Cell Signaling Technology Logo - Extra Large
Recombinant Flag
Recombinant: Superior lot-to-lot consistency, continuous supply, and animal-free manufacturing.

Na,K-ATPase alpha1 (D4Y7E) Rabbit Monoclonal Antibody (BSA and Azide Free) #99935

Filter:
  • WB
  • IHC
  • IF

    Product Specifications

    REACTIVITY H Mk
    SENSITIVITY Endogenous
    MW (kDa) 100
    Source/Isotype Rabbit IgG
    Application Key:
    • WB-Western Blotting 
    • IHC-Immunohistochemistry 
    • IF-Immunofluorescence 
    Species Cross-Reactivity Key:
    • H-Human 
    • Mk-Monkey 

    Product Information

    Product Usage Information

    This product is the carrier free version of product #23565. All data were generated using the same antibody clone in the standard formulation which contains BSA and glycerol.

    This formulation is ideal for use with technologies requiring specialized or custom antibody labeling, including fluorophores, metals, lanthanides, and oligonucleotides. It is not recommended for ChIP, ChIP-seq, CUT&RUN or CUT&Tag assays. If you require a carrier free formulation for chromatin profiling, please contact us. Optimal dilutions/concentrations should be determined by the end user.

    BSA and Azide Free antibodies are quality control tested by size exclusion chromatography (SEC) to determine antibody integrity.

    Formulation

    Supplied in 1X PBS (10 mM Na2HPO4, 3 mM KCl, 2 mM KH2PO4, and 140 mM NaCl (pH 7.8)). BSA and Azide Free.

    For standard formulation of this product see product #23565

    Storage

    Store at -20°C. This product will freeze at -20°C so it is recommended to aliquot into single-use vials to avoid multiple freeze/thaw cycles. A slight precipitate may be present and can be dissolved by gently vortexing. This will not interfere with antibody performance.

    Specificity / Sensitivity

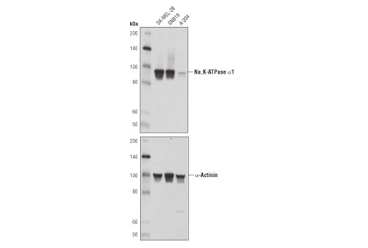
    Na,K-ATPase alpha1 (D4Y7E) Rabbit Monoclonal Antibody (BSA and Azide Free) recognizes endogenous levels of total Na,K-ATPase α1 protein.

    Species Reactivity:

    Human, Monkey

    Source / Purification

    Monoclonal antibody is produced by immunizing animals with a synthetic peptide corresponding to residues surrounding Pro12 of human Na,K-ATPase α1 protein.

    Background

    The Na,K-ATPase is an integral membrane heterodimer belonging to the P-type ATPase family. This ion channel uses the energy derived from ATP hydrolysis to maintain membrane potential by driving sodium export and potassium import across the plasma membrane against their electrochemical gradients. It is composed of a catalytic α subunit and a β subunit (reviewed in 1). Several phosphorylation sites have been identified for the α1 subunit. Tyr10 is phosphorylated by an as yet undetermined kinase (2), Ser16 and Ser23 are phosphorylated by PKC, and Ser943 is phosphorylated by PKA (3-5). All of these sites have been implicated in the regulation of enzyme activity in response to hormones and neurotransmitters, altering trafficking and kinetic properties of Na,K-ATPase. Altered phosphorylation in response to angiotensin II stimulates activity in the rat proximal tubule (6). Na,K-ATPase is also involved in other signal transduction pathways. Insulin regulates its localization in differentiated primary human skeletal muscle cells, and this regulation is dependent on ERK1/2 phosphorylation of the α subunit (7). Na,K-ATPase and Src form a signaling receptor complex that affects regulation of Src kinase activity and, subsequently, its downstream effectors (8,9).

    Alternate Names

    AT1A1; ATP1A1; ATPase Na+/K+ transporting subunit alpha 1; ATPase, Na+/K+ transporting, alpha 1 polypeptide; CMT2DD; HOMGSMR2; MGC3285; MGC51750; Na, K-ATPase, alpha-A catalytic polypeptide; Na,K-ATPase alpha-1 subunit; Na,K-ATPase catalytic subunit alpha-A protein; Na(+)/K(+) ATPase alpha-1 subunit; Na+, K+ ATPase alpha subunit; Na+/K+ ATPase 1; sodium pump 1; Sodium pump subunit alpha-1; sodium-potassium ATPase catalytic subunit alpha-1; sodium-potassium-ATPase, alpha 1 polypeptide; Sodium/potassium-transporting ATPase subunit alpha-1

    For Research Use Only. Not for Use in Diagnostic Procedures.
    Cell Signaling Technology is a trademark of Cell Signaling Technology, Inc.
    SignalStain is a registered trademark of Cell Signaling Technology, Inc.
    All other trademarks are the property of their respective owners. Visit our Trademark Information page.