Cell Signaling Technology Logo - Extra Large
Trial Size Available Flag
Recombinant Flag
Recombinant: Superior lot-to-lot consistency, continuous supply, and animal-free manufacturing.

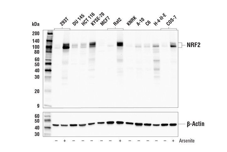
NRF2 (E3J1V) Rabbit Monoclonal Antibody #33649

Filter:
  • WB
  • IP

    Product Specifications

    REACTIVITY H R Mk
    SENSITIVITY Endogenous
    MW (kDa) 97-100
    Source/Isotype Rabbit IgG
    Application Key:
    • WB-Western Blotting 
    • IP-Immunoprecipitation 
    Species Cross-Reactivity Key:
    • H-Human 
    • R-Rat 
    • Mk-Monkey 

    Product Information

    Product Usage Information

    Application Dilution
    Western Blotting 1:1000
    Immunoprecipitation 1:50

    Storage

    Supplied in 10 mM sodium HEPES (pH 7.5), 150 mM NaCl, 100 µg/ml BSA, 50% glycerol and less than 0.02% sodium azide. Store at –20°C. Do not aliquot the antibody.

    For a carrier free (BSA and azide free) version of this product see product #61812.

    Protocol

    Specificity / Sensitivity

    NRF2 (E3J1V) Rabbit Monoclonal Antibody recognizes endogenous levels of total NRF2 protein. In addition to NRF2, this antibody detects a non-specific band around 100 kDa in some mouse cell lines and tissues. Use NRF2 (E5F1A) Rabbit Monoclonal Antibody #20733 for Western blot on mouse samples.

    Species Reactivity:

    Human, Rat, Monkey

    Source / Purification

    Monoclonal antibody is produced by immunizing animals with a synthetic peptide corresponding to residues surrounding Phe441 of human NRF2 protein.

    Background

    The nuclear factor-like 2 (NRF2) transcriptional activator binds antioxidant response elements (ARE) of target gene promoter regions to regulate expression of oxidative stress response genes. Under basal conditions, the NRF2 inhibitor INrf2 (also called KEAP1) binds and retains NRF2 in the cytoplasm where it can be targeted for ubiquitin-mediated degradation (1). Small amounts of constitutive nuclear NRF2 maintain cellular homeostasis through regulation of basal expression of antioxidant response genes. Following oxidative or electrophilic stress, KEAP1 releases NRF2, thereby allowing the activator to translocate to the nucleus and bind to ARE-containing genes (2). The coordinated action of NRF2 and other transcription factors mediates the response to oxidative stress (3). Altered expression of NRF2 is associated with chronic obstructive pulmonary disease (COPD) (4). NRF2 activity in lung cancer cell lines directly correlates with cell proliferation rates, and inhibition of NRF2 expression by siRNA enhances anti-cancer drug-induced apoptosis (5).

    Alternate Names

    HEBP1; IMDDHH; NF-E2-related factor 2; NF2L2; NFE2-related factor 2; NFE2L2; Nrf-2; NRF2; nuclear factor (erythroid-derived 2)-like 2; Nuclear factor erythroid 2-related factor 2; nuclear factor erythroid-derived 2-like 2; nuclear factor, erythroid 2 like 2; Nuclear factor, erythroid derived 2, like 2

    For Research Use Only. Not for Use in Diagnostic Procedures.
    Cell Signaling Technology is a trademark of Cell Signaling Technology, Inc.
    All other trademarks are the property of their respective owners. Visit our Trademark Information page.