Cell Signaling Technology Logo - Extra Large
Recombinant Flag
Recombinant: Superior lot-to-lot consistency, continuous supply, and animal-free manufacturing.

PDI (C81H6) Rabbit Monoclonal Antibody (BSA and Azide Free) #80797

Filter:
  • WB
  • IHC
  • IF

    Product Specifications

    REACTIVITY H M R Mk
    SENSITIVITY Endogenous
    MW (kDa) 57
    Source/Isotype Rabbit
    Application Key:
    • WB-Western Blotting 
    • IHC-Immunohistochemistry 
    • IF-Immunofluorescence 
    Species Cross-Reactivity Key:
    • H-Human 
    • M-Mouse 
    • R-Rat 
    • Mk-Monkey 

    Product Information

    Product Usage Information

    This product is the carrier free version of product #3501. All data were generated using the same antibody clone in the standard formulation which contains BSA and glycerol.

    This formulation is ideal for use with technologies requiring specialized or custom antibody labeling, including fluorophores, metals, lanthanides, and oligonucleotides. It is not recommended for ChIP, ChIP-seq, CUT&RUN or CUT&Tag assays. If you require a carrier free formulation for chromatin profiling, please contact us. Optimal dilutions/concentrations should be determined by the end user.

    BSA and Azide Free antibodies are quality control tested by size exclusion chromatography (SEC) to determine antibody integrity.

    Formulation

    Supplied in 1X PBS (10 mM Na2HPO4, 3 mM KCl, 2 mM KH2PO4, and 140 mM NaCl (pH 7.8)). BSA and Azide Free.

    For standard formulation of this product see product #3501

    Storage

    Store at -20°C. This product will freeze at -20°C so it is recommended to aliquot into single-use vials to avoid multiple freeze/thaw cycles. A slight precipitate may be present and can be dissolved by gently vortexing. This will not interfere with antibody performance.

    Specificity / Sensitivity

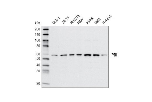
    PDI (C81H6) Rabbit Monoclonal Antibody (BSA and Azide Free) detects endogenous levels of total PDI protein.

    Species Reactivity:

    Human, Mouse, Rat, Monkey

    Source / Purification

    Monoclonal antibody is produced by immunizing animals with a synthetic peptide corresponding to the sequence of human PDI.

    Background

    During their synthesis, secretory proteins translocate into the endoplasmic reticulum (ER) where they are post-translationally modified and properly folded. To reach their native conformation, many secretory proteins require the formation of intra- or inter-molecular disulfide bonds (1). This process is called oxidative protein folding. Protein disulfide isomerase (PDI) catalyzes the formation and isomerization of these disulfide bonds (2). Studies on mechanisms of oxidative folding suggest that molecular oxygen oxidizes the ER-protein Ero1, which in turn oxidizes PDI through disulfide exchange (3). This event is then followed by PDI-catalyzed disulfide bond formation in folding proteins (3).

    Alternate Names

    Cellular thyroid hormone-binding protein; CLCRP1; collagen prolyl 4-hydroxylase beta; DSI; ERBA2L; GIT; glutathione-insulin transhydrogenase; P4HB; P4Hbeta; p55; PDI; PDIA1; PHDB; PO4DB; PO4HB; procollagen-proline, 2-oxoglutarate 4-dioxygenase (proline 4-hydroxylase), beta polypeptide; PROHB; Prolyl 4-hydroxylase subunit beta; prolyl 4-hydroxylase, beta polypeptide; protein disulfide isomerase family A, member 1; protein disulfide isomerase-associated 1; protein disulfide isomerase/oxidoreductase; Protein disulfide-isomerase; protocollagen hydroxylase; testicular secretory protein Li 32; thyroid hormone-binding protein p55; v-erb-a avian erythroblastic leukemia viral oncogene homolog 2-like

    For Research Use Only. Not for Use in Diagnostic Procedures.
    Cell Signaling Technology is a trademark of Cell Signaling Technology, Inc.
    U.S. Patent No. 7,429,487, foreign equivalents, and child patents deriving therefrom.
    All other trademarks are the property of their respective owners. Visit our Trademark Information page.