Cell Signaling Technology Logo - Extra Large
Recombinant Flag
Recombinant: Superior lot-to-lot consistency, continuous supply, and animal-free manufacturing.

p38 MAPK (D13E1) Rabbit Monoclonal Antibody (BSA and Azide Free) #54470

Filter:
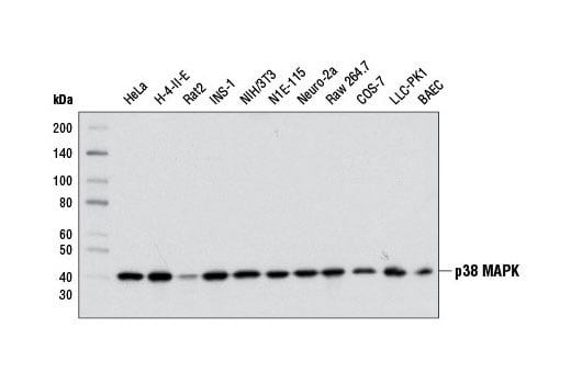
  • WB
  • IHC
  • IF
  • F
  • ELISA+

    Product Specifications

    REACTIVITY H M R Hm Mk B Pg
    SENSITIVITY Endogenous
    MW (kDa) 40
    Source/Isotype Rabbit IgG
    Application Key:
    • WB-Western Blotting 
    • IHC-Immunohistochemistry 
    • IF-Immunofluorescence 
    • F-Flow Cytometry 
    • ELISA+-ELISA and/or ELISA-like Assays 
    Species Cross-Reactivity Key:
    • H-Human 
    • M-Mouse 
    • R-Rat 
    • Hm-Hamster 
    • Mk-Monkey 
    • B-Bovine 
    • Pg-Pig 

    Product Information

    Product Usage Information

    This product is the carrier free version of product #8690. All data were generated using the same antibody clone in the standard formulation which contains BSA and glycerol.

    This formulation is ideal for use with technologies requiring specialized or custom antibody labeling, including fluorophores, metals, lanthanides, and oligonucleotides. It is not recommended for ChIP, ChIP-seq, CUT&RUN or CUT&Tag assays. If you require a carrier free formulation for chromatin profiling, please contact us. Optimal dilutions/concentrations should be determined by the end user.

    BSA and Azide Free antibodies are quality control tested by size exclusion chromatography (SEC) to determine antibody integrity.

    Formulation

    Supplied in 1X PBS (10 mM Na2HPO4, 3 mM KCl, 2 mM KH2PO4, and 140 mM NaCl (pH 7.8)). BSA and Azide Free.

    For standard formulation of this product see product #8690

    Storage

    Store at -20°C. This product will freeze at -20°C so it is recommended to aliquot into single-use vials to avoid multiple freeze/thaw cycles. A slight precipitate may be present and can be dissolved by gently vortexing. This will not interfere with antibody performance.

    Specificity / Sensitivity

    p38 MAPK (D13E1) Rabbit Monoclonal Antibody (BSA and Azide Free) recognizes endogenous levels of total p38α, β, or γ MAPK protein. This antibody does not recognize p38δ, SAPK/JNK, or p44/42 MAPK proteins.

    Species Reactivity:

    Human, Mouse, Rat, Hamster, Monkey, Bovine, Pig

    The antigen sequence used to produce this antibody shares 100% sequence homology with the species listed here, but reactivity has not been tested or confirmed to work by CST. Use of this product with these species is not covered under our Product Performance Guarantee.

    Species predicted to react based on 100% sequence homology:

    Chicken

    Source / Purification

    Monoclonal antibody is produced by immunizing animals with a synthetic peptide corresponding to residues near the carboxy terminus of human p38 protein.

    Background

    p38 MAP kinase (MAPK), also called RK (1) or CSBP (2), is the mammalian orthologue of the yeast HOG kinase that participates in a signaling cascade controlling cellular responses to cytokines and stress (1-4). Four isoforms of p38 MAPK, p38α, β, γ (also known as Erk6 or SAPK3), and δ (also known as SAPK4) have been identified. Similar to the SAPK/JNK pathway, p38 MAPK is activated by a variety of cellular stresses, including osmotic shock, inflammatory cytokines, lipopolysaccharide (LPS), UV light, and growth factors (1-5). MKK3, MKK6, and SEK activate p38 MAPK by phosphorylation at Thr180 and Tyr182. Activated p38 MAPK has been shown to phosphorylate and activate MAPKAP kinase 2 (3) and to phosphorylate the transcription factors ATF-2 (5), Max (6), and MEF2 (5-8). SB203580 (4-(4-fluorophenyl)-2-(4-methylsulfinylphenyl)-5-(4-pyridyl)-imidazole) is a selective inhibitor of p38 MAPK. This compound inhibits the activation of MAPKAPK-2 by p38 MAPK and subsequent phosphorylation of HSP27 (9). SB203580 inhibits p38 MAPK catalytic activity by binding to the ATP-binding pocket, but does not inhibit phosphorylation of p38 MAPK by upstream kinases (10).

    Alternate Names

    CSAID-binding protein; Csaids binding protein; CSBP; CSBP1; CSBP2; CSPB1; cytokine suppressive anti-inflammatory drug binding protein; Cytokine suppressive anti-inflammatory drug-binding protein; ERK-6; ERK3; ERK6; EXIP; Extracellular signal-regulated kinase 6; MAP kinase 11; MAP kinase 12; MAP kinase 14; MAP kinase MXI2; MAP kinase p38 alpha; MAP kinase p38 beta; MAP kinase p38 gamma; MAPK 11; MAPK 12; MAPK 14; MAPK11; MAPK12; MAPK14; MAX-interacting protein 2; Mitogen-activated protein kinase 11; Mitogen-activated protein kinase 12; Mitogen-activated protein kinase 14; mitogen-activated protein kinase 3; Mitogen-activated protein kinase p38 alpha; Mitogen-activated protein kinase p38 beta; Mitogen-activated protein kinase p38 gamma; mitogen-activated protein kinase p38-2; MK11; MK12; MK14; MXI2; p38; p38 MAP kinase; p38 mitogen activated protein kinase; p38-2; p38-alpha; P38A; p38ALPHA; p38alpha Exip; p38b; p38Beta; P38BETA2; P38G; P38GAMMA; PRKM11; PRKM12; PRKM14; PRKM15; RK; SAPK-3; SAPK2; SAPK2A; SAPK2B; SAPK3; Stress-activated protein kinase 2; stress-activated protein kinase 2A; Stress-activated protein kinase 2b; Stress-activated protein kinase 3; stress-activated protein kinase-2; stress-activated protein kinase-2b

    For Research Use Only. Not for Use in Diagnostic Procedures.
    Cell Signaling Technology is a trademark of Cell Signaling Technology, Inc.
    All other trademarks are the property of their respective owners. Visit our Trademark Information page.