Cell Signaling Technology Logo - Extra Large
Recombinant Flag
Recombinant: Superior lot-to-lot consistency, continuous supply, and animal-free manufacturing.

Pax6 (D3A9V) Rabbit Monoclonal Antibody (BSA and Azide Free) #58677

Filter:
  • WB
  • IHC
  • IF

    Product Specifications

    REACTIVITY H
    SENSITIVITY Endogenous
    MW (kDa) 50
    Source/Isotype Rabbit IgG
    Application Key:
    • WB-Western Blotting 
    • IHC-Immunohistochemistry 
    • IF-Immunofluorescence 
    Species Cross-Reactivity Key:
    • H-Human 

    Product Information

    Product Usage Information

    This product is the carrier free version of product #60433. All data were generated using the same antibody clone in the standard formulation which contains BSA and glycerol.

    This formulation is ideal for use with technologies requiring specialized or custom antibody labeling, including fluorophores, metals, lanthanides, and oligonucleotides. It is not recommended for ChIP, ChIP-seq, CUT&RUN or CUT&Tag assays. If you require a carrier free formulation for chromatin profiling, please contact us. Optimal dilutions/concentrations should be determined by the end user.

    BSA and Azide Free antibodies are quality control tested by size exclusion chromatography (SEC) to determine antibody integrity.

    Formulation

    Supplied in 1X PBS (10 mM Na2HPO4, 3 mM KCl, 2 mM KH2PO4, and 140 mM NaCl (pH 7.8)). BSA and Azide Free.

    For standard formulation of this product see product #60433

    Storage

    Store at -20°C. This product will freeze at -20°C so it is recommended to aliquot into single-use vials to avoid multiple freeze/thaw cycles. A slight precipitate may be present and can be dissolved by gently vortexing. This will not interfere with antibody performance.

    Specificity / Sensitivity

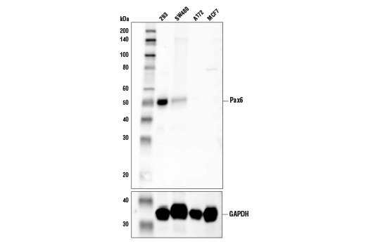
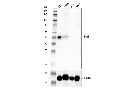
    Pax6 (D3A9V) Rabbit Monoclonal Antibody (BSA and Azide Free) recognizes endogenous levels of total Pax6 protein.

    Species Reactivity:

    Human

    The antigen sequence used to produce this antibody shares 100% sequence homology with the species listed here, but reactivity has not been tested or confirmed to work by CST. Use of this product with these species is not covered under our Product Performance Guarantee.

    Species predicted to react based on 100% sequence homology:

    Mouse, Rat

    Source / Purification

    Monoclonal antibody is produced by immunizing animals with a synthetic peptide corresponding to residues near the carboxy terminus of human Pax6 protein.

    Background

    Paired box (PAX) proteins are a family of transcription factors that play important and diverse roles in animal development (1). Nine PAX proteins (PAX1-9) have been described in humans and other mammals. They are defined by the presence of an amino-terminal "paired" domain, consisting of two helix-turn-helix motifs, with DNA binding activity (2). PAX proteins are classified into four structurally distinct subgroups (I-IV) based on the absence or presence of a carboxy-terminal homeodomain and a central octapeptide region. Subgroup I (PAX1 and 9) contains the octapeptide but lacks the homeodomain; subgroup II (PAX2, 5, and 8) contains the octapeptide and a truncated homeodomain; subgroup III (PAX3 and 7) contains the octapeptide and a complete homeodomain; and subgroup IV (PAX4 and 6) contains a complete homeodomain but lacks the octapeptide region (2). PAX proteins play critically important roles in development by regulating transcriptional networks responsible for embryonic patterning and organogenesis (3); a subset of PAX proteins also maintain functional importance during postnatal development (4). Research studies have implicated genetic mutations that result in aberrant expression of PAX genes in a number of cancer subtypes (1-3), with members of subgroups II and III identified as potential mediators of tumor progression (2).
    Pax6 has important functions in organ development. It is a key regulator of eye development (5), and mutations in Pax6 have been associated with some forms of aniridia, a congenital malformation of the eye (6). Pax6 is also involved in neuronal development, which plays an especially important role in corticogenesis (7). Within its role in the adult brain, it has recently been associated with aging, with gene occupancy studies showing increased association of Pax6 with genes associated with many aging processes in mice (8,9). Pax6 also plays another important function in development and maintenance of pancreatic β-cells (10). Driven by expression of Pdx1, both Pax6 and NGN3 expression is required for β-cell identity (11).

    Alternate Names

    AN; AN1; AN2; Aniridia 1; Aniridia 2; Aniridia type II protein; ASGD5; D11S812E; FVH1; MGC17209; MGDA; Oculorhombin; paired box 6; paired box homeotic gene-6; Paired box protein Pax-6; PAX6; WAGR

    For Research Use Only. Not for Use in Diagnostic Procedures.
    Cell Signaling Technology is a trademark of Cell Signaling Technology, Inc.
    SignalStain is a registered trademark of Cell Signaling Technology, Inc.
    All other trademarks are the property of their respective owners. Visit our Trademark Information page.