Render Target: STATIC
Render Timestamp:
5/20/2026, 6:11:10 AM EDT
5/20/2026, 10:11:10 AM UTC
Commit: 7ed46ecc04b401f23a28df741b5078df405d23e4
XML generation date: 2025-11-12 16:15:53.479
Product last modified at: 2026-03-20T08:02:54.242Z
Cell Signaling Technology Logo - Extra Large
1% for the planet logo
PDP - Template Name: Monoclonal Antibody
PDP - Template ID: *******c5e4b77
Recombinant Flag
Recombinant: Superior lot-to-lot consistency, continuous supply, and animal-free manufacturing.

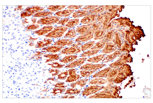
MUC5AC (E9V1O) Rabbit Monoclonal Antibody (BSA and Azide Free) #57834

Filter:
  • IHC
  • IF

    Product Specifications

    REACTIVITY M
    SENSITIVITY Endogenous
    MW (kDa)
    Source/Isotype Rabbit IgG
    Application Key:
    • IHC-Immunohistochemistry 
    • IF-Immunofluorescence 
    Species Cross-Reactivity Key:
    • M-Mouse 

    Product Information

    Product Usage Information

    This product is the carrier free version of product #36623. All data were generated using the same antibody clone in the standard formulation which contains BSA and glycerol.

    This formulation is ideal for use with technologies requiring specialized or custom antibody labeling, including fluorophores, metals, lanthanides, and oligonucleotides. It is not recommended for ChIP, ChIP-seq, CUT&RUN or CUT&Tag assays. If you require a carrier free formulation for chromatin profiling, please contact us. Optimal dilutions/concentrations should be determined by the end user.

    BSA and Azide Free antibodies are quality control tested by size exclusion chromatography (SEC) to determine antibody integrity.

    Formulation

    Supplied in 1X PBS (10 mM Na2HPO4, 3 mM KCl, 2 mM KH2PO4, and 140 mM NaCl (pH 7.8)). BSA and Azide Free.

    For standard formulation of this product see product #36623

    Storage

    Store at -20°C. This product will freeze at -20°C so it is recommended to aliquot into single-use vials to avoid multiple freeze/thaw cycles. A slight precipitate may be present and can be dissolved by gently vortexing. This will not interfere with antibody performance.

    Specificity / Sensitivity

    MUC5AC (E9V1O) Rabbit Monoclonal Antibody (BSA and Azide Free) recognizes endogenous levels of total MUC5AC protein.

    Species Reactivity:

    Mouse

    Source / Purification

    Monoclonal antibody is produced by immunizing animals with a synthetic peptide corresponding to residues surrounding Cys317 of murine MUC5AC protein.

    Background

    Mucins are a family of macromolecules that line and protect the respiratory epithelium from microbes and pollutants in the local environment. Of the family members that are known to date, some are produced in a cell type and tissue-specific manner, suggesting distinct biological roles for members. Some members polymerize after secretion to form gel-like substances that coat the epithelial layer. MUC5AC and MUC5B are members of the family that polymerize in this manner. Others do not polymerize, and others yet, have a transmembrane domain and remain physically attached to the epithelia (1). While it is known that mucins are protective to the respiratory epithelium, it has been reported that changes in expression of mucins are associated with several forms of lung disease such as cystic fibrosis, COPD, asthma, pulmonary fibrosis, and others (1-4). Multiple epithelial malignancies have been described to show changes in expression, localization, and glycosylation of MUC5AC. This wide association with multiple malignancy types has led to the emergence of MUC5AC as both a prognostic and therapeutic target for cancer (5).

    Alternate Names

    2210005L13Rik; gastric mucin; MGM; Muc5ac; Mucin 5, subtypes A and C, tracheobronchial/gastric; mucin-5AC; Secreted gel-forming mucin

    For Research Use Only. Not for Use in Diagnostic Procedures.
    Cell Signaling Technology is a trademark of Cell Signaling Technology, Inc.
    All other trademarks are the property of their respective owners. Visit our Trademark Information page.