Render Target: STATIC
Render Timestamp:
5/21/2026, 6:47:56 AM EDT
5/21/2026, 10:47:56 AM UTC
Commit: 7ed46ecc04b401f23a28df741b5078df405d23e4
XML generation date: 2026-02-06 17:51:39.804
Product last modified at: 2026-03-20T08:01:38.941Z
Cell Signaling Technology Logo - Extra Large
1% for the planet logo
PDP - Template Name: Monoclonal Antibody
PDP - Template ID: *******c5e4b77
Trial Size Available Flag

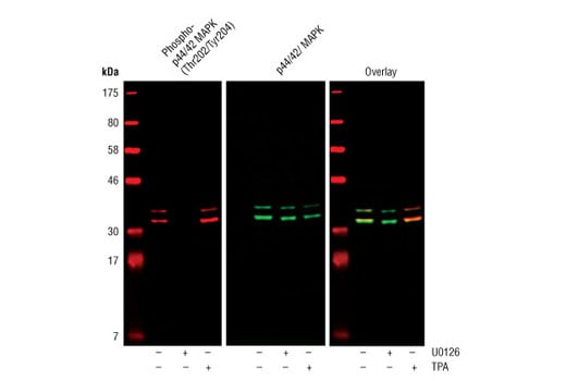
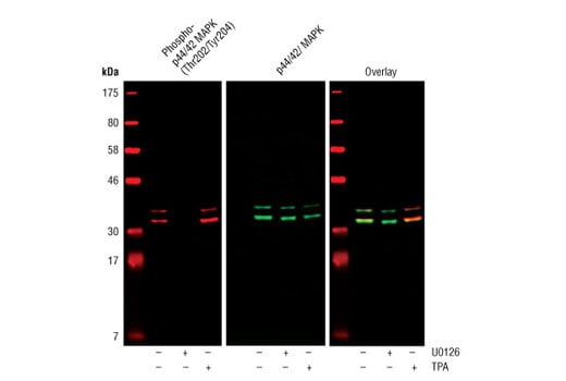
p44/42 MAPK (Erk1/2) (3A7) Mouse Monoclonal Antibody #9107

Filter:
  • WB

    Product Specifications

    REACTIVITY H M R Hm Mk Mi Z B Pg
    SENSITIVITY Endogenous
    MW (kDa) 42, 44
    Source/Isotype Mouse IgG1
    Application Key:
    • WB-Western Blotting 
    Species Cross-Reactivity Key:
    • H-Human 
    • M-Mouse 
    • R-Rat 
    • Hm-Hamster 
    • Mk-Monkey 
    • Mi-Mink 
    • Z-Zebrafish 
    • B-Bovine 
    • Pg-Pig 

    Product Information

    Product Usage Information

    Application Dilution
    Western Blotting 1:1000
    Simple Western™ 1:50 - 1:250

    Storage

    Supplied in 10 mM sodium HEPES (pH 7.5), 150 mM NaCl, 100 µg/ml BSA, 50% glycerol and less than 0.02% sodium azide. Store at –20°C. Do not aliquot the antibody.

    Protocol

    Specificity / Sensitivity

    p44/42 MAPK (Erk1/2) (3A7) Mouse Monoclonal Antibody detects endogenous levels of total p44/42 MAP kinase (Erk1/2). This antibody does not cross-react with either JNK/SAPK or p38 MAP kinase.

    Species Reactivity:

    Human, Mouse, Rat, Hamster, Monkey, Mink, Zebrafish, Bovine, Pig

    Source / Purification

    Monoclonal antibody is produced by immunizing animals with a synthetic peptide corresponding to the sequence of p44/42 MAP kinase.

    Background

    Mitogen-activated protein kinases (MAPKs) are a widely conserved family of serine/threonine protein kinases involved in many cellular programs, such as cell proliferation, differentiation, motility, and death. The p44/42 MAPK (Erk1/2) signaling pathway can be activated in response to a diverse range of extracellular stimuli, including mitogens, growth factors, and cytokines (1-3), and research investigators consider it an important target in the diagnosis and treatment of cancer (4). Upon stimulation, a sequential three-part protein kinase cascade is initiated, consisting of a MAP kinase kinase kinase (MAPKKK or MAP3K), a MAP kinase kinase (MAPKK or MAP2K), and a MAP kinase (MAPK). Multiple p44/42 MAP3Ks have been identified, including members of the Raf family, as well as Mos and Tpl2/COT. MEK1 and MEK2 are the primary MAPKKs in this pathway (5,6). MEK1 and MEK2 activate p44 and p42 through phosphorylation of activation loop residues Thr202/Tyr204 and Thr185/Tyr187, respectively. Several downstream targets of p44/42 have been identified, including p90RSK (7) and the transcription factor Elk-1 (8,9). p44/42 are negatively regulated by a family of dual-specificity (Thr/Tyr) MAPK phosphatases, known as DUSPs or MKPs (10), along with MEK inhibitors, such as U0126 and PD98059.

    Alternate Names

    ERK; ERK-1; ERK-2; ERK1; ERK2; ERT1; ERT2; Extracellular signal-regulated kinase 1; Extracellular signal-regulated kinase 2; extracellular signal-regulated kinase-2; extracellular signal-related kinase 1; HS44KDAP; HUMKER1A; Insulin-stimulated MAP2 kinase; MAP kinase 1; MAP kinase 2; MAP kinase 3; MAP kinase isoform p42; MAP kinase isoform p44; MAPK 1; MAPK 2; MAPK 3; MAPK1; MAPK2; MAPK3; MGC20180; Microtubule-associated protein 2 kinase; Mitogen-activated protein kinase 1; Mitogen-activated protein kinase 2; Mitogen-activated protein kinase 3; MK01; MK03; p38; p40; p41; p41mapk; p42-MAPK; P42MAPK; p44-ERK1; p44-MAPK; P44ERK1; P44MAPK; PRKM1; PRKM2; PRKM3; protein tyrosine kinase ERK2

    For Research Use Only. Not for Use in Diagnostic Procedures.
    Cell Signaling Technology is a trademark of Cell Signaling Technology, Inc.
    All other trademarks are the property of their respective owners. Visit our Trademark Information page.