Nav1.7 (D5L1J) Rabbit Monoclonal Antibody (BSA and Azide Free) #81929
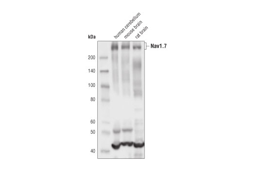
- WB
Product Specifications
| REACTIVITY | H M R |
| SENSITIVITY | Endogenous |
| MW (kDa) | 250 |
| Source/Isotype | Rabbit IgG |
Application Key:
- WB-Western Blotting
Species Cross-Reactivity Key:
- H-Human
- M-Mouse
- R-Rat
Product Information
Product Usage Information
This formulation is ideal for use with technologies requiring specialized or custom antibody labeling, including fluorophores, metals, lanthanides, and oligonucleotides. It is not recommended for ChIP, ChIP-seq, CUT&RUN or CUT&Tag assays. If you require a carrier free formulation for chromatin profiling, please contact us. Optimal dilutions/concentrations should be determined by the end user.
BSA and Azide Free antibodies are quality control tested by size exclusion chromatography (SEC) to determine antibody integrity.
Formulation
For standard formulation of this product see product #78889
Storage
Specificity / Sensitivity
Species Reactivity:
Source / Purification
Background
There are 9 mammalian alpha subunits, named Nav1.1-Nav1.9 (5). These alpha subunits differ in tissue specificity and biophysical functions (6,7). Seven of these subunits are essential for the initiation and propagation of action potentials in the central and peripheral nervous system while Nav1.4 and Nav1.5 are mainly expressed in skeletal muscle and cardiac muscle (8,9). Mutations in these alpha channel subunits have been identified in patients with epilepsy, seizure, ataxia, sensitivity to pain, and cardiomyopathy (reviewed in 10).
The Nav1.7 alpha subunit (Nav1.7, SCN9A) plays an important role in nociception signaling and is essential for acute, inflammatory, and neuropathic pain perception (11,12). Mutations in the corresponding SCN9A gene are associated with primary erythermalgia, autosomal recessive congenital indifference to pain, and paroxysmal extreme pain disorder (13-15). Mutations in SCN9A cause the GEFSP7 form of generalized epilepsy with febrile seizures, and are implicated in many cases of Dravet syndrome, a severe form of pediatric epileptic encephalopathy (16).
- Catterall, W.A. (2000) Neuron 26, 13-25.
- Yu, F.H. and Catterall, W.A. (2003) Genome Biol 4, 207.
- Isom, L.L. et al. (1994) Neuron 12, 1183-94.
- Yu, F.H. et al. (2003) J Neurosci 23, 7577-85.
- Goldin, A.L. et al. (2000) Neuron 28, 365-8.
- Plummer, N.W. and Meisler, M.H. (1999) Genomics 57, 323-31.
- Goldin, A.L. (2001) Annu Rev Physiol 63, 871-94.
- George, A.L. et al. (1992) Ann Neurol 31, 131-7.
- Ou, Y. et al. (2002) Neurogastroenterol Motil 14, 477-86.
- Meisler, M.H. and Kearney, J.A. (2005) J Clin Invest 115, 2010-7.
- Minett, M.S. et al. (2012) Nat Commun 3, 791.
- Minett, M.S. et al. (2014) PLoS One 9, e104458.
- Yang, Y. et al. (2004) J Med Genet 41, 171-4.
- Cox, J.J. et al. (2010) Hum Mutat 31, E1670-86.
- Fertleman, C.R. et al. (2006) Neuron 52, 767-74.
- Mulley, J.C. et al. (2013) Epilepsia 54, e122-6.
Alternate Names
ETHA; FEB3B; GEFSP7; hNE-Na; HSAN2D; Nav1.7; NE-NA; NENA; Neuroendocrine sodium channel; Peripheral sodium channel 1; PN1; SCN9A; SFNP; Sodium channel protein type 9 subunit alpha; Sodium channel protein type IX subunit alpha; sodium channel, voltage-gated, type IX, alpha polypeptide; sodium channel, voltage-gated, type IX, alpha subunit; sodium voltage-gated channel alpha subunit 9; voltage-gated sodium channel alpha subunit Nav1.7; Voltage-gated sodium channel subunit alpha Nav1.7
Limited Uses
Except as otherwise expressly agreed in a writing signed by a legally authorized representative of CST, the following terms apply to Products provided by CST, its affiliates or its distributors. Any Customer's terms and conditions that are in addition to, or different from, those contained herein, unless separately accepted in writing by a legally authorized representative of CST, are rejected and are of no force or effect.
Products are labeled with For Research Use Only or a similar labeling statement and have not been approved, cleared, or licensed by the FDA or other regulatory foreign or domestic entity, for any purpose. Customer shall not use any Product for any diagnostic or therapeutic purpose, or otherwise in any manner that conflicts with its labeling statement. Products sold or licensed by CST are provided for Customer as the end-user and solely for research and development uses. Any use of Product for diagnostic, prophylactic or therapeutic purposes, or any purchase of Product for resale (alone or as a component) or other commercial purpose, requires a separate license from CST. Customer shall (a) not sell, license, loan, donate or otherwise transfer or make available any Product to any third party, whether alone or in combination with other materials, or use the Products to manufacture any commercial products, (b) not copy, modify, reverse engineer, decompile, disassemble or otherwise attempt to discover the underlying structure or technology of the Products, or use the Products for the purpose of developing any products or services that would compete with CST products or services, (c) not alter or remove from the Products any trademarks, trade names, logos, patent or copyright notices or markings, (d) use the Products solely in accordance with CST Product Terms of Sale and any applicable documentation, and (e) comply with any license, terms of service or similar agreement with respect to any third party products or services used by Customer in connection with the Products.