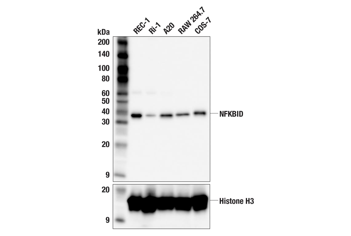
NFKBID (F8U2O) Rabbit Monoclonal Antibody #71044
- WB
Product Specifications
| REACTIVITY | H M Mk |
| SENSITIVITY | Endogenous |
| MW (kDa) | 35 |
| Source/Isotype | Rabbit IgG |
Application Key:
- WB-Western Blotting
Species Cross-Reactivity Key:
- H-Human
- M-Mouse
- Mk-Monkey
Product Information
Product Usage Information
| Application | Dilution |
|---|---|
| Western Blotting | 1:1000 |
Storage
Protocol
Specificity / Sensitivity
Species Reactivity:
Source / Purification
Background
Like other IκBs, NFKBID and other atypical IκBs contain ankyrin repeats in their structure and act to modulate the NF-κB pathway. However, unlike typical IκB proteins, they do not actively repress nuclear localization of NF-κB proteins (1-5). NFKBID can change NF-κB-mediated transcription in a few ways: regulation of dimer formation, recruitment of histone-modifying enzymes, or stabilization of NF-κB proteins binding to DNA (5).
NFKBID is the smallest member of the Bcl-3 subfamily (6). NFKBID has been shown to interact with several different NF-κB dimers in the nucleus and plays a role in regulatory T cell (Treg) development in the thymus (7). NFKBID is important for IL-2-mediated stimulation of CD4 and CD8 cells (8). Mice deficient for NFKBID or c-REL show similar defects in adaptive and innate immune cell function (9,10).
- Hövelmeyer, N. et al. (2022) J Mol Med (Berl) 100, 985-995.
- Hayden, M.S. and Ghosh, S. (2012) Genes Dev 26, 203-34.
- Ghosh, S. and Hayden, M.S. (2008) Nat Rev Immunol 8, 837-48.
- Mankan, A.K. et al. (2009) J Cell Mol Med 13, 631-43.
- Schuster, M. et al. (2013) Cell Commun Signal 11, 23.
- Fiorini, E. et al. (2002) Mol Cell 9, 637-48.
- Schuster, M. et al. (2012) Immunity 37, 998-1008.
- Touma, M. et al. (2007) J Immunol 179, 1681-92.
- Schuster, M. et al. (2019) Front Immunol 10, 1583.
- Schuster, M. et al. (2017) J Immunol 199, 920-930.
Alternate Names
I-kappa-B-delta; IkappaBdelta; IkappaBNS; IkB-delta; IKBD; IKBNS; MGC11314; MGC149503; NF-kappa-B inhibitor delta; NFKB inhibitor delta; NFKBID; nuclear factor of kappa light polypeptide gene enhancer in B-cells inhibitor, delta; Q8NI38; T-cell activation NFKB-like protein; TA-NFKBH
Limited Uses
Except as otherwise expressly agreed in a writing signed by a legally authorized representative of CST, the following terms apply to Products provided by CST, its affiliates or its distributors. Any Customer's terms and conditions that are in addition to, or different from, those contained herein, unless separately accepted in writing by a legally authorized representative of CST, are rejected and are of no force or effect.
Products are labeled with For Research Use Only or a similar labeling statement and have not been approved, cleared, or licensed by the FDA or other regulatory foreign or domestic entity, for any purpose. Customer shall not use any Product for any diagnostic or therapeutic purpose, or otherwise in any manner that conflicts with its labeling statement. Products sold or licensed by CST are provided for Customer as the end-user and solely for research and development uses. Any use of Product for diagnostic, prophylactic or therapeutic purposes, or any purchase of Product for resale (alone or as a component) or other commercial purpose, requires a separate license from CST. Customer shall (a) not sell, license, loan, donate or otherwise transfer or make available any Product to any third party, whether alone or in combination with other materials, or use the Products to manufacture any commercial products, (b) not copy, modify, reverse engineer, decompile, disassemble or otherwise attempt to discover the underlying structure or technology of the Products, or use the Products for the purpose of developing any products or services that would compete with CST products or services, (c) not alter or remove from the Products any trademarks, trade names, logos, patent or copyright notices or markings, (d) use the Products solely in accordance with CST Product Terms of Sale and any applicable documentation, and (e) comply with any license, terms of service or similar agreement with respect to any third party products or services used by Customer in connection with the Products.