Render Target: STATIC
Render Timestamp:
5/21/2026, 6:55:00 AM EDT
5/21/2026, 10:55:00 AM UTC
Commit: 7ed46ecc04b401f23a28df741b5078df405d23e4
XML generation date: 2025-11-12 16:09:44.702
Product last modified at: 2026-03-20T08:03:52.441Z
Cell Signaling Technology Logo - Extra Large
1% for the planet logo
PDP - Template Name: Monoclonal Antibody
PDP - Template ID: *******c5e4b77
Trial Size Available Flag
Recombinant Flag
Recombinant: Superior lot-to-lot consistency, continuous supply, and animal-free manufacturing.

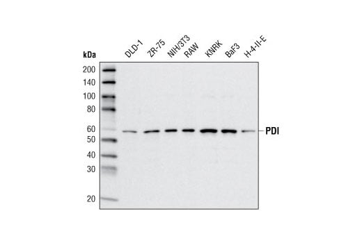
PDI (C81H6) Rabbit Monoclonal Antibody #3501

Filter:
  • WB
  • IHC
  • IF

    Product Specifications

    REACTIVITY H M R Mk
    SENSITIVITY Endogenous
    MW (kDa) 57
    Source/Isotype Rabbit
    Application Key:
    • WB-Western Blotting 
    • IHC-Immunohistochemistry 
    • IF-Immunofluorescence 
    Species Cross-Reactivity Key:
    • H-Human 
    • M-Mouse 
    • R-Rat 
    • Mk-Monkey 

    Product Information

    Product Usage Information

    Application Dilution
    Western Blotting 1:1000
    Immunohistochemistry (Paraffin) 1:1250
    Immunofluorescence (Frozen) 1:50 - 1:200
    Immunofluorescence (Immunocytochemistry) 1:100

    Storage

    Supplied in 10 mM sodium HEPES (pH 7.5), 150 mM NaCl, 100 µg/ml BSA, 50% glycerol and less than 0.02% sodium azide. Store at –20°C. Do not aliquot the antibody.

    For a carrier free (BSA and azide free) version of this product see product #80797.

    Protocol

    Specificity / Sensitivity

    PDI (C81H6) Rabbit Monoclonal Antibody detects endogenous levels of total PDI protein.

    Species Reactivity:

    Human, Mouse, Rat, Monkey

    Source / Purification

    Monoclonal antibody is produced by immunizing animals with a synthetic peptide corresponding to the sequence of human PDI.

    Background

    During their synthesis, secretory proteins translocate into the endoplasmic reticulum (ER) where they are post-translationally modified and properly folded. To reach their native conformation, many secretory proteins require the formation of intra- or inter-molecular disulfide bonds (1). This process is called oxidative protein folding. Protein disulfide isomerase (PDI) catalyzes the formation and isomerization of these disulfide bonds (2). Studies on mechanisms of oxidative folding suggest that molecular oxygen oxidizes the ER-protein Ero1, which in turn oxidizes PDI through disulfide exchange (3). This event is then followed by PDI-catalyzed disulfide bond formation in folding proteins (3).

    Alternate Names

    Cellular thyroid hormone-binding protein; CLCRP1; collagen prolyl 4-hydroxylase beta; DSI; ERBA2L; GIT; glutathione-insulin transhydrogenase; P4HB; P4Hbeta; p55; PDI; PDIA1; PHDB; PO4DB; PO4HB; procollagen-proline, 2-oxoglutarate 4-dioxygenase (proline 4-hydroxylase), beta polypeptide; PROHB; Prolyl 4-hydroxylase subunit beta; prolyl 4-hydroxylase, beta polypeptide; protein disulfide isomerase family A, member 1; protein disulfide isomerase-associated 1; protein disulfide isomerase/oxidoreductase; Protein disulfide-isomerase; protocollagen hydroxylase; testicular secretory protein Li 32; thyroid hormone-binding protein p55; v-erb-a avian erythroblastic leukemia viral oncogene homolog 2-like

    For Research Use Only. Not for Use in Diagnostic Procedures.
    Cell Signaling Technology is a trademark of Cell Signaling Technology, Inc.
    U.S. Patent No. 7,429,487, foreign equivalents, and child patents deriving therefrom.
    All other trademarks are the property of their respective owners. Visit our Trademark Information page.