginine (aDMA, omega-NG,NG-dimethylarginine), where two methyl groups are placed on one of the terminal nitrogen atoms of the guanidine group of arginine; symmetric dimethylarginine (sDMA, omega-NG,NG-dimethylarginine), where one methyl group is placed on each of the two terminal guanidine nitrogens of arginine; and monomethylarginine (MMA, omega-NG-methylarginine), where a single methyl group is placed on one of the terminal nitrogen atoms of arginine. Each of these modifications has potentially different functional consequences. Though all PRMT proteins catalyze the formation of MMA, Type I PRMTs (PRMT1, 3, 4, 6, and 8) add an additional methyl group to produce aDMA, while Type II PRMTs (PRMT5 and 7) produce sDMA. Methylated arginine residues often reside in glycine-arginine rich (GAR) protein domains, such as RGG, RG, and RXR repeats (5). However, PRMT4/CARM1 and PRMT5 methylate arginine residues within proline-glycine-methionine rich (PGM) motifs (6). t
    For Research Use Only. Not for Use in Diagnostic Procedures.
    Cell Signaling Technology is a trademark of Cell Signaling Technology, Inc.
    All other trademarks are the property of their respective owners. Visit our Trademark Information page.