Cell Signaling Technology Logo - Extra Large
Trial Size Available Flag
Recombinant Flag
Recombinant: Superior lot-to-lot consistency, continuous supply, and animal-free manufacturing.

MST2 (F4C3I) Rabbit Monoclonal Antibody #24663

Filter:
  • WB
  • IP

    Product Specifications

    REACTIVITY H M R Mk
    SENSITIVITY Endogenous
    MW (kDa) 60
    Source/Isotype Rabbit IgG
    Application Key:
    • WB-Western Blotting 
    • IP-Immunoprecipitation 
    Species Cross-Reactivity Key:
    • H-Human 
    • M-Mouse 
    • R-Rat 
    • Mk-Monkey 

    Product Information

    Product Usage Information

    Application Dilution
    Western Blotting 1:1000
    Immunoprecipitation 1:50

    Storage

    Supplied in 10 mM sodium HEPES (pH 7.5), 150 mM NaCl, 100 µg/mL BSA, 50% glycerol, and less than 0.02% sodium azide. Store at –20°C. Do not aliquot the antibody.

    Protocol

    Specificity / Sensitivity

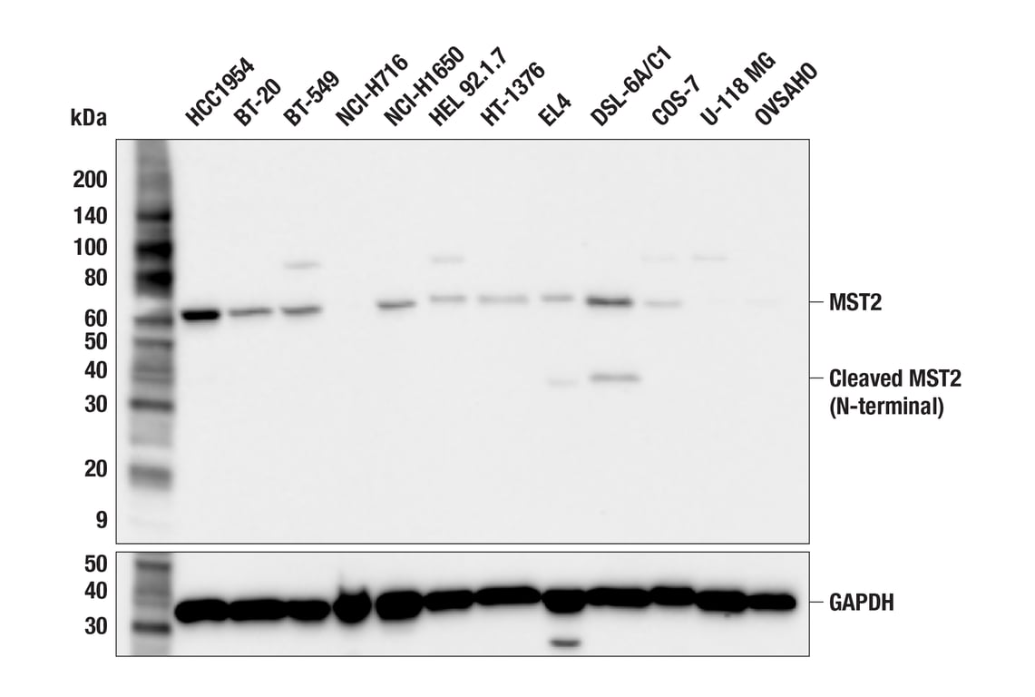
    MST2 (F4C3I) Rabbit Monoclonal Antibody recognizes endogenous levels of total MST2 protein. This antibody does not cross-react with MST1 and, based on homology, is not predicted to cross-react with MST3 or MST4. This antibody detects a 90 kDa protein of unknown identity in some cell lines. By dot blot, this antibody strongly prefers the N-acetylated peptide at the Met1 position of MST2 protein.

    Species Reactivity:

    Human, Mouse, Rat, Monkey

    Source / Purification

    Monoclonal antibody is produced by immunizing animals with a synthetic peptide corresponding to residues near the amino terminus of human MST2 protein.

    Background

    Mammalian sterile-20-like (MST) kinases are upstream regulators of mitogen-activated protein kinase (MAPK) signaling pathways that regulate multiple cellular processes, including proliferation, apoptosis, migration, and cytoskeletal rearrangement (1). This family of serine/threonine kinases includes MST1 (STK4) and MST2 (STK3), two functionally related proteins with conserved amino-terminal kinase domains and carboxy-terminal regulatory domains that contain nuclear export signals (1-3). During apoptosis, caspase-mediated cleavage of MST1/2 removes the inhibitory regulatory domain, triggering autophosphorylation and activation of the kinase domain, which is translocated to the nucleus. Nuclear translocation of the active kinase induces chromatin condensation and other events associated with apoptotic progression (4).

    Research studies indicate that MST1/2 are orthologous to Drosophila Hippo (Hpo), one of the core regulatory proteins in the Hippo signaling pathway. This evolutionarily conserved program controls tissue growth and organ size by regulating cell proliferation, apoptosis, and stem cell self-renewal. The mammalian Hippo signaling pathway involves a kinase cascade, where the MST1/2 kinases and the SAV1 scaffold protein form a complex that leads to phosphorylation and activation of LATS1/2. The LATS1/2 kinases phosphorylate YAP and TAZ, promoting cytoplasmic sequestration and inhibition of these transcription coactivators (5).

    Alternate Names

    epididymis secretory sperm binding protein; FLJ90748; hippo homolog; KB-1458E12.1; KRS1; Mammalian STE20-like protein kinase 2; MST-2; MST2; MST2/C; MST2/N; serine/threonine kinase 3; serine/threonine kinase 3 (STE20 homolog, yeast); serine/threonine kinase 3 (Ste20, yeast homolog); Serine/threonine-protein kinase 3; Serine/threonine-protein kinase 3 20kDa subunit; Serine/threonine-protein kinase 3 36kDa subunit; Serine/threonine-protein kinase Krs-1; STE20-like kinase MST2; STK3

    For Research Use Only. Not for Use in Diagnostic Procedures.
    Cell Signaling Technology is a trademark of Cell Signaling Technology, Inc.
    All other trademarks are the property of their respective owners. Visit our Trademark Information page.