Render Target: STATIC
Render Timestamp:
5/29/2026, 7:10:24 AM EDT
5/29/2026, 11:10:24 AM UTC
Commit: 7ed46ecc04b401f23a28df741b5078df405d23e4
XML generation date: 2025-11-12 16:11:14.792
Product last modified at: 2026-03-20T08:02:03.890Z
Cell Signaling Technology Logo - Extra Large
1% for the planet logo
PDP - Template Name: Monoclonal Antibody
PDP - Template ID: *******c5e4b77
Trial Size Available Flag
Recombinant Flag
Recombinant: Superior lot-to-lot consistency, continuous supply, and animal-free manufacturing.

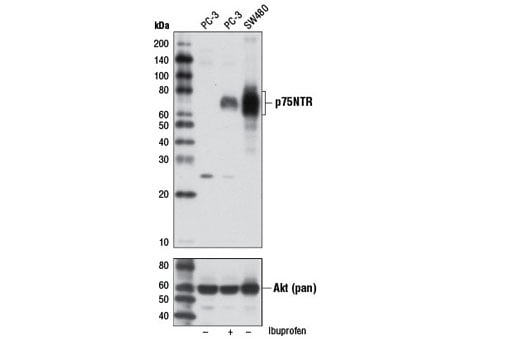
p75NTR (D4B3) Rabbit Monoclonal Antibody #8238

Filter:
  • WB
  • IP
  • IF
  • F

    Product Specifications

    REACTIVITY H M R
    SENSITIVITY Endogenous
    MW (kDa) 75
    Source/Isotype Rabbit IgG
    Application Key:
    • WB-Western Blotting 
    • IP-Immunoprecipitation 
    • IF-Immunofluorescence 
    • F-Flow Cytometry 
    Species Cross-Reactivity Key:
    • H-Human 
    • M-Mouse 
    • R-Rat 

    Product Information

    Product Usage Information

    Application Dilution
    Western Blotting 1:1000
    Immunoprecipitation 1:50
    Immunofluorescence (Frozen) 1:1600 - 1:3200
    Immunofluorescence (Immunocytochemistry) 1:1600 - 1:3200
    Flow Cytometry (Live) 1:200 - 1:800

    Storage

    Supplied in 10 mM sodium HEPES (pH 7.5), 150 mM NaCl, 100 µg/ml BSA, 50% glycerol and less than 0.02% sodium azide. Store at –20°C. Do not aliquot the antibody.

    For a carrier free (BSA and azide free) version of this product see product #46333.

    Protocol

    Specificity / Sensitivity

    p75NTR (D4B3) Rabbit Monoclonal Antibody recognizes endogenous levels of total p75NTR protein. Nonspecific cytoplasmic staining is observed in fixed frozen mouse spleen and colon by immunofluorescence.

    Species Reactivity:

    Human, Mouse, Rat

    Source / Purification

    Monoclonal antibody is produced by immunizing animals with a synthetic peptide corresponding to residues surrounding Arg198 of human p75NTR protein. This antibody is predicted to bind the extracellular amino-terminal region of p75NTR protein.

    Background

    The p75 neurotrophin receptor (p75NTR), a member of the TNF receptor superfamily, is distinguished by multiple cysteine-rich ligand-binding domains, a single transmembrane sequence, and a noncatalytic cytoplasmic domain (1). p75NTR displays paradoxical functions when acting alone or with other receptor proteins. Working in concert with Trk receptors, p75NTR recognizes neurotrophins and transmits trophic signals into the cell. Both p75NTR and TrkA are required to activate PI3K-Akt signaling, while TrkA can individually activate the MAP kinase pathway. In contrast, p75NTR, possibly through JNK, ensures appropriate apoptosis of injured neurons and improperly targeted neonatal neurons (2).

    The p75NTR protein undergoes sequential cleavage similar to APP and Notch. First, α-secretase removes the p75NTR ectodomain, eliminating ligand-mediated signaling. At this point, the membrane-tethered cleavage product can still fine-tune Trk-mediated trophic actions. γ-secretase cleaves within the transmembrane domain to liberate the cytoplasmic tail from its membrane anchor and allow the p75NTR intracellular domain to translocate to the nucleus (3,4).

    Alternate Names

    CD271; Gp80-LNGFR; low affinity nerve growth factor receptor; Low affinity neurotrophin receptor p75NTR; Low-affinity nerve growth factor receptor; nerve growth factor receptor; nerve growth factor receptor (TNFR superfamily, member 16); NGF receptor; NGFR; p75 ICD; p75(NTR); p75NTR; TNFR superfamily, member 16; TNFRSF16; TNR16; Tumor necrosis factor receptor superfamily member 16

    For Research Use Only. Not for Use in Diagnostic Procedures.
    Cell Signaling Technology is a trademark of Cell Signaling Technology, Inc.
    All other trademarks are the property of their respective owners. Visit our Trademark Information page.