Render Target: STATIC
Render Timestamp:
5/26/2026, 6:08:44 AM EDT
5/26/2026, 10:08:44 AM UTC
Commit: 7ed46ecc04b401f23a28df741b5078df405d23e4
XML generation date: 2025-11-12 16:21:03.284
Product last modified at: 2026-03-20T08:03:31.932Z
Cell Signaling Technology Logo - Extra Large
1% for the planet logo
PDP - Template Name: Monoclonal Antibody
PDP - Template ID: *******c5e4b77
Recombinant Flag
Recombinant: Superior lot-to-lot consistency, continuous supply, and animal-free manufacturing.

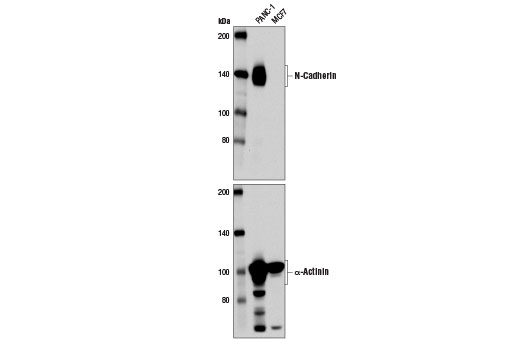
N-Cadherin (13A9) Mouse Monoclonal Antibody (BSA and Azide Free) #58103

Filter:
  • WB
  • IHC
  • IF

    Product Specifications

    REACTIVITY H M R Mk
    SENSITIVITY Endogenous
    MW (kDa) 140
    Source/Isotype Mouse IgG1
    Application Key:
    • WB-Western Blotting 
    • IHC-Immunohistochemistry 
    • IF-Immunofluorescence 
    Species Cross-Reactivity Key:
    • H-Human 
    • M-Mouse 
    • R-Rat 
    • Mk-Monkey 

    Product Information

    Product Usage Information

    This product is the carrier free version of product #14215. All data were generated using the same antibody clone in the standard formulation which contains BSA and glycerol.

    This formulation is ideal for use with technologies requiring specialized or custom antibody labeling, including fluorophores, metals, lanthanides, and oligonucleotides. It is not recommended for ChIP, ChIP-seq, CUT&RUN or CUT&Tag assays. If you require a carrier free formulation for chromatin profiling, please contact us. Optimal dilutions/concentrations should be determined by the end user.

    BSA and Azide Free antibodies are quality control tested by size exclusion chromatography (SEC) to determine antibody integrity.

    Formulation

    Supplied in 1X PBS (10 mM Na2HPO4, 3 mM KCl, 2 mM KH2PO4, and 140 mM NaCl (pH 7.8)). BSA and Azide Free.

    For standard formulation of this product see product #14215

    Storage

    Store at -20°C. This product will freeze at -20°C so it is recommended to aliquot into single-use vials to avoid multiple freeze/thaw cycles. A slight precipitate may be present and can be dissolved by gently vortexing. This will not interfere with antibody performance.

    Specificity / Sensitivity

    N-Cadherin (13A9) Mouse Monoclonal Antibody (BSA and Azide Free) recognizes endogenous levels of total N-cadherin protein. This antibody does not cross-react with other cadherin proteins.

    Species Reactivity:

    Human, Mouse, Rat, Monkey

    Source / Purification

    Monoclonal antibody is produced by immunizing animals with MBP-tagged recombinant protein specific to the cytoplasmic domains of human N-cadherin protein.

    Background

    Cadherins are a superfamily of transmembrane glycoproteins that contain cadherin repeats of approximately 100 residues in their extracellular domain. Cadherins mediate calcium-dependent cell-cell adhesion and play critical roles in normal tissue development (1). The classic cadherin subfamily includes N-, P-, R-, B-, and E-cadherins, as well as about ten other members that are found in adherens junctions, a cellular structure near the apical surface of polarized epithelial cells. The cytoplasmic domain of classical cadherins interacts with β-catenin, γ-catenin (also called plakoglobin), and p120 catenin. β-catenin and γ-catenin associate with α-catenin, which links the cadherin-catenin complex to the actin cytoskeleton (1,2). While β- and γ-catenin play structural roles in the junctional complex, p120 regulates cadherin adhesive activity and trafficking (1-4). Investigators consider E-cadherin an active suppressor of invasion and growth of many epithelial cancers (1-3). Research studies indicate that cancer cells have upregulated N-cadherin in addition to loss of E-cadherin. This change in cadherin expression is called the "cadherin switch." N-cadherin cooperates with the FGF receptor, leading to overexpression of MMP-9 and cellular invasion (3). Research studies have shown that in endothelial cells, VE-cadherin signaling, expression, and localization correlate with vascular permeability and tumor angiogenesis (5,6). Investigators have also demonstrated that expression of P-cadherin, which is normally present in epithelial cells, is also altered in ovarian and other human cancers (7,8).

    Alternate Names

    ACOGS; ARVD14; CADH2; cadherin 2; cadherin 2, N-cadherin (neuronal); cadherin 2, type 1, N-cadherin (neuronal); Cadherin-2; calcium-dependent adhesion protein, neuronal; CD325; CDH2; CDHN; CDw325; N Cadherin; N-cadherin; N-cadherin 1; NCAD; Neural cadherin; neural-cadherin

    For Research Use Only. Not for Use in Diagnostic Procedures.
    Cell Signaling Technology is a trademark of Cell Signaling Technology, Inc.
    All other trademarks are the property of their respective owners. Visit our Trademark Information page.