MUC1-C (D5K9I) Rabbit Monoclonal Antibody (BSA and Azide Free) #50160
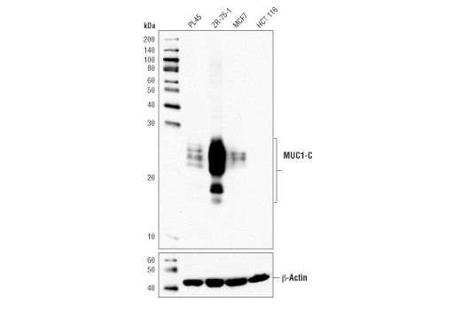
- WB
- IHC
- IF
Product Specifications
| REACTIVITY | H |
| SENSITIVITY | Endogenous |
| MW (kDa) | 25 |
| Source/Isotype | Rabbit IgG |
Application Key:
- WB-Western Blotting
- IHC-Immunohistochemistry
- IF-Immunofluorescence
Species Cross-Reactivity Key:
- H-Human
Product Information
Product Usage Information
This formulation is ideal for use with technologies requiring specialized or custom antibody labeling, including fluorophores, metals, lanthanides, and oligonucleotides. It is not recommended for ChIP, ChIP-seq, CUT&RUN or CUT&Tag assays. If you require a carrier free formulation for chromatin profiling, please contact us. Optimal dilutions/concentrations should be determined by the end user.
BSA and Azide Free antibodies are quality control tested by size exclusion chromatography (SEC) to determine antibody integrity.
Formulation
For standard formulation of this product see product #16564
Storage
Specificity / Sensitivity
Species Reactivity:
Source / Purification
Background
MUC1-C is the carboxy-terminal transmembrane subunit of MUC1 resulting from proteolytic cleavage of the full length protein. MUC1-N is the amino-terminal subunit, which can be tethered to MUC1-C, or released from the plasma membrane. MUC1-C interacts with receptor tyrosine kinases, β-catenin and other signaling proteins, and is thought to induce activation of MAPK, Akt and Wnt pathways. Due to its signaling functions and expression in human cancer, MUC1-C is a potential therapeutic target (reviewed in 9).
- Baldus, S.E. et al. (2004) Crit Rev Clin Lab Sci 41, 189-231.
- Schroeder, J.A. et al. (2001) J Biol Chem 276, 13057-64.
- Li, Y. et al. (1998) Mol Cell Biol 18, 7216-24.
- Li, Y. et al. (2001) J Biol Chem 276, 6061-4.
- Ren, J. et al. (2002) J Biol Chem 277, 17616-22.
- Schroeder, J.A. et al. (2004) Oncogene 23, 5739-47.
- Raina, D. et al. (2004) J Biol Chem 279, 20607-12.
- Wei, X. et al. (2005) Cancer Cell 7, 167-78.
- Kufe, D.W. (2013) Oncogene 32, 1073-81.
Alternate Names
ADMCKD; ADMCKD1; Breast carcinoma-associated antigen DF3; CA 15-3; Cancer antigen 15-3; Carcinoma-associated mucin; CD227; DF3 antigen; EMA; Episialin; H23 antigen; H23AG; KL-6; Krebs von den Lungen-6; MAM6; MCD; MCKD; MCKD1; MUC-1; MUC-1/SEC; MUC-1/X; MUC1; MUC1-alpha; MUC1-beta; MUC1-CT; MUC1-NT; MUC1/ZD; mucin 1, cell surface associated; mucin 1, transmembrane; Mucin-1; Mucin-1 subunit alpha; Mucin-1 subunit beta; Peanut-reactive urinary mucin; PEM; PEMT; Polymorphic epithelial mucin; PUM; tumor associated epithelial mucin; Tumor-associated epithelial membrane antigen; Tumor-associated mucin
Limited Uses
Except as otherwise expressly agreed in a writing signed by a legally authorized representative of CST, the following terms apply to Products provided by CST, its affiliates or its distributors. Any Customer's terms and conditions that are in addition to, or different from, those contained herein, unless separately accepted in writing by a legally authorized representative of CST, are rejected and are of no force or effect.
Products are labeled with For Research Use Only or a similar labeling statement and have not been approved, cleared, or licensed by the FDA or other regulatory foreign or domestic entity, for any purpose. Customer shall not use any Product for any diagnostic or therapeutic purpose, or otherwise in any manner that conflicts with its labeling statement. Products sold or licensed by CST are provided for Customer as the end-user and solely for research and development uses. Any use of Product for diagnostic, prophylactic or therapeutic purposes, or any purchase of Product for resale (alone or as a component) or other commercial purpose, requires a separate license from CST. Customer shall (a) not sell, license, loan, donate or otherwise transfer or make available any Product to any third party, whether alone or in combination with other materials, or use the Products to manufacture any commercial products, (b) not copy, modify, reverse engineer, decompile, disassemble or otherwise attempt to discover the underlying structure or technology of the Products, or use the Products for the purpose of developing any products or services that would compete with CST products or services, (c) not alter or remove from the Products any trademarks, trade names, logos, patent or copyright notices or markings, (d) use the Products solely in accordance with CST Product Terms of Sale and any applicable documentation, and (e) comply with any license, terms of service or similar agreement with respect to any third party products or services used by Customer in connection with the Products.